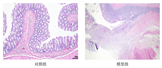
醋酸在常温下是一种具有 强烈刺激性酸味的无色液体,可以使组织肿胀、水肿、产生溃疡。醋酸致肛周溃疡模型就是利用醋酸这一特性,通过不同的实验方法使动物肛周产生肿胀、溃疡。
材料和方法:
SD大鼠(雌雄各半, 8周龄)
造模方法:乙酸溶液于肛门外周皮下散点注射,24小时后成功制备外痔疮模型。
评价指标:病理评分及ELISA检测、HE染色
验证:
病理评分及ELISA检测


武汉贝赛模式生物科技有限公司
外痔疮模型构建
商家面议
病理评分及ELISA检测


风险提示:丁香通仅作为第三方平台,为商家信息发布提供平台空间。用户咨询产品时请注意保护个人信息及财产安全,合理判断,谨慎选购商品,商家和用户对交易行为负责。对于医疗器械类产品,请先查证核实企业经营资质和医疗器械产品注册证情况。
文献和实验指内部为韧皮部,其外侧排列着木质部的维管束或中柱的类型。为外韧型的对应词,这只不过是现象,而所谓外韧型却完全是另一系统的类型。在并立维管束中,位于内侧的木质部其切面扩展为 V型,把外侧的韧皮部夹在其中,直至包围在外侧。与外韧型比较,它是次生的。普遍存在于单子叶植物百合目的根茎中(例如君影草根茎的中柱)。
3 分线外挣扎的你,看别人如何登顶 Nature、Science
Nature,Science 是公认的世界四大名刊之二,也是进行科学研究者梦寐以求的宝地。那么,怎样的研究才可以入编辑的法眼呢?同时登上两大期刊是否就功德圆满了呢?今天的这个研究系列或许可以回答这两个问题,让我们一探究竟。主角登场2012 年 Nature:Reduced Airway Surface pH Impairs Bacterial Killing in the Porcine Cystic Fibrosis Lung.降低囊性纤维化猪气道表面 pH,将损害其对细菌的杀伤能力
外菌幕 teleblem, universal veil,tectorialmembrane
( 1)亦称周包膜。指伞菌类子实体下的最外层呈袋状的部分。外菌幕由菌丝组织构成,但由于菌丝密度的不同,可随子实体的生长而破裂、脱落,有的在菌盖的表面残有白色的凸状物或痂皮(毒伞属),有的在菌柄的根部留下一个菌托(鬼笔属、红毒伞属)。特别是有的内层(内菌幕)在开伞时被扯成碎片残留在柄的上部,其中最显著的称为菌环,形态上有菌环和无菌环是属的分类特征(蘑菇属、伞蘑)。 ( 2)又称覆盖膜。指哺乳类的听觉器官的透明膜。这种膜在耳蜗中具有纤维结构,这种结构覆盖着附着
技术资料暂无技术资料 索取技术资料
