相关产品推荐更多 >
万千商家帮你免费找货
0 人在求购买到急需产品
- 详细信息
- 文献和实验
- 技术资料
- 免疫原:
Fusion protein corresponding to a region derived from internal residues of human COX16 cytochrome c oxidase assembly homolog (S. cerevisiae)
- 形态:
liquid
- 保存条件:
Store at -20˚C
- 克隆性:
Polyclonal
- 适应物种:
Human
- 保质期:
12 months
- 抗原来源:
Rabbit
- 供应商:
南京赛戈巍生物科技有限公司
- 宿主:
Rabbit
- 应用范围:
IHC
- 靶点:
Uniprot:Q9P0S2
- 抗体英文名:
COX16 Antibody
- 规格:
50ul/100ul
配方:Rabbit IgG in pH7.3 PBS, 0.05% NaN3, 50% Glycerol.
应用详情:Immunohistochemistry: 1:25-1:100
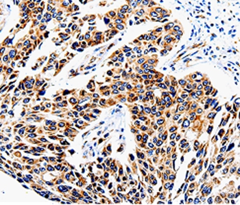
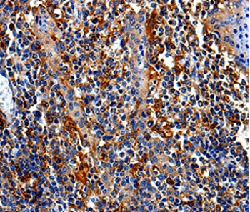
图片:

Immunohistochemical analysis of paraffin-embedded Human tonsil cancer tissue using #35580 at dilution 1/50.
,

Immunohistochemical analysis of paraffin-embedded Human lung cancer tissue using #35580 at dilution 1/50.
风险提示:丁香通仅作为第三方平台,为商家信息发布提供平台空间。用户咨询产品时请注意保护个人信息及财产安全,合理判断,谨慎选购商品,商家和用户对交易行为负责。对于医疗器械类产品,请先查证核实企业经营资质和医疗器械产品注册证情况。
文献和实验甾类(化合物)16α-羟化酶 steroid 16α-hydr-oxylase
甾类(化合物)16α-羟化酶 steroid 16α-hydr-oxylase 存在于肝脏、人睾丸微粒体的于甾类的16α位置上引入羟基的酶,需要有分子态氧和NADPH。例如脱氢表雄甾酮在肝脏中将16α位羟基化后,在胎盘中形成雌甾三醇。
The discovery of two isoforms of the cyclooxygenase (COX) enzyme, COX-1 and COX-2, has provided the rationale for development of selective COX-2 inhibitors as a class of safer drugs for the treatment of pain, symptoms of osteoarthritis
P16 p16于1976年初被发现,定位于9p21,全长8.5kb,有3个外显子和两个内含子,其基因产物为P16蛋白,相对分子质量 为15 840,为148个氨基酸组成的单链多肽蛋白。p16是人类肿瘤中最常见的抑癌基因,是细胞周期蛋白激酶抑制剂。它通过结合并抑制细胞周期依赖的蛋白激酶CDK4和CDK6,导致Rb的磷酸化抑制来调控细胞通过G1期。在人乳腺上皮细胞(HMEC)中,p16基因CpG岛的逐步甲基化使其逐渐失活。p16的逐渐失活使HMEC突破增生抑制
技术资料暂无技术资料 索取技术资料





![Bak Conjugated Antibody[C48813]](https://img1.dxycdn.com/p/s14/2025/0923/305/2150219664296040791.jpg!wh200)
![Mannan Binding Lectin Polyclonal Antibody HRP Conjugated[C91639HRP]](https://img1.dxycdn.com/p/s14/2025/0922/498/0460884283108299691.jpg!wh200)
![AQP12 Antibody[34435]](https://img1.dxycdn.com/p/s14/2025/0922/359/6146153295428599691.jpg!wh200)
![HER2 (Phospho-Tyr1221/Tyr1222) Conjugated Antibody[C11076]](https://img1.dxycdn.com/p/s14/2025/0923/278/4431488150116040791.jpg!wh200)

