相关产品推荐更多 >
万千商家帮你免费找货
0 人在求购买到急需产品
- 详细信息
- 文献和实验
- 技术资料
- 免疫原:
KLH conjugated Synthesised phosphopeptide derived from human EphB1 around the phosphorylation site of Tyr928: VQ(p-Y)RD
- 形态:
liquid
- 保存条件:
Store at -20˚C
- 克隆性:
Polyclonal
- 适应物种:
Human;Mouse;Rat
- 保质期:
12 months
- 抗原来源:
Rabbit
- 供应商:
南京赛戈巍生物科技有限公司
- 宿主:
Rabbit
- 应用范围:
WB;IHC;IF
- 靶点:
Uniprot:P54762
- 抗体英文名:
EPHB1 (Phospho-Tyr928) Antibody
- 规格:
50ul/100ul
计算分子量:106 kDa
配方:0.01M TBS (pH7.4) with 1% BSA, 0.02% Proclin300 and 50% Glycerol.
应用详情:WB 1:500 - 1:2000; IHC 1:100 - 1:500; IF 1:100 - 1:500
图片:

Sample:
Ovary (Mouse) Lysate at 40 ug
Primary: at 1/300 dilution
Secondary: at 1/20000 dilution
Predicted band size: 106 kD
Observed band size: 121 kD
,

Sample:
Lane 1: Mouse Testis tissue lysates
Lane 2: Mouse NIH/3T3 cell lysates
Lane 3: Human U251 cell lysates
Lane 4: Human U87MG cell lysates
Lane 5: Human MCF-7 cell lysates
Lane 6: Human U-2 OS cell lysates
Primary: at 1/1000 dilution
Secondary: at 1/20000 dilution
Predicted band size: 106 kDa
Observed band size: 130 kDa
,

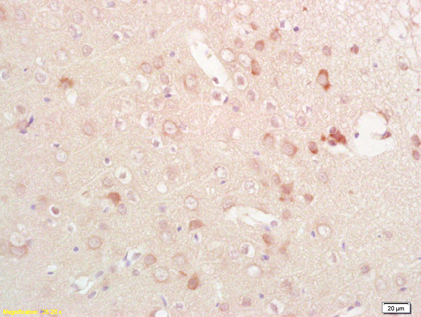
Tissue/cell: Rat brain; 4% Paraformaldehyde-fixed and paraffin-embedded; Antigen retrieval: citrate buffer ( 0.01M, pH 6.0 ), Boiling bathing for 15min; Block endogenous peroxidase by 3% Hydrogen peroxide for 30min; Blocking buffer (normal goat serum) at 37??for 20 min; Primary:1:200, overnight at 4°C
风险提示:丁香通仅作为第三方平台,为商家信息发布提供平台空间。用户咨询产品时请注意保护个人信息及财产安全,合理判断,谨慎选购商品,商家和用户对交易行为负责。对于医疗器械类产品,请先查证核实企业经营资质和医疗器械产品注册证情况。
文献和实验运用Cell Based Elisa检测信号通路蛋白和磷酸化蛋白
using Phospho-p38 antibody (A) and Total-p38 antibody (B). Cell Based Elisa were performed directly in the 96-well plates using Phospho-p38 and Total-p38 antibodies (C). Figure 3: JNK detection with FACECells were serum-starved for 16 hours
。所以,我们建议使用微波炉或高压锅加热煮沸以达到最佳抗原修复效果。抗体:Phospho–Stat3 (Tyr705)(D3A7) XP. Rabbit mAb #9145样本:石蜡包埋人类肺部肿瘤样本煮沸设备:浴锅 (左),微波炉 (中),高压锅 (右)免疫染色—封闭在 IHC–P 中,我们建议在室温下在含有 Tween20 的 TBST 缓冲液和 5% 正常山羊血清 (NGS) 中封闭样品,时长 1 小时,以防止非特异性背景染色。在进行 IHC–F 时,在含有 0.3% Triton. X–100 的 1X
v468. chapter 4 WNT 细胞通路 检测细胞GSK3活性与表达水平
. Immunoblot using antibodies to phospho-Tyr279/216 can assess alterations in activity independent ofthe N-terminal phosphorylation, although phosphorylation atthis site is most likely to be constitutive (14) . 3. Immunoblot using antibodies to known
技术资料暂无技术资料 索取技术资料





![LRP1 Conjugated Antibody[C38239]](https://img1.dxycdn.com/p/s14/2025/0923/278/4431488150116040791.jpg!wh200)
![SP4 Polyclonal Antibody[29838]](https://img1.dxycdn.com/p/s14/2025/0923/305/2150219664296040791.jpg!wh200)
![FOXD3 Mouse mAb[63646]](https://img1.dxycdn.com/p/s14/2025/0922/632/2321321568067599691.jpg!wh200)

