万千商家帮你免费找货
0 人在求购买到急需产品
- 详细信息
- 技术资料
(一)目的:
建立实验室动物建模的标准操作规程。
(二)适用范围:本SOP适应于科沿有道实验室动物实验所有工作人员。
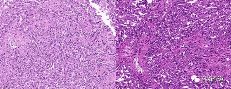
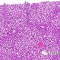
(三)主体内容:乳腺癌小鼠模型能够模拟人体乳腺癌的发生发展,在疾病发生机理研究,药物新靶点发现及临床前药效学评价等方面具有十分重要的理论价值和临床意义。乳腺癌移植瘤模型就是将人体或小鼠原发的乳腺癌组织或细胞移植到小鼠身上使其生长成肿瘤的动物模型。该模型的优点是周期短、成本低,目前在实验室中应用较为广泛。根据移植物来源可分为同种移植和异种移植,其中异种移植采用人源组织或细胞,更接近人体肿瘤真实情况,因此更为普遍,但需要免疫缺陷小鼠作为宿主。
1.实验动物:品系:Balb/C-nude小鼠;
性别:雌性;
周龄:6-8周;
体重:18-20g。
2. 操作流程:1)动物适应性饲养7天;
2)调整活细胞浓度为5×10^10·L^-1 ,取0.1ml细胞悬液与matrigel胶1:1混匀后,分别接种于裸鼠右侧第二乳房垫内。

1)肿瘤细胞接种后,每周2次用游标卡尺测量肿瘤长径( L) 和短径( W) ,肿瘤体积( TV) 的计算公式为: TV = 0. 5×L×W^2。

2)6周后或肿瘤大小达到伦理学终点,摘取移植瘤,福尔马林固定,石蜡包埋,进行HE染色。

风险提示:丁香通仅作为第三方平台,为商家信息发布提供平台空间。用户咨询产品时请注意保护个人信息及财产安全,合理判断,谨慎选购商品,商家和用户对交易行为负责。对于医疗器械类产品,请先查证核实企业经营资质和医疗器械产品注册证情况。
技术资料暂无技术资料 索取技术资料
裸鼠乳腺癌原位移植瘤模型
询价









