相关产品推荐更多 >
万千商家帮你免费找货
0 人在求购买到急需产品
- 详细信息
- 文献和实验
- 技术资料
- 免疫原:
peptide
- 亚型:
IgG1
- 形态:
Liquid
- 保存条件:
-20℃
- 克隆性:
mAb
- 适应物种:
Human
- 保质期:
1年
- 目录编号:
TD-31417
- 级别:
科研级
- 库存:
88
- 供应商:
武汉天德
- 宿主:
Mouse
- 应用范围:
FCM、ELISA、IHC
- 靶点:
详询
- 抗体英文名:
Mouse Monoclonal Antibody to CD319
- 抗体名:
CD319
- 规格:
100ul/50ul
| 规格: | 100ul | 产品价格: | ¥2180.0 |
|---|---|---|---|
| 规格: | 50ul | 产品价格: | ¥1280.0 |
Mouse Monoclonal Antibody to CD319
Description |
|
| "Self-ligand receptor of the signaling lymphocytic activation molecule (SLAM) family. SLAM receptors triggered by homo- or heterotypic cell-cell interactions are modulating the activation and differentiation of a wide variety of immune cells and thus are involved in the regulation and interconnection of both innate and adaptive immune response. Activities are controlled by presence or abs/ence of small cytoplasmic adapter proteins, SH2D1A/SAP and/or SH2D1B/EAT-2. Isoform 1 mediates NK cell activation through a SH2D1A-independent extracellular signal-regulated ERK-mediated pathway (PubMed:11698418). Positively regulates NK cell functions by a mechanism dependent on phosphorylated SH2D1B. Downstream signaling implicates PLCG1, PLCG2 and PI3K (PubMed:16339536). In addition to heterotypic NK cells-target cells interactions also homotypic interactions between NK cells may contribute to activation. However, in the abs/ence of SH2D1B, inhibits NK cell function. Acts also inhibitory in T-cells (By similarity). May play a role in lymphocyte adhesion (PubMed:11802771). In LPS-activated monocytes negatively regulates production of proinflammatory cytokines (PubMed:23695528). | |
Specification |
|
| Aliases | SLAMF7; 19A; CS1; CRACC |
| Entrez GeneID | 57823 |
| Swissprot | Q9NQ25 |
| clone | 5G5A4 |
| WB Predicted band size | 37.4kDa |
| Host/Isotype | Mouse IgG1 |
| Antibody Type | Primary antibody |
| Storage | Store at 4°C short term. Aliquot and store at -20°C long term. Avoid freeze/thaw cycles. |
| Species Reactivity | Human |
| Immunogen | Purified recombinant fragment of human CD319 (AA: extra 23-226) expressed in E. Coli. |
| Formulation | Purified antibody in PBS with 0.05% sodium azide |
Application |
|
| IHC | 1/200 - 1/1000 |
| FCM | 1/200 - 1/400 |
| ELISA | 1/10000 |
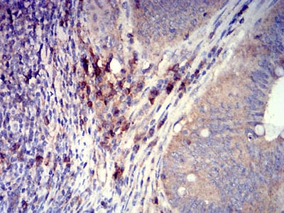
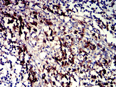
Product Image |
|
|
|
|
|
风险提示:丁香通仅作为第三方平台,为商家信息发布提供平台空间。用户咨询产品时请注意保护个人信息及财产安全,合理判断,谨慎选购商品,商家和用户对交易行为负责。对于医疗器械类产品,请先查证核实企业经营资质和医疗器械产品注册证情况。
文献和实验流式课堂 | 易被忽略的 CD4、CD8 共表达细胞——胸腺淋巴细胞
做过流式实验的同学,对 CD4、CD8 这两个指标都不会陌生。检测 CD4+ T 细胞和 CD8+ T 细胞分型,是流式中最常见的实验之一。 通常,我们会先检测 CD3,来圈总T淋巴细胞,再分别用 CD4 抗体和 CD8 抗体,来区分 CD4+ T 淋巴细胞(辅助或调节性T细胞)和 CD8+ T 淋巴细胞(细胞毒性 T 细胞)。 新生小鼠脾脏细胞 上图为新生小鼠脾脏细胞进行的 CD3-PE、CD4-FITC、CD8-APC 三色流式实验结果。从图中可以看出,在新生小鼠脾脏中,绝大
大鼠CD4分子(CD4) 酶联免疫 分析( ELISA ) 试剂 盒使用说明书 本试剂仅供研究使用 目的:本试剂盒用于测定大鼠血清,血浆及相关液体样本中 CD4分子(CD4) 含量。 实验原理 : 本试剂盒应用双抗体夹心法测定 标本 中 大鼠 CD4分子( CD4 ) 水平。用纯化的 大鼠 CD4分子( CD4 ) 抗体包被微孔板,制成固相抗体,往包被单抗的微孔中依次加入 CD4分子( CD4 ) ,再与HRP
机体免疫应答过程的复杂性和严格的调控性,是由多种免疫细胞和免疫分子共同参与完成的。而T淋巴细胞的活化,在免疫应答中扮演着相当重要的角色。研究表明,诱导T细胞的活化与增殖需要两种信号:一种是 TCR/CD3 与抗原提呈细胞(APCs)表面特异的 MHCⅡ 抗原肽复合物结合产生的特异性抗原刺激信号;另一种是非特异性协同刺激信号,由 APCs 表面的协同刺激分子和 T 细胞的相应受体相互作用后产生,其中 CD28/B7 是最为重要的协同刺激分子,能增加 IL-2 的产生,加速T细胞增殖,阻止细胞进入
技术资料暂无技术资料 索取技术资料










