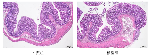
中医认为抗生素多为清热解毒药物,性苦寒,能清热泻火解毒,苦能燥湿,燥伤阴,寒能伤阳,过量、长期使用,阴伤胃无以受纳,脾气(阳)不足,运化功能受损,而出现腹泻。黄连为大寒,过量久服易伤脾胃。本实验中,采用抗生素造成菌群失调后黄连煎液造成脾虚寒致泻模型,检测造模前后动物体重、粪便情况、结肠组织病理变化情况,判断是否造成脾虚寒致泻模型。
材料和方法:
Wistar大鼠(雄性,260-300 g)
造模方法:天给予两联抗生素,连续灌胃给药3d,造成肠道菌群失调。抗生素灌胃后,天给予黄连煎液,连续给药7 d成功制备脾虚寒
模型。
评价指标:体重检测、HE染色
验证:
体重检测














