相关产品推荐更多 >
万千商家帮你免费找货
0 人在求购买到急需产品
- 详细信息
- 文献和实验
- 技术资料
- 免疫原:
Raised against a peptide corresponding to amino acids from the carboxy terminus of human IRAK-M.
- 形态:
liquid
- 保存条件:
Store at -20˚C
- 克隆性:
Polyclonal
- 适应物种:
Human;Mouse;Rat
- 保质期:
12 months
- 抗原来源:
Rabbit
- 供应商:
南京赛戈巍生物科技有限公司
- 宿主:
Rabbit
- 应用范围:
ELISA WB IHC
- 抗体英文名:
IRAK-M Antibody
- 规格:
50ul/100ul
应用详情:Predicted MW: 68 kd
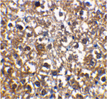
图片:

Western blot analysis of IRAK-M in mouse spleen (M) and rat liver (R) tissue lysates with IRAK-M antibody at 1 ug/mL.
,

Immunohistochemical staining of rat liver cells using IRAK-M antibody at 2 ug/mL.
风险提示:丁香通仅作为第三方平台,为商家信息发布提供平台空间。用户咨询产品时请注意保护个人信息及财产安全,合理判断,谨慎选购商品,商家和用户对交易行为负责。对于医疗器械类产品,请先查证核实企业经营资质和医疗器械产品注册证情况。
文献和实验说起基因组序列数据库,大多数人耳熟能详的是三巨头GenBankEBIDDBJ这些数据库在设计之初虽然考虑了基因组存储的需求,但在基因组分析和数据挖掘上的功能设计则比较欠缺。而 IMG/M 作为新一代基因组数据库的代表,不仅能够完整收录现有数据库的内容,还提供了更完善的数据上传、注释和分析服务,将测序数据储存到 IMG/M 数据库(即将 IMG/M 数据库的登录号填写到文章中)也是被许多顶尖期刊如 Nature Communication 所接受的。IMG/M 数据库接受上传纯培养测序基因
Oocyte Extracts for the Study of Meiotic M-M Transition
In meiotic cell cycles, meiosis I (MI) is followed by meiosis II (Mil) without an intervening S phase, whereas in mitotic cell cycles, an S phase necessarily alternates with an M phase. For the study of mitotic cell cycles, extracts prepared
The Use of M-FISH and M-BAND to Define Chromosome Abnormalities
Multicolour fluorescence in situ hybridisation (M-FISH) and multicolour banding (M-BAND) are advanced chromosome painting techniques combining multiple chromosome- or region-specific paints in one step. M-FISH identifies all chromosomes
技术资料暂无技术资料 索取技术资料





![DNMT3A antibody[38611]](https://img1.dxycdn.com/p/s14/2025/0922/359/6146153295428599691.jpg!wh200)
![MT-ND5 Antibody[43708]](https://img1.dxycdn.com/p/s14/2025/0922/568/0046652811090600791.jpg!wh200)
![HSPA9 Mouse mAb[63752]](https://img1.dxycdn.com/p/s14/2025/0922/632/2321321568067599691.jpg!wh200)

