万千商家帮你免费找货
0 人在求购买到急需产品
- 详细信息
- 文献和实验
- 技术资料
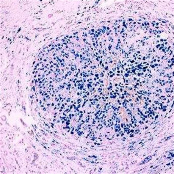
普鲁士蓝染色:又称含铁血黄素染色,即经过稀酸处理后可以产生蓝色,常见于吞噬细胞内或间质内,主要显示三价铁盐。普鲁士蓝是非常经典的组织化学反应,是显示组织内三价铁的一种敏感、传统优良的方法,其染色原理为:三价铁离子从蛋白质中被稀盐酸分离出来,生成不溶解的蓝色化合物,即普鲁士蓝。
普鲁士蓝染色结果:含铁黄素或三价铁呈蓝色,细胞核呈红色。
1、降低
缺铁性贫血。缺铁性贫血时骨髓细胞外铁明显降低,甚至消失,铁粒幼细胞降低。经铁剂治疗后,细胞外铁增多。铁粒染色可作为诊断缺铁性贫血及指导铁剂治疗的一个方法。
2、增高
铁幼粒细胞性贫血、骨髓增生异常综合征(出现环铁幼粒细胞)。铁粒幼细胞贫血时出现较多环铁粒幼细胞,铁粒幼细胞也增多,其所含铁颗粒的数目也较多,颗粒也粗大,有时还可见铁粒红细胞。因此本染色可作为诊断铁粒幼细胞性贫血的重要方法。另外,也见于溶血性贫血、营养性巨幼细胞贫血、再生障碍性贫血和白血病、感染、肝硬化、慢性肾炎、尿毒症、多次输血、血色病等,细胞外铁也可增加。
风险提示:丁香通仅作为第三方平台,为商家信息发布提供平台空间。用户咨询产品时请注意保护个人信息及财产安全,合理判断,谨慎选购商品,商家和用户对交易行为负责。对于医疗器械类产品,请先查证核实企业经营资质和医疗器械产品注册证情况。
文献和实验实验流程:多靶点免疫荧光染色的实验操作与普通单标记免疫组化流程相似。试剂盒中的荧光染料可以在HRP酶的作用下将信号共价结合到抗原上,随后即可衔接下一轮单标染色,直至全部标记完成,即可复染DAPI后封片观察。1.脱蜡水合:1)新鲜二甲苯浸片10min,重复3次。2)梯度乙醇浸片,100% 5min;95% 5min;70% 2min。3)灭菌水洗片1min,重复3次。4)10%中性福尔马林浸片10min,灭菌水洗片1min,重复3次。2.微波修复:1)将脱蜡水合后的玻片置于修复杯中,用抗原
大家在实验过程中,是不是经常会用到各种染色法?但是染色方法如此之多,其具体方法与步骤又有什么区别?学霸君非常的贴心,帮大家整理了各种染色方法,并作了汇总。以下是从 A 至 V 的染色大法一览表
水质对免疫组化染色结果的影响显著: 在免疫组化染色过程中,实验用水一般用来配制两种试剂: 01 抗原修复液 包括柠檬酸(pH6.0) 、EGTA(pH 9.0) 和EDTA(pH9.0) 等种类,主要用于抗原修复。在免疫组化染色前,必须进行抗原修复,使抗原决定簇充分暴露,以便完全彻底地与抗体结合。未进行抗原修复的抗体即使阳性,其阳性细胞数量及染色强度要明显比进行过抗原修复的少、弱。电导率高的水因杂质存在容易影响溶液pH值,pH值或高或低都会造成抗原修复不佳,抗原决定簇不能完全彻底暴露
技术资料暂无技术资料 索取技术资料










