相关产品推荐更多 >
万千商家帮你免费找货
0 人在求购买到急需产品
- 详细信息
- 文献和实验
- 技术资料
- 免疫原:
recombinant protein
- 形态:
liquid
- 保存条件:
Store at -20˚C
- 克隆性:
Monoclonal
- 适应物种:
Human;Mouse;Rat
- 保质期:
12 months
- 抗原来源:
Recombinant Rabbit
- 供应商:
南京赛戈巍生物科技有限公司
- 宿主:
Recombinant Rabbit
- 应用范围:
WB, IHC
- 靶点:
Uniprot:P04908
- 抗体英文名:
Histone H2A(hydroxyl Y39) Rabbit mAb
- 规格:
50ul/100ul
H2A1B_HUMAN antibody
HIST1H2AE antibody
Histone H2A type 1-B/E antibody
Histone H2A.2 antibody
Histone H2A.m antibody
Histone H2A/a antibody
Histone H2A/m antibody
计算分子量:14 kDa
配方:1*TBS (pH7.4), 1%BSA, 40%Glycerol. Preservative: 0.05% Sodium Azide.
应用详情:
WB: 1:1,000-1:2,000
IHC: 1:50-1:200
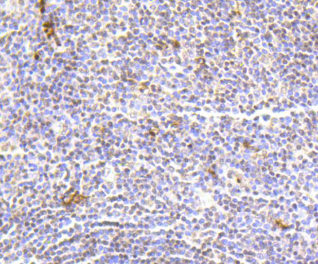
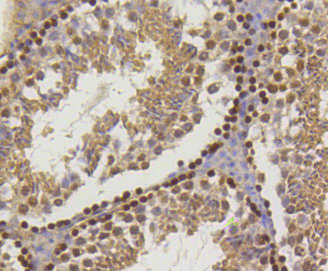
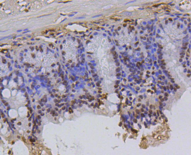
图片:

HW220
,

HW220
,

HW220
,

HW220
风险提示:丁香通仅作为第三方平台,为商家信息发布提供平台空间。用户咨询产品时请注意保护个人信息及财产安全,合理判断,谨慎选购商品,商家和用户对交易行为负责。对于医疗器械类产品,请先查证核实企业经营资质和医疗器械产品注册证情况。
文献和实验TBS 和 5% NGS 中封闭样品。市售的含有酪蛋白的封闭溶液与磷酸化的一抗结合后易减弱信号;因此,我们建议不使用含有酪蛋白的封闭剂进行磷酸化特异性抗体的检测。以上针对封闭步骤所提建议均是在以 SignalStain. Boost IHC Detection Reagent 作为检测试剂的情况下提出的。如果选择使用其他检测试剂,我们则建议使用与二抗来源相同的血清进行封闭。抗体:Phospho–Histone H2A.X (Ser139) (20E3) Rabbit mAb #9718样本:石蜡
Assembly of Nucleosomal Templates by Salt Dialysis
of DNA in a nucleosome. Proc. Natl. Acad. Sci. U.S.A. 87:7405‐7409. Lee, K.M. and Hayes, J.J. 1997. The N‐terminal tail of histone H2A binds to two distinct sites
技术资料暂无技术资料 索取技术资料





![TRPC7 Conjugated Antibody[C35976]](https://img1.dxycdn.com/p/s14/2025/0923/278/4431488150116040791.jpg!wh200)
![RHOH antibody[38843]](https://img1.dxycdn.com/p/s14/2025/0922/359/6146153295428599691.jpg!wh200)
![UBE2Q2 Rabbit Polyclonal Antibody[55646]](https://img1.dxycdn.com/p/s14/2025/0922/498/0460884283108299691.jpg!wh200)

