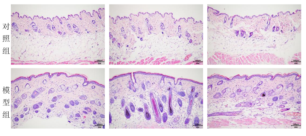
黄褐斑的病因复杂,主要致慢性病因素有紫外线照射,内分泌失调,情绪变化等.长期紫外线照射可使黑色素细胞增殖,而黑素的生成是酪氨酸酶一系列氧化反应并使体内氧化与抗氧化过程出现异常,如过氧化脂质(LPO)升高,SOD下降等,所以可以通过皮肤黑色素病理形态学,LPO的衍生物MDA及SOD量的变化研究黄褐斑实验动物模型.我们采用雌激素(孕酮)全身攻击小鼠,并同时对其进行局部照射紫外线来建立黄褐斑实验动物模型。
材料和方法:
C57BL/6小鼠(雌性,8周龄)
造模方法:肌肉注射孕酮注射液,连续28天;第29天开始,背部剃毛并紫外线照射,5天后成功制备黄褐斑模型。
评价指标:HE染色
验证:
皮肤组织HE染色













