相关产品推荐更多 >
万千商家帮你免费找货
0 人在求购买到急需产品
- 详细信息
- 技术资料
- 免疫原:
peptide
- 亚型:
IgG
- 形态:
Liquid
- 保存条件:
-20℃
- 克隆性:
mAb
- 适应物种:
Human,Rat
- 保质期:
1年
- 目录编号:
TD-R22825
- 级别:
科研级
- 库存:
88
- 供应商:
武汉天德
- 宿主:
Rabbit
- 应用范围:
WB,IHC-F,IHC-P,ICC/IF
- 靶点:
详询
- 抗体英文名:
CD146
- 抗体名:
CD146
- 规格:
100ul/50ul/20ul
| 规格: | 100ul | 产品价格: | ¥2280.0 |
|---|---|---|---|
| 规格: | 50ul | 产品价格: | ¥1280.0 |
| 规格: | 20ul | 产品价格: | ¥658.0 |
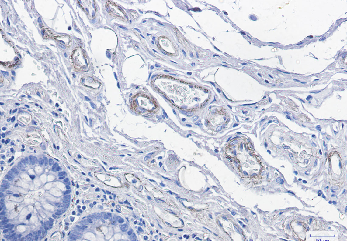
CD146 Rabbit mAb
|
Product Name
|
CD146 Rabbit mAb
|
|
Gene ID
|
4162
|
|
SwissProt ID
|
P43121
|
|
Gene Name
|
MCAM
|
|
Alternative Names
|
CD146; MUC18
|
|
Background
|
CD146 plays a role in cell adhesion, and in cohesion of the endothelial monolayer at intercellular junctions in vascular tissue. Its expression may allow melanoma cells to interact with cellular elements of the vascular system, thereby enhancing hematogeneous tumor spread. Could be an adhesion molecule active in neural crest cells during embryonic development.
|
|
Research Field
|
Immunology
|
|
Product Categories
|
Primary antibody
|
|
Host
|
Rabbit
|
|
Reactivity
|
Human,Rat
|
|
Application
|
WB,IHC-F,IHC-P,ICC/IF
|
|
Dilution Ratio
|
WB: 1/500-1/1000 IHC: 1/50-1/100 IF: 1/50-1/200
|
|
Molecular Weight
|
Calculated MW: 72 kDa; Obs/erved MW: 120 kDa
|
|
Clonality
|
Monoclonal Antibody
|
|
Clonality No.
|
R05-5A2
|
|
Isotype
|
IgG
|
|
Immunogen
|
A synthetic peptide of human CD146
|
|
Purification
|
Affinity Purified
|
|
Conjugation
|
Unconjugated
|
|
Modification
|
Unmodified
|
|
Form
|
Liquid
|
|
Buffer System
|
50mM Tris-Glycine(pH 7.4), 0.15M NaCl, 40% Glycerol, 0.01% Sodium azide and 0.05% BSA
|
|
Storage
|
Store at 4°C short term. Aliquot and store at -20°C long term. Avoid freeze/thaw cycles.
|
![]() |
![]() |
![]() |
风险提示:丁香通仅作为第三方平台,为商家信息发布提供平台空间。用户咨询产品时请注意保护个人信息及财产安全,合理判断,谨慎选购商品,商家和用户对交易行为负责。对于医疗器械类产品,请先查证核实企业经营资质和医疗器械产品注册证情况。
技术资料暂无技术资料 索取技术资料
CD146
¥658 - 2280





![[KO] CD147 Mouse mAb](https://img1.dxycdn.com/p/s14/2024/0705/185/2342804073481319081.jpg!wh200)






