万千商家帮你免费找货
0 人在求购买到急需产品
- 详细信息
- 文献和实验
- 技术资料
- 免疫原:
peptide
- 亚型:
IgG1
- 形态:
Liquid
- 保存条件:
-20℃
- 克隆性:
mAb
- 适应物种:
Human
- 保质期:
1年
- 目录编号:
TD-31377
- 级别:
科研级
- 库存:
88
- 供应商:
武汉天德
- 宿主:
Mouse
- 应用范围:
FCM、ELISA、IHC
- 靶点:
详询
- 抗体英文名:
Mouse Monoclonal Antibody to CD107b
- 抗体名:
CD107B
- 规格:
100ul/50ul
| 规格: | 100ul | 产品价格: | ¥2180.0 |
|---|---|---|---|
| 规格: | 50ul | 产品价格: | ¥1280.0 |
Mouse Monoclonal Antibody to CD107b
Description |
|
| The protein encoded by this gene is a member of a family of membrane glycoproteins. This glycoprotein provides selectins with carbohydrate ligands. It may play a role in tumor cell metastasis. It may also function in the protection, maintenance, and adhesion of the lysosome. Alternative splicing of this gene results in multiple transcript variants encoding distinct proteins. | |
Specification |
|
| Aliases | LAMPB; LAMP2; LAMP-2; LGP-96; LGP110 |
| Entrez GeneID | 3920 |
| Swissprot | P13473 |
| clone | 6A10H10 |
| WB Predicted band size | 45kDa |
| Host/Isotype | Mouse IgG1 |
| Antibody Type | Primary antibody |
| Storage | Store at 4°C short term. Aliquot and store at -20°C long term. Avoid freeze/thaw cycles. |
| Species Reactivity | Human |
| Immunogen | Purified recombinant fragment of human CD107b (AA: extra 29-168) expressed in E. Coli. |
| Formulation | Purified antibody in PBS with 0.05% sodium azide |
Application |
|
| IHC | 1/200 - 1/1000 |
| FCM | 1/200 - 1/400 |
| ELISA | 1/10000 |
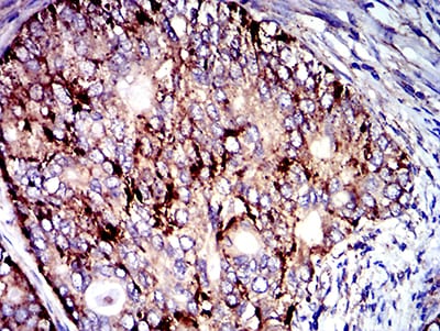
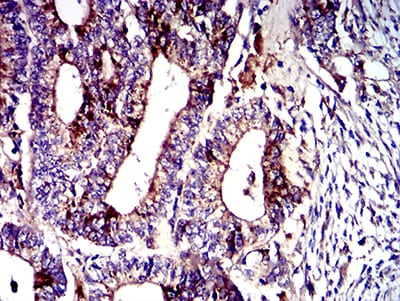
Product Image |
|
|
|
|
|
风险提示:丁香通仅作为第三方平台,为商家信息发布提供平台空间。用户咨询产品时请注意保护个人信息及财产安全,合理判断,谨慎选购商品,商家和用户对交易行为负责。对于医疗器械类产品,请先查证核实企业经营资质和医疗器械产品注册证情况。
文献和实验The Detection of NK Cell Alloreactivity by Flow Cytometric CD107a Assay
has traditionally been evaluated by NK cell cloning and 51 Cr-release cytotoxicity assay. This approach is complex and time consuming with results taking up to 6 weeks. Here, we detail a novel flow cytometric CD107a-based assay capable of detecting NK cell
CD85/CD85a/CD85b/CD85c/CD85d/CD85e/CD85f分子
CD85/CD85a/CD85b/CD85c/CD85d/CD85e/CD85f 分子 CD85 常用单克隆抗体或代号:ILT/LIR家族 主要表达细胞:DC,B,PC,Tsub[DC] 分子质量(kDa)和结构:64―82(1SSF) 功 能:抑制或活化白细胞杀伤功能 CD85a 常用单克隆抗体或代号:ILT5/LIR3 主要表达细胞:M,Mac,G,Tsub,DC CD85b
In Vitro Analysis of Hepatitis B Virus Specific CD4+ T Cells
-cell responses (2 ). Studies of patients with spontaneous resolution of HBV infection have shown that the activation of hepatitis B nucleocapsid (HBcAg) specific CD4+ T lymphocytes is a prerequisite for control over viral replication and hepatitis B
技术资料暂无技术资料 索取技术资料










