相关产品推荐更多 >
万千商家帮你免费找货
0 人在求购买到急需产品
- 详细信息
- 文献和实验
- 技术资料
- 免疫原:
Peptide sequence around phosphorylation site of tyrosine 1328 (P-D-Y(p)-W-H) derived from Human Her3/ErbB3.
- 形态:
liquid
- 保存条件:
Store at -20˚C
- 克隆性:
Polyclonal
- 适应物种:
Human;Mouse;Rat
- 保质期:
12 months
- 抗原来源:
Rabbit
- 供应商:
南京赛戈巍生物科技有限公司
- 宿主:
Rabbit
- 应用范围:
WB IHC IF
- 靶点:
Uniprot:P21860
- 抗体英文名:
Her3/ErbB3(phospho-Tyr1328) Antibody
- 规格:
50ul/100ul
配方:Supplied at 1.0mg/mL in phosphate buffered saline (without Mg2+ and Ca2+), pH 7.4, 150mM NaCl, 0.02% sodium azide and 50% glycerol.
应用详情:Predicted MW: 185kd
Western blotting: 1:500~1:1000
Immunohistochemistry: 1:50~1:100
Immunofluorescence: 1:100~1:200
图片:

Western blot analysis of extracts from A431 cells untreated or treated with EGF using Her3/ErbB3(phospho-Tyr1328) Antibody #11510.
,

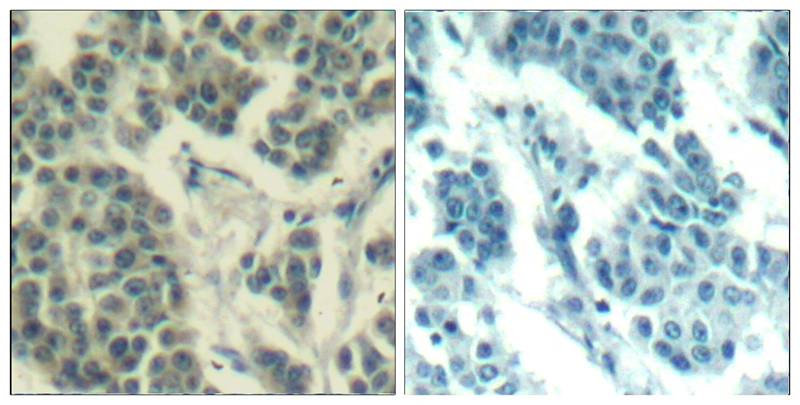
Immunohistochemical analysis of paraffin-embedded human breast carcinoma tissue using Her3/ErbB3(Phospho-Tyr1328) Antibody #11510(left) or the same antibody preincubated with blocking peptide(right).
,

Immunofluorescence staining of methanol-fixed MCF7 cells using Her3/ErbB3(phospho-Tyr1328) Antibody #11510.
风险提示:丁香通仅作为第三方平台,为商家信息发布提供平台空间。用户咨询产品时请注意保护个人信息及财产安全,合理判断,谨慎选购商品,商家和用户对交易行为负责。对于医疗器械类产品,请先查证核实企业经营资质和医疗器械产品注册证情况。
文献和实验,EDTA 缓冲液适用于多数磷酸化酪氨酸特异性抗体,而柠檬酸盐缓冲液适用于其他多数抗体。每天都需制备新鲜的 1X 溶液。抗体:hospho-HER3/ErbB3 (Tyr1289) (D1B5) Rabbit mAb #2842样本:蜡包埋人类肺部肿瘤抗原修复缓冲液:柠檬酸盐缓冲液(左)或者 EDTA 缓冲液(右)煮沸装置载玻片在所推荐的缓冲液中加热煮沸一段时间后,才可引起抗原修复。该步骤通常在微波炉或高压锅中进行。虽然,一些研究人员也使用水浴锅,但是,因为该步骤中所选择的装置对染色存在积极或消极的影响
运用Cell Based Elisa检测信号通路蛋白和磷酸化蛋白
using Phospho-p38 antibody (A) and Total-p38 antibody (B). Cell Based Elisa were performed directly in the 96-well plates using Phospho-p38 and Total-p38 antibodies (C). Figure 3: JNK detection with FACECells were serum-starved for 16 hours
) is accompanied with or inactivates the GSK activity. However, it is still not conclusive what the role of Tyr phosphorylation (Y216 fro beta, Y279 for alpha) on GSK activity is. One reference is a review paper published in Cell in 2001, you may take a quick
技术资料暂无技术资料 索取技术资料





![EphB3 Mouse mAb[63595]](https://img1.dxycdn.com/p/s14/2025/0922/632/2321321568067599691.jpg!wh200)
![BBC3 Conjugated Antibody[C31161]](https://img1.dxycdn.com/p/s14/2025/0923/278/4431488150116040791.jpg!wh200)


