万千商家帮你免费找货
0 人在求购买到急需产品
- 详细信息
- 文献和实验
- 技术资料
- 提供商:
武汉贝赛模式生物科技有限公司
- 服务名称:
体外循环模型构建
- 规格:
商家面议
闭胸法构建体外循环模型
背景:
体外循环动物模型方法研究较多,以往多用犬、猪、羊等大动物,代价高昂,难以管理。目前有许多学者参考其方法以大鼠为实验对象取得一定进展,但方法多样,各有特点,如动脉灌注可选择尾动脉、股动脉或颈动脉等。闭胸法对动物的损伤较小,利于手术后的长时间存活。而采用气管插管代替s气管切开也是为了减少手术后并发症的产生。
材料和方法:
SD大鼠(雄性,体重300-400 g)
造模方法:经颈外静脉和颈动脉构建体外循环模型。
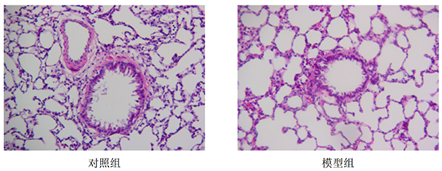
评价指标: HE染色
验证:
肺组织HE染色

风险提示:丁香通仅作为第三方平台,为商家信息发布提供平台空间。用户咨询产品时请注意保护个人信息及财产安全,合理判断,谨慎选购商品,商家和用户对交易行为负责。对于医疗器械类产品,请先查证核实企业经营资质和医疗器械产品注册证情况。
文献和实验1-1 胸骨正中切口 1-2 胸骨正中纵行锯开 1-3 切开、固定心包,显露心脏 1-4 建立体外循环,阻断升主动脉 图1 体外循环的建立 [术前准备] 1.消除一切感染病灶。 2.纠正营养不良、贫血以及肝、肾和其他脏器功能障碍。 3.纠正心力衰竭,或使病人处于可能的最佳状态。 4.术前48小时停用毛地黄类药及利尿药。 5.术前1周用普通饮食,以利调整电解质平衡,如病人长期服用利尿药,则术前1周将口服氯
大鼠麻醉后,背部脱毛,于 T9-T11 胸椎区域消毒,划约 2-3cm 纵行切口,咬除椎板,暴露硬脊膜,将大鼠固定于多功能鼠固定台,应用脊髓打击器撞击骨髓(打击高度 12mm,重量 10g)大鼠出现尾部痉挛性摆动,表明造模成功。造模后,对各组大鼠进行脊髓损伤的行为学评分,利用斜板实验评测动物脊髓损伤后神经功能恢复情况,分析在脊髓损伤不同时期的变化规律。
的毒副作用,如别嘌呤醇会导致体内脂质过氧化损伤,对肾脏、肝脏及皮肤黏膜都有较大的损害。因此,对高尿酸血症治疗新靶点和新药物的研究获得了广泛的关注,而建立稳定持续的高尿酸血症模型则是研究的重要前提。 图 1. 尿酸代谢途径[1] 尿酸是大多数动物体内嘌呤代谢的终产物,由黄嘌呤氧化酶(xanthine oxidase,XOD)将次黄嘌呤(hypoxanthine,HX)、黄嘌呤(xanthine)等尿酸前体物质氧化而成。人体内 80% 的尿酸是由体内氨基酸等其他小分子化合物合成尿酸或分解代谢而来;20
技术资料暂无技术资料 索取技术资料










