万千商家帮你免费找货
0 人在求购买到急需产品
- 详细信息
- 技术资料
- 提供商:
四川赛因斯特生物科技有限公司
- 服务名称:
透射电镜
- 规格:
例
贴壁细胞:收集细胞。用室温电镜固定液重悬细胞,连同固定液将细胞转移至EP管,立即离心。离紧后,小心弃上清,沿管壁缓慢加入新的电镜固定液,不要冲击细胞团,转入4℃冷藏保存或送样。在保存和运输过程中,固定液切勿冷冻结冰。请确保样本管密闭、封口良好,不要中途渗漏。
概念
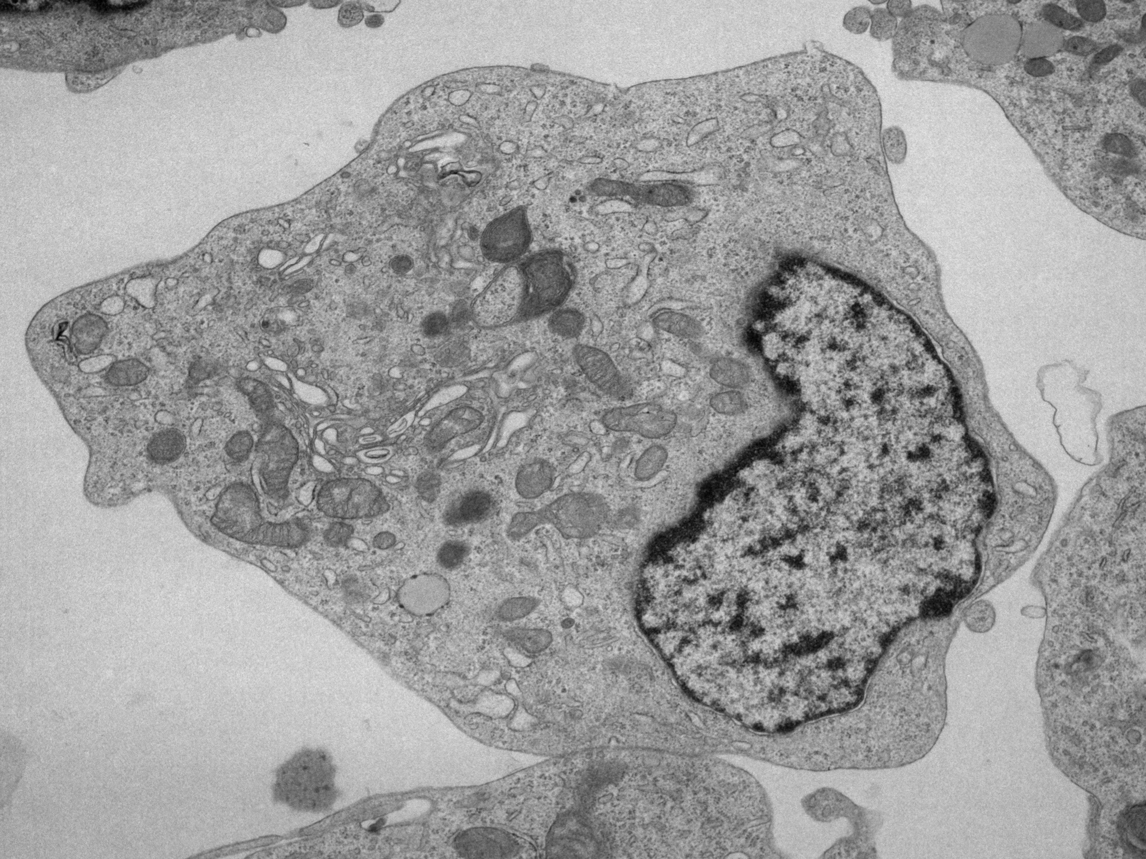
透射电子显微镜(Transmission Electron Microscope,简称TEM),可以看到在光学显微镜下无法看清的小于0.2um的细微结构,这些结构称为亚显微结构或超微结构。要想看清这些结构,就必须选择波长更短的光源,以提高显微镜的分辨率。TEM的分辨力可达0.2nm。
原理
由电子枪发射出来的电子束,在真空通道中沿着镜体光轴穿越聚光镜,通过聚光镜将之会聚成一束尖细、明亮而又均匀的光斑,照射在样品室内的样品上;透过样品后的电子束携带有样品内部的结构信息,样品内致密处透过的电子量少,稀疏处透过的电子量多;经过物镜的会聚调焦和初级放大后,电子束进入下级的中间透镜和第1、第2投影镜进行综合放大成像,最终被放大了的电子影像投射在观察室内的荧光屏板上;荧光屏将电子影像转化为可见光影像。
实验流程
取材及固定→漂洗→锇酸固定→漂洗→梯度脱水→渗透→包埋→切片→双染色→电镜观察及拍照
实验结果



风险提示:丁香通仅作为第三方平台,为商家信息发布提供平台空间。用户咨询产品时请注意保护个人信息及财产安全,合理判断,谨慎选购商品,商家和用户对交易行为负责。对于医疗器械类产品,请先查证核实企业经营资质和医疗器械产品注册证情况。
技术资料暂无技术资料 索取技术资料
贴壁细胞透射电镜
¥650 - 800









