相关产品推荐更多 >
万千商家帮你免费找货
0 人在求购买到急需产品
- 详细信息
- 文献和实验
- 技术资料
- 免疫原:
Synthetic peptide corresponding to a region derived from internal residues of human caspase 9, apoptosis-related cysteine peptidase
- 形态:
liquid
- 保存条件:
Store at -20˚C
- 克隆性:
Polyclonal
- 适应物种:
Human
- 保质期:
12 months
- 抗原来源:
Rabbit
- 供应商:
南京赛戈巍生物科技有限公司
- 宿主:
Rabbit
- 应用范围:
IHC
- 靶点:
Uniprot:P55211
- 抗体英文名:
CASP9 (active) Antibody
- 规格:
50ul/100ul
配方:Rabbit IgG in pH7.3 PBS, 0.05% NaN3, 50% Glycerol.
应用详情:Immunohistochemistry: 1:100-1:300
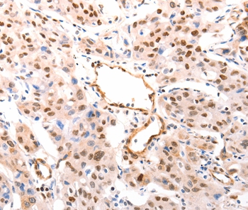
图片:

Immunohistochemical analysis of paraffin-embedded Human colon cancer tissue using #37307 at dilution 1/80.
,

Immunohistochemical analysis of paraffin-embedded Human lung cancer tissue using #37307 at dilution 1/80.
风险提示:丁香通仅作为第三方平台,为商家信息发布提供平台空间。用户咨询产品时请注意保护个人信息及财产安全,合理判断,谨慎选购商品,商家和用户对交易行为负责。对于医疗器械类产品,请先查证核实企业经营资质和医疗器械产品注册证情况。
文献和实验Antibody Conjugation Methods for Active Targeting of Liposomes
to the bilayer surface. These vectors have included ligands such as oligosaccharides (3 ,4 ), peptides (5 ,6 ), proteins (7 ,8 ) and vitamins (9 ). Most studies have focused on antibody conjugates since procedures for producing highly specific monoclonal
that need to be optimized, including the choice of antibody, the conditions for shearing chromatin using sonication and the analysis of immunoprecipitated DNA. The ChIP-IT Kit from Active Motif provides a complete solution to all potential problems associated with the ChIP
Aqueous Formulation of Adjuvant-Active Nonionic Block Copolymers
may require either a predominantly antibody-mediated response, under the control of (T-helper lymphocyte) Th2-associated cytokines, typically interleukin-4, -5, and -10 (IL-4, -5, -10), or a predominantly cellular response, the Th1 type, characterized by cells
技术资料暂无技术资料 索取技术资料






![MRP-L14 Polyclonal Conjugated Antibody[C41170]](https://img1.dxycdn.com/p/s14/2025/0923/278/4431488150116040791.jpg!wh200)
![SETD7 Antibody[36520]](https://img1.dxycdn.com/p/s14/2025/0922/359/6146153295428599691.jpg!wh200)
![LOX 1 Polyclonal Antibody APC Conjugated[C91476APC]](https://img1.dxycdn.com/p/s14/2025/0922/498/0460884283108299691.jpg!wh200)

