万千商家帮你免费找货
0 人在求购买到急需产品
- 详细信息
- 技术资料
(一)目的:
建立实验室动物建模的标准操作规程。
(二)适用范围:本SOP适应于科沿有道实验室动物实验所有工作人员。
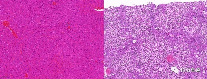
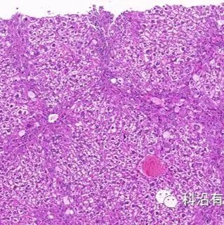
(三)主体内容:肝脏作为机体最为重要的代谢器官,炎症、毒性物质、肝脏感染(病毒、细菌、真菌、寄生虫等)都会导致肝脏损伤,影响机体的代谢活动。肝脏损伤后会发生自我修复,此过程伴随着纤维化的发生,病理性的肝脏纤维化是指肝脏在损伤后的修复过程中,胶原等细胞外基质的形成和降解平衡被破坏,导致肝脏内纤维组织过度积累。目前,中国是世界上的肝病大国。慢性肝病在其疾病进程中都会发生纤维化并朝着肝硬化、肝癌的方向发展,因此阻止肝脏纤维化,逆转纤维化是临床和药物科研过程中重要的一个选题。
1.实验动物:品系:SD大鼠;
性别:雄性;
周龄:6-8周;
体重:180-220g。
2. 操作流程:1)动物适应性饲养7天;
2)大鼠腹腔注射猪血清0.5ml/只,每周2次,连续11周。
3.实验结果鉴定:
风险提示:丁香通仅作为第三方平台,为商家信息发布提供平台空间。用户咨询产品时请注意保护个人信息及财产安全,合理判断,谨慎选购商品,商家和用户对交易行为负责。对于医疗器械类产品,请先查证核实企业经营资质和医疗器械产品注册证情况。
技术资料暂无技术资料 索取技术资料
大鼠肝纤维化模型
询价









