万千商家帮你免费找货
0 人在求购买到急需产品
- 详细信息
- 文献和实验
- 技术资料
- 提供商:
君礼生物科技(上海)有限公司

自噬过程:
■ 步骤1:细胞接受自噬诱导信号后,在胞浆的某处形成一个小的类似“脂质体”样的膜结构,然后不断扩张,但它并不呈球形,而是扁平的,就像一个由2层脂双层组成的碗,可在电镜下观察到,被称为Phagophore,是自噬发生的铁证之一。
■ 步骤2:Phagophore不断延伸,将胞浆中的任何成分,包括细胞器,全部揽入“碗”中,然后“收口”,成为密闭的球状的autophagosome,即“自噬体”。电镜下观察到自噬体是自噬发生的铁证之二。有两个特征:一是双层膜,二是内含胞浆成分,如线粒体、内质网碎片等。
■ 步骤3:自噬体形成后,可与细胞溶酶体发生融合(这种情况不是必然要发生的)
■ 步骤4:自噬体与溶酶体融合形成autolysosome,期间自噬体的内膜被溶酶体酶降解,两者的内容物合为一体,自噬体中的“货物”也被降解,产物(氨基酸、脂肪酸等)被输送到胞浆中,供细胞重新利用,而残渣或被排出细胞外或滞留在胞浆中。
自噬核心调控基因为:
▶正向:LC3、ATG5、ATG7、Beclin 1、Other ATG family proteins。
▶负向:无。
释放损伤相关分子:HMGB-1。
免疫特征:抗炎为主。
一、自噬的检测
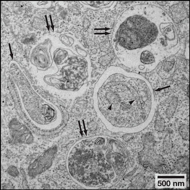
1.透射电镜检测:
1)Phagophore的特征为:新月状或杯状,双层或多层膜,有包绕胞浆成分的趋势。
2)自噬体(AV1)的特征为:双层或多层膜的液泡状结构,内含胞浆成分,如线粒体、内质网、核糖体等。
3)自噬溶酶体(AV2)的特征为:单层膜,胞浆成分已降解。

▲自噬透射电镜图
2.WB检测标志物LC3/Atg8、p62/SQSTM1、Lamps、 Atg5、Atg14和Beclin-1;

▲ WB检测自噬标志物图
3.利用Western Blot检测LC3-II/I比值的变化以评价自噬形成。自噬形成时,胞浆型LC3(即LC3-I)会酶解掉一小段多肽,转变为(自噬体)膜型(即LC3-II),因此,LC3-II/I比值的大小可估计自噬水平的高低;

▲WB检测自噬LC3比值变化
4.利用Western Blot检测p62蛋白来评价自噬以及自噬流的强弱:p62蛋白水平的多少与自噬流的强弱有着反比例关系;
5.mRFP-GFP-LC3双荧光自噬指示病毒系统检测;
mRFP-GFP用于标记及追踪LC3,GFP的减弱可指示溶酶体与自噬小体的融合形成自噬溶酶体,即由于GFP荧光蛋白对酸性敏感,当自噬体与溶酶体融合后GFP荧光发生淬灭,此时只能检测到红色荧光。

▲LC3自噬双标系统追踪自噬流不同阶段

▲mRFP-GFP-LC3双荧光自噬指示病毒系统检测感染细胞效果图
二、自噬相关检测&产品

实验服务流程

风险提示:丁香通仅作为第三方平台,为商家信息发布提供平台空间。用户咨询产品时请注意保护个人信息及财产安全,合理判断,谨慎选购商品,商家和用户对交易行为负责。对于医疗器械类产品,请先查证核实企业经营资质和医疗器械产品注册证情况。
文献和实验多功能蛋白,除了接受自噬信号,它还可以接受很多其它的信号对自噬进行调节。 3) P53 信号通路:在细胞核中,P53 能与多种蛋白作用,如 sestrin1/2 蛋白、DAPK1、BCL-2 家族、DRAM1 等作用,发挥上调细胞的自噬水平功能。而在细胞质中,P53 能够发挥抑制细胞自噬水平的功能。 自噬检测: LC3 是自噬标志物,自噬形成时,胞浆型 LC3(即 LC3-I)会酶解掉一小段多肽,转变为(自噬体)膜型(即 LC3-II),LC3-II/I 比值的大小可估计自噬
tianlang126 :(:(新手最近想做细胞自噬,想知道beclin1在自噬中起个什么样的作用?是不是表达beclin1就可以认为细胞发生了自噬?它和凋亡、坏死、炎症等有什么关系?它是通过什么信号通路起作用? 希望各位大虾解解惑:8):8) 李一晶晶 你好,目前我也在做, 请问你做pcr没有啊,187338186,我的QQ guodanni
重新生成的,但具体的机制尚不清楚。 当beclin-1被活化后,胞浆中先形成很多个membrane source(自噬体膜发生中心),在它们不断扩展的过程中(phagophore到autolysosome),VMP1蛋白由内质网和高尔基体转位到自噬体膜上(VMP1又叫TMEM49,已知唯一与自噬有关的跨膜蛋白),同时,MAP1-LC3由胞浆型(即LC3-I)转位到自噬体膜(即LC3-II),LC3这一转变过程可被Western Blot和荧光显微镜检测到,现已成为监测自噬
技术资料暂无技术资料 索取技术资料










