万千商家帮你免费找货
0 人在求购买到急需产品
- 详细信息
- 技术资料
- 提供商:
武汉贝赛模式生物科技有限公司
- 服务名称:
过敏性哮喘模型构建
本司通过屋尘螨诱导过敏性哮喘模型
背景:
哮喘是一种多种炎症细胞参与的慢性气道炎症疾病,过敏原导致的气道炎症是形成哮喘最核心的病理生理过程之一。 屋尘螨(house dustmite ,HDM)是一类存在于灰尘和填 充物中可导致变应性疾病的最常见气传过敏原,是常见的室内过敏原之一, 它在哮喘的发病中起着重要的作用。
材料和方法:
BALB/C小鼠(雌雄各半,8周龄)
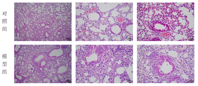
造模方法:屋尘螨气管注射致敏后第8天经鼻滴注激发,成功制备过敏性哮喘模型。
评价指标: HE染色
验证:
肺组织HE染色

风险提示:丁香通仅作为第三方平台,为商家信息发布提供平台空间。用户咨询产品时请注意保护个人信息及财产安全,合理判断,谨慎选购商品,商家和用户对交易行为负责。对于医疗器械类产品,请先查证核实企业经营资质和医疗器械产品注册证情况。
技术资料暂无技术资料 索取技术资料
过敏性哮喘模型
询价










