相关产品推荐更多 >
万千商家帮你免费找货
0 人在求购买到急需产品
- 详细信息
- 文献和实验
- 技术资料
- 提供商:
北京永欣康泰科技发展有限公司
- 服务名称:
病理常规染色及特染项目
一、病理常规染色及特染项目
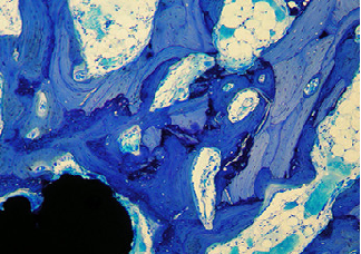
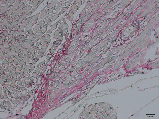
天狼星染色vs股骨病理分析
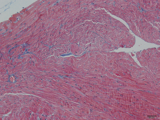
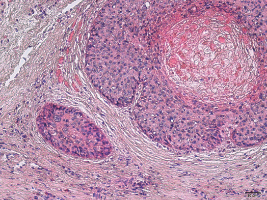
肿瘤病理分析VS心脏组织Masson染色

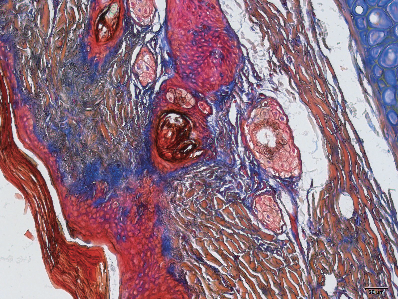
尼氏染色VSMallory染色

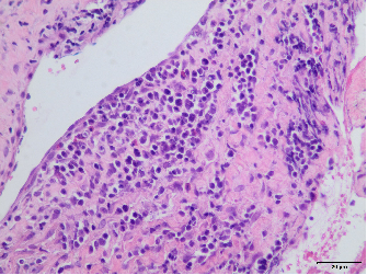
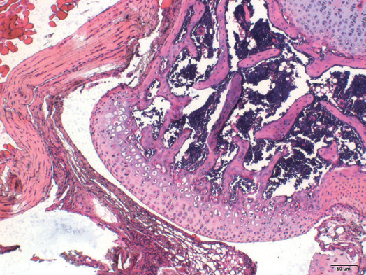
HEvs组织硬切


番红快绿

二、免疫荧光与免疫组化
服务内容:
染色:采用SP法进行免疫组织化学染色
实验结果显微照相
样品要求:
石蜡切片/冰冻切片/细胞爬片;目的蛋白的一抗
冰冻切片建议干冰运输,细胞爬片在固定后低温运输。
提供结果:
1、提供染色后封固好的切片
2、每张片子提供高倍、低倍镜显微照片各一张
3、提供完整的实验报告
三、病理读片
①取材②固定③脱水④包埋⑤切片⑥染色⑦封片
检测平台
| 服务项目 | 服务承诺 | 服务周期 | 样本种类 |
| 病理切片、免疫组化 | 染色结果照片 | 2-3周 | 组织 |
| Western blotting | 胶片 | 1-2周 | 蛋白样本或组织 |
| 流式细胞服务 | 散点图、分析数据、设备信息等 | 1-2周 | 血样、骨髓等 |
| 细胞凋亡检测 | 凋亡图、数据分析 | 细胞 | |
| RT-PCR | 扩增图 | 1-2周 | RNA或组织 |
| 血压监测(无创式) | 实时血压数据 | 大、小鼠 |


动物模型更新速度较慢,如店铺内模型为满足您的科研需求,请扫描二维码联系我们,定制专属服务动物模型
风险提示:丁香通仅作为第三方平台,为商家信息发布提供平台空间。用户咨询产品时请注意保护个人信息及财产安全,合理判断,谨慎选购商品,商家和用户对交易行为负责。对于医疗器械类产品,请先查证核实企业经营资质和医疗器械产品注册证情况。
文献和实验该产品被引用文献
侯贵明. 病理技术 HE 染色在病理诊断中的应用效果评价[J]. 临床医药文献电子杂志,2018,5(99): 145.
文献支持
病理常规染色及特染项目
询价










