相关产品推荐更多 >
万千商家帮你免费找货
0 人在求购买到急需产品
- 详细信息
- 文献和实验
- 技术资料
- 免疫原:
peptide
- 亚型:
IgG2a
- 形态:
Liquid
- 保存条件:
-20℃
- 克隆性:
mAb
- 适应物种:
Human
- 保质期:
1年
- 目录编号:
TD-32094
- 级别:
科研级
- 库存:
88
- 供应商:
武汉天德
- 宿主:
Mouse
- 应用范围:
FCM、ELISA、IHC
- 靶点:
详询
- 抗体英文名:
Mouse Monoclonal Antibody to CD151
- 抗体名:
CD151
- 规格:
100ul/50ul
| 规格: | 100ul | 产品价格: | ¥2180.0 |
|---|---|---|---|
| 规格: | 50ul | 产品价格: | ¥1280.0 |
Mouse Monoclonal Antibody to CD151
Description |
|||||||
| The protein encoded by this gene is a member of the transmembrane 4 superfamily, also known as the tetraspanin family. Most of these members are cell-surface proteins that are characterized by the presence of four hydrophobic domains. The proteins mediate signal transduction events that play a role in the regulation of cell development, activation, growth and motility. This encoded protein is a cell surface glycoprotein that is known to complex with integrins and other transmembrane 4 superfamily proteins. It is involved in cellular processes including cell adhesion and may regulate integrin trafficking and/or function. This protein enhances cell motility, invasion and metastasis of cancer cells. Multiple alternatively spliced transcript variants that encode the same protein have been described for this gene. | |||||||
Specification |
|||||||
| Aliases | GP27; MER2; RAPH; SFA1; PETA-3; TSPAN24 | ||||||
| Entrez GeneID | 977 | ||||||
| Swissprot | P48509 | ||||||
| clone | 2B1F2 | ||||||
| WB Predicted band size | 28.3kDa | ||||||
| Host/Isotype | Mouse IgG2a | ||||||
| Antibody Type | Primary antibody | ||||||
| Storage | Store at 4°C short term. Aliquot and store at -20°C long term. Avoid freeze/thaw cycles. | ||||||
| Species Reactivity | Human | ||||||
| Immunogen | Purified recombinant fragment of human CD151 (AA: extra 113-221) expressed in E. Coli. | ||||||
| Formulation | Purified antibody in PBS with 0.05% sodium azide | ||||||
Application |
|||||||
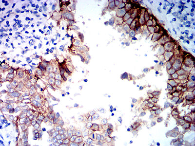
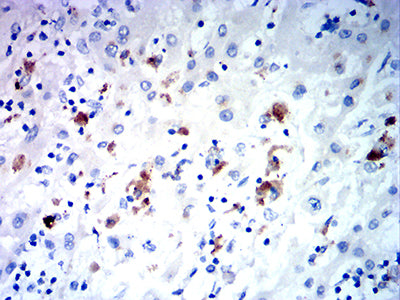
| IHC | 1/200 - 1/1000 | ||||||
| FCM | 1/200 - 1/400 | ||||||
| ELISA | 1/10000 | ||||||
Product Image
|
|||||||
风险提示:丁香通仅作为第三方平台,为商家信息发布提供平台空间。用户咨询产品时请注意保护个人信息及财产安全,合理判断,谨慎选购商品,商家和用户对交易行为负责。对于医疗器械类产品,请先查证核实企业经营资质和医疗器械产品注册证情况。
文献和实验抗原)CD151Pt,En,Ep,G,gp27integrin粘附平滑肌细胞CD153广泛,Tgp40(TNF家族)CD30淋巴细胞间粘附(CD30L)CD154Ta(CD4+ )gp32- 39(TNF家族)CD40T- B细胞粘附(CD40L)CD162M,G,T,Bsubgp110(同源二聚体)P- selectin白细胞滚动受体(PSGL- 1) CD164M,G,Tgp80(粘蛋白样 造血细胞前体与骨髓基质细胞粘附同源二聚体)CD165Pt,T,NK,Thygp37 胸腺细胞与胸
51 、 CDw60 、 CD61 、 CD62P 、 CD63 、 CD107a 、 CD107b 、 CD151 NK CD16 、 CD56 、 CD57 、 CD69 、 CD94 、 CD96 、 CD158a 、 CD158b 、 CD161 NL
技术资料暂无技术资料 索取技术资料










