相关产品推荐更多 >
万千商家帮你免费找货
0 人在求购买到急需产品
- 详细信息
- 文献和实验
- 技术资料
- 免疫原:
Synthetic peptide corresponding to a region derived from internal residues of human RAD51 homolog (S. cerevisiae)
- 形态:
liquid
- 保存条件:
Store at -20˚C
- 克隆性:
Polyclonal
- 适应物种:
Human;Mouse
- 保质期:
12 months
- 抗原来源:
Rabbit
- 供应商:
南京赛戈巍生物科技有限公司
- 宿主:
Rabbit
- 应用范围:
IHC
- 靶点:
Uniprot:Q06609
- 抗体英文名:
RAD51 Antibody
- 规格:
50ul/100ul
配方:Rabbit IgG in pH7.3 PBS, 0.05% NaN3, 50% Glycerol.
应用详情:Immunohistochemistry: 1:25-1:100
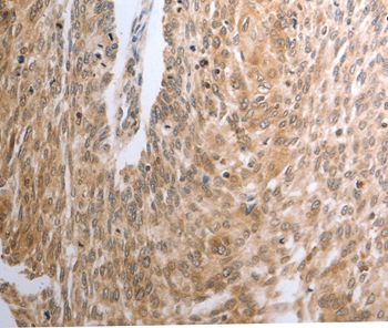
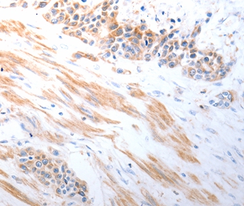
图片:

Immunohistochemical analysis of paraffin-embedded Human esophagus cancer tissue using #37022 at dilution 1/30.
,

Immunohistochemical analysis of paraffin-embedded Human cervica cancer tissue using #37022 at dilution 1/30.
风险提示:丁香通仅作为第三方平台,为商家信息发布提供平台空间。用户咨询产品时请注意保护个人信息及财产安全,合理判断,谨慎选购商品,商家和用户对交易行为负责。对于医疗器械类产品,请先查证核实企业经营资质和医疗器械产品注册证情况。
文献和实验Biochemical Studies on Human Rad51-Mediated Homologous Recombination
Rad51-mediated pairing between homologous DNA sequences during homologous recombination (HR) plays pivotal roles in DNA double-strand break repair. The multi-step process occurs through cooperation of Rad51 and a number of accessory protein
Assay for Human Rad51-Mediated DNA Displacement Loop Formation
同源重组(Homologus Recombination) 是指发生在姐妹染色单体(sister chromatin) 之间或同一染色体上含有同源序列的DNA分子之间或分子之内的重新组合。同源重组需要一系列的蛋白质催化,如原核生物细胞内的RecA、RecBCD、RecF、RecO、RecR等;以及真核生物细胞内的Rad51、Mre11-Rad50等等。 在人类细胞中,同源重组由Rad51介导,在有ATP的条件下,Rad51聚合在单链DNA上,形成一个核蛋白
Generation of Antibody Molecules Through Antibody Engineering
been overcome to a large extent using genetic-engineering techniques to produce chimeric mouse/human and completely human antibodies. Such an approach is particularly suitable because of the domain structure of the antibody molecule ( 2 ), where functional
技术资料暂无技术资料 索取技术资料





![Cortactin Rabbit mAb[49005]](https://img1.dxycdn.com/p/s14/2025/0923/496/0462304380155040791.jpg!wh200)
![FUBP1 Conjugated Antibody[C48724]](https://img1.dxycdn.com/p/s14/2025/0923/305/2150219664296040791.jpg!wh200)
![Aconitase 1 Conjugated Antibody[C56911]](https://img1.dxycdn.com/p/s14/2025/0922/632/2321321568067599691.jpg!wh200)
