- 详细信息
- 文献和实验
- 技术资料
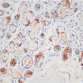
免疫组化是应用免疫学基本原理——抗原抗体反应,即抗原与抗体特异性结合的原理,通过化学反应使标记抗体的显色剂(荧光素、酶、金属离子、同位素) 显色来确定组织细胞内抗原(多肽和蛋白质),对其进行定位、定性及定量的研究,称为免疫组织化学技术(immunohistochemistry)或免疫细胞化学技术(immunocytochemistry)。
免疫组化的分类: 免疫组织化学技术按照标记物的种类可分为免疫荧光法、免疫酶法、免疫铁蛋白法、免疫金法等。
免疫组化主要步骤:
1.洗载玻片
2.包埋组织
3.切片
4.捞组织
5.脱蜡
6.抗原修复
7.血清封闭
8.加一抗
9.加二抗
10.加SABC
11.加显色剂
12.复染
13.脱水
14.封片
服务内容:包含抗体,包埋,切片,染色以及拍照。(每个样本提供一张照片包含阳性面积)加拍另外计费
风险提示:丁香通仅作为第三方平台,为商家信息发布提供平台空间。用户咨询产品时请注意保护个人信息及财产安全,合理判断,谨慎选购商品,商家和用户对交易行为负责。对于医疗器械类产品,请先查证核实企业经营资质和医疗器械产品注册证情况。
文献和实验一、石蜡切片和冰冻切片的比较? 1、要求做冰冻切片的不一定能做石蜡切片,这是我向一老师请教得出的结论。因为作石蜡切片时要高温烤片,可能会破坏组织的抗原性,如果组织的抗原性较稳定,则可作石蜡切片;但是要求做石蜡切片的,可作冰冻切片。 2、冰冻切片的优点是能够较好的保存组织的抗原免疫活性,做免疫组化时不需抗原修复这一步。缺点是细胞内易形成冰晶而破坏细胞结构,可能会使抗原弥散;切片厚度较石蜡的厚,做的片子没石蜡的漂亮。当你买一抗时,目录上都写着做什么样的切片,如果它写着只能做冰冻,就不能做石蜡,如写
不完全,若存在,需延长脱蜡时间或换用新的二甲苯。 (5)抗原修复不完全:对于甲醛固定的组织必须用充分抗原修复来打开抗原表位,以利于与抗体结合。 (6)细胞通透不全,抗体未能充分进入胞内参与反应:可加入组织透化步骤,进行细胞膜或核膜的透化。 (7)试剂盒保存不当:请于 4℃ 进行保存,勿室温防止过长时间。 (8)封闭时间过长:若使用封闭液进行封闭,请排除封闭液对抗原抗体结合的影响。 Q2:免疫组化染色弱怎么办? (1)抗体浓度过低,孵育时间过短:可提高抗体浓度,进行抗体4℃过夜孵育。 (2)组织
管树军621 各位大侠,我在论坛上看到大家检测NF/KB与IKBa用的都是WB的方法,我想用免疫组化的方法,好出结果吗,两者相比那种方法更容易出结果呢?我只想只一个好出结果的方法并且试剂相对便宜一些。谢谢!请高手指点。我的邮箱是guanshujun621@163.com 00501101 如果你是硕士的话,可以骗过国内的人,蒙混过毕业就行了 如果你是博士的话,要发SCI,请不要用组化代替wb,老外没有人这样代替
技术资料暂无技术资料 索取技术资料









