相关产品推荐更多 >
万千商家帮你免费找货
0 人在求购买到急需产品
- 详细信息
- 文献和实验
- 技术资料
- 免疫原:
A synthetic peptide corresponding to a sequence within amino acids 100-200 of mouse MT-CO2 (NP_904331.1).
- 亚型:
IgG
- 保存条件:
Store at -20°C. Avoid freeze / thaw cycles.
- 克隆性:
单克隆
- 适应物种:
Human Mouse Rat
- 目录编号:
K006616P
- 库存:
999
- 供应商:
北京索莱宝科技有限公司
- 宿主:
Rabbit
- 靶点:
MT-CO2
- 抗体英文名:
Anti-MT-CO2 Ponoclonal Antibody
- 抗体名:
COII;MTCO2;COX2;mitochondrially encoded cytochrome c oxidase II
- 规格:
50ul/100ul
| 规格: | 50ul | 产品价格: | ¥2550.0 |
|---|---|---|---|
| 规格: | 100ul | 产品价格: | ¥4150.0 |
产品简介
| 单位 | 支 |
| 别名 | COII;MTCO2;COX2;mitochondrially encoded cytochrome c oxidase II |
| 稀释比例 | WB 1:500-2000. IHC 1:50-100. |
| Gene ID | 17709 |
| 保存 | Store at -20°C. Avoid freeze / thaw cycles. |
| 蛋白分子量 | 23kDa |
| 储存液 | Buffer: PBS with 0.03% Proclin300, 50% glycerol, pH7.3. |
| 亚细胞定位 | Mitochondrion inner membrane Multi-pass membrane protein |
| 纯化方法 | Affinity purification |
| 背景资料 | Component of the cytochrome c oxidase, the last enzyme in the mitochondrial electron transport chain which drives oxidative phosphorylation. The respiratory chain contains 3 multisubunit complexes succinate dehydrogenase (complex II, CII, ubiquinol-cytochrome c oxidoreductase (cytochrome b-c1 complex, complex III, CIII and cytochrome c oxidase (complex IV, CIV, that cooperate to transfer electrons derived from NADH and succinate to molecular oxygen, creating an electrochemical gradient over the inner membrane that drives transmembrane transport and the ATP synthase. Cytochrome c oxidase is the component of the respiratory chain that catalyzes the reduction of oxygen to water. Electrons originating from reduced cytochrome c in the intermembrane space (IMS are transferred via the dinuclear copper A center (CU(A of subunit 2 and heme A of subunit 1 to the active site in subunit 1, a binuclear center (BNC formed by heme A3 and copper B (CU(B. The BNC reduces molecular oxygen to 2 water molecules using 4 electrons from cytochrome c in the IMS and 4 protons from the mitochondrial matrix. |
| Public Immunogen Range | A synthetic peptide corresponding to a sequence within amino acids 100-200 of mouse MT-CO2 (NP_904331.1). |
| 克隆类型 | Polyclonal Antibody |
| 交叉反应 | Human Rat Mouse |
| 应用 | WB IHC |
备注: 
实验图
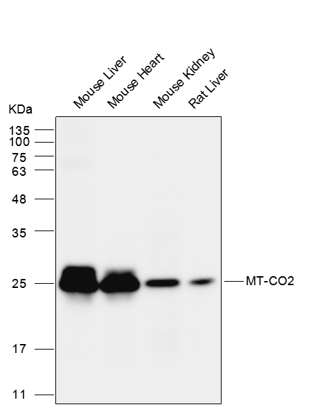
Western blot analysis with MT-CO2 antibody diluted at 1:1000
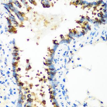
Immunohistochemistry of paraffin-embedded rat lung using MT-CO2 antibody at dilution of 1:100 (x40 lens).
风险提示:丁香通仅作为第三方平台,为商家信息发布提供平台空间。用户咨询产品时请注意保护个人信息及财产安全,合理判断,谨慎选购商品,商家和用户对交易行为负责。对于医疗器械类产品,请先查证核实企业经营资质和医疗器械产品注册证情况。
文献和实验The production of monoclonal antibody by hybridoma
The production of monoclonal antibody by hybridoma fusion: Immortalization of sensitized B lymphocytes from immune mice. Overview
Dual- and Triple-Color Fluorospot
a third detection antibody from a unique species that can be detected by fluorophore-labeled species-specific anti-Ig antibodies, reactive only with the third detection antibody (12). However, in a wider perspective, this may be a limiting factor since most highly
分钟收集细胞; 5. 将上一步离心得到的细胞沉淀,重悬至扩增培养基中,并进行计数。 1.3 细胞刺激(次日) 扩增培养基成分:RPMI1640 + 10% 血清 + 5ug/ml anti-mouse CD28(克隆号:37.51) + 双抗 1. 将细胞浓度调整至 1-2×10^6/ml(本次实验为 2×10^6/ml,该浓度偏大); 2. 从 4°C 冰箱取出前一天包被的板子,弃掉包被液,无菌PBS洗涤3遍; 3. 每孔加入 500μl 细胞悬液,放置于 37°C 含 5% CO2 细胞
技术资料暂无技术资料 索取技术资料










