相关产品推荐更多 >
万千商家帮你免费找货
0 人在求购买到急需产品
- 详细信息
- 技术资料
- 免疫原:
peptide
- 亚型:
gG2b
- 形态:
Liquid
- 保存条件:
-20℃
- 克隆性:
mAb
- 适应物种:
Human,Monkey,Rat
- 保质期:
1年
- 目录编号:
TD-240134
- 级别:
科研级
- 库存:
88
- 供应商:
武汉天德
- 宿主:
Mouse
- 应用范围:
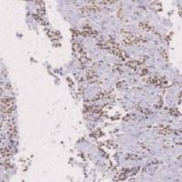
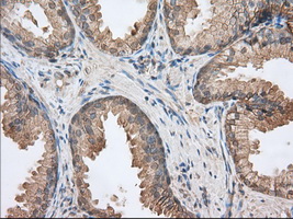
WB,IHC-P,ICC/IF
- 靶点:
详询
- 抗体英文名:
[KO] CD147 Mouse mAb
- 抗体名:
[KO] CD147 Mouse mAb
- 规格:
100ul/50ul
| 规格: | 100ul | 产品价格: | ¥2580.0 |
|---|---|---|---|
| 规格: | 50ul | 产品价格: | ¥1680.0 |
[KO] CD147 Mouse mAb
|
Product Name
|
[KO] CD147 Mouse mAb
|
|
Gene ID
|
682
|
|
SwissProt ID
|
P35613
|
|
Gene Name
|
BSG
|
|
Alternative Names
|
BSG; Basigin; 5F7; Collagenase stimulatory factor; Extracellular matrix metalloproteinase inducer; EMMPRIN; Leukocyte activation antigen M6; OK blood group antigen; Tumor cell-derived collagenase stimulatory factor; TCSF; CD antigen CD147
|
|
Background
|
Plays pivotal roles in spermatogenesis, embryo implantation, neural network formation and tumor progression. Stimulates adjacent fibroblasts to produce matrix metalloproteinases (MMPS). May target monocarboxylate transporters SLC16A1, SLC16A3 and SLC16A8 to plasma membranes of retinal pigment epithelium and neural retina.
|
|
Research Field
|
Immunology
|
|
Product Categories
|
KO validated
|
|
Host
|
Mouse
|
|
Reactivity
|
Human,Monkey,Rat
|
|
Application
|
WB,IHC-P,ICC/IF
|
|
Dilution Ratio
|
WB: 1/500-1/1000 IHC: 1/50-1/100 ICC: 1/100-1/200
|
|
Molecular Weight
|
Calculated MW: 42 kDa; Obs/erved MW: 55 kDa
|
|
Clonality
|
Monoclonal Antibody
|
|
Clonality No.
|
9H5
|
|
Isotype
|
IgG2b
|
|
Immunogen
|
Full length human recombinant protein of human BSG produced in 293T cell.
|
|
Purification
|
Affinity Purified
|
|
Conjugation
|
Unconjugated
|
|
Modification
|
Unmodified
|
|
Form
|
Liquid
|
|
Buffer System
|
Liquid in PBS containing 50% glycerol, 1% BSA and 0.02% sodium azide, pH 7.3.
|
|
Storage
|
Store at 4°C short term. Aliquot and store at -20°C long term. Avoid freeze/thaw cycles.
|
![]() |
![]() |
![]() |
风险提示:丁香通仅作为第三方平台,为商家信息发布提供平台空间。用户咨询产品时请注意保护个人信息及财产安全,合理判断,谨慎选购商品,商家和用户对交易行为负责。对于医疗器械类产品,请先查证核实企业经营资质和医疗器械产品注册证情况。
技术资料暂无技术资料 索取技术资料
[KO] CD147 Mouse mAb
¥1680 - 2580


![[KO] CD147 Mouse mAb](https://img1.dxycdn.com/p/s14/2024/0705/185/2342804073481319081.jpg)






![[KO] CD147 Mouse mAb](https://img1.dxycdn.com/p/s14/2024/0705/057/0882028706171319081.jpg)
![[KO] CD147 Mouse mAb](https://img1.dxycdn.com/p/s14/2024/0705/430/8423580070902319081.jpg)
![[KO] CD147 Mouse mAb](https://img1.dxycdn.com/p/s14/2024/0705/925/2304250898522319081.jpg)
