相关产品推荐更多 >
万千商家帮你免费找货
0 人在求购买到急需产品
- 详细信息
- 文献和实验
- 技术资料
- 免疫原:
The antiserum was produced against synthesized peptide derived from human Chk1 around the phosphorylation site of Ser286. AA range:256-305
- 形态:
liquid
- 保存条件:
Store at -20˚C
- 克隆性:
Polyclonal
- 适应物种:
Human;Mouse;Rat
- 保质期:
12 months
- 抗原来源:
Rabbit
- 供应商:
南京赛戈巍生物科技有限公司
- 宿主:
Rabbit
- 应用范围:
WB;IF;ELISA
- 靶点:
Uniprot:O14757
- 抗体英文名:
Chk1 (Phospho-Ser286) Antibody
- 规格:
50ul/100ul
配方:Liquid in PBS containing 50% glycerol, 0.5% BSA and 0.02% sodium azide.
应用详情:
WB 1:500 - 1:2000.
IF 1:200 - 1:1000.
ELISA: 1:5000.
Not yet tested in other applications.
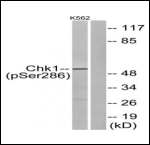
图片:

Enzyme-Linked Immunosorbent Assay (Phospho-ELISA) for Immunogen Phosphopeptide (Phospho-left) and NonPhosphopeptide (Phospho-right), using Chk1 (Phospho-Ser286) Antibody
,

Immunofluorescence analysis of HeLa cells, using Chk1 (Phospho-Ser286) Antibody. The picture on the right is blocked with the phospho peptide.
,

Western blot analysis of lysates from K562 cells treated with Na3VO4 0.3uM 40', using Chk1 (Phospho-Ser286) Antibody. The lane on the right is blocked with the phospho peptide.
风险提示:丁香通仅作为第三方平台,为商家信息发布提供平台空间。用户咨询产品时请注意保护个人信息及财产安全,合理判断,谨慎选购商品,商家和用户对交易行为负责。对于医疗器械类产品,请先查证核实企业经营资质和医疗器械产品注册证情况。
文献和实验Mammalian CHK1 is a Ser/Thr effector kinase that plays critical roles in the DNA damage-activated cell cycle checkpoint signaling pathway downstream of ATR (ATM and Rad3-related protein kinase). This chapter is focused on describing an assay
licanming 我的实验是用VEGF处理细胞后测定细胞PKC激活水平,拟采用Western blot的方法,用ECL法检测,这样分析PKC激活程度结果国际上认可吗? 我在Cell Signaling Technology上,查到 2261 Phospho-(Ser) PKC Substrate Antibody W IP E D 9371 Phospho-PKC (pan) (betaII Ser660) Antibody W IP
antibody dilution buffer: TBS-T supplemented with2% (w/v) BSA. 6. Antibodies: Phospho-b-catenin Ser33/Ser37/Thr41, phospho-glycogen synthase Ser641, and glycogen synthase (CellSignaling Technologies, Beverly, MA); b-catenin and GSK-3b(BD PharMingen, San
技术资料暂无技术资料 索取技术资料






![BATF Conjugated Antibody[C33911]](https://img1.dxycdn.com/p/s14/2025/0923/278/4431488150116040791.jpg!wh200)
![Smad1 Rabbit mAb[49149]](https://img1.dxycdn.com/p/s14/2025/0923/496/0462304380155040791.jpg!wh200)

