相关产品推荐更多 >
万千商家帮你免费找货
0 人在求购买到急需产品
- 详细信息
- 文献和实验
- 技术资料
- 免疫原:
Synthetic Peptide
- 形态:
liquid
- 保存条件:
Store at -20˚C
- 克隆性:
Monoclonal
- 适应物种:
Human;Mouse;Rat
- 保质期:
12 months
- 抗原来源:
Mouse
- 供应商:
南京赛戈巍生物科技有限公司
- 宿主:
Mouse
- 应用范围:
WB IHC
- 抗体英文名:
α-tubulin (Acetyl Lys40) Monoclonal Antibody(5H5)
- 规格:
50ul/100ul
配方:Liquid in PBS containing 50% glycerol, 0.5% BSA and 0.02% sodium azide.
应用详情:
Western blotting: 1:1000-1:2000
Immunohistochemistry: 1:100-1:200
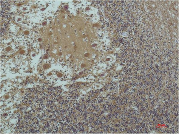
图片:

Western blot analysis of extracts from Hela cells, untreated (-) or treated with TSA (1μM, 18 hr; +), using Acetyl- a-tubulin(Lys40) Mouse mAb 1:2000.
,

Immunohistochemical analysis of paraffin-embedded Human Brain Tissue using a-tubulin(Acetyl Lys40) Mouse mAb diluted at 1:200.
风险提示:丁香通仅作为第三方平台,为商家信息发布提供平台空间。用户咨询产品时请注意保护个人信息及财产安全,合理判断,谨慎选购商品,商家和用户对交易行为负责。对于医疗器械类产品,请先查证核实企业经营资质和医疗器械产品注册证情况。
文献和实验,为此CST公司推出了可用于蛋白功能检测的乙酰化组蛋白系列抗体,圆满的解决这个问题。因为乙酰化与蛋白的活性相关,因此通过乙酰化的系列抗体特异性地识别靶蛋白的乙酰化形式,可以反映出靶蛋白质的活性水平,达到研究蛋白功能和调节的目的。而其他的抗体仅能反映出该蛋白质的表达量或表达水平,不能反映出蛋白的活性状态。乙酰化系列抗体:Catalog#Product DescriptionSourceApplications2576Acetyl-Histone H2A (Lys5) AntibodyRabbitW IP
【资源】全面归类网址:毕赤酵母表达各种来源蛋白(细菌,真菌,植物,人类等)
-glycoproteinI, 700ug/100mg memb. protein, active376Mouse Mdr3 P-glycoproteinI (membrane-bound), 6 mg/mg[166,167,168, 383]Mouse monoclonal single-chain Fv antibody fragmentS, α-MF, 45 mg/L, active498, 509Murine macrophage inflammatory protein-2 (MIP-2)S, 40 mg/L
Large-scale immunofluorescence
containing 2% n-propyl gallate and 0.25 ug/ml Hoechst Primary antibodies rabbit anti-beta-gal antibody (Cappell Laboratories #0631-0002, at 1:200 dilution) rat monoclonal anti-yeast tubulin (YOL1/34; Sera-lab, at 1:100 dilution
技术资料暂无技术资料 索取技术资料





![DEFB121 antibody[38216]](https://img1.dxycdn.com/p/s14/2025/0922/359/6146153295428599691.jpg!wh200)
![ZMYM2 Antibody[43970]](https://img1.dxycdn.com/p/s14/2025/0922/568/0046652811090600791.jpg!wh200)

![Talin (phospho-Ser425) rabbit pAb[13492]](https://img1.dxycdn.com/p/s14/2025/0922/498/0460884283108299691.jpg!wh200)

