相关产品推荐更多 >
万千商家帮你免费找货
0 人在求购买到急需产品
- 详细信息
- 文献和实验
- 技术资料
- 免疫原:
peptide
- 亚型:
IgG1
- 形态:
Liquid
- 保存条件:
-20℃
- 克隆性:
mAb
- 适应物种:
Human
- 保质期:
1年
- 目录编号:
TD-30410
- 级别:
科研级
- 库存:
88
- 供应商:
武汉天德
- 宿主:
Mouse
- 应用范围:
ELISA、IHC
- 靶点:
详询
- 抗体英文名:
Mouse Monoclonal Antibody to CD6
- 抗体名:
CD6
- 规格:
100ul/50ul
| 规格: | 100ul | 产品价格: | ¥2180.0 |
|---|---|---|---|
| 规格: | 50ul | 产品价格: | ¥1280.0 |
Mouse Monoclonal Antibody to CD6
Description |
|
| This gene encodes a protein found on the outer membrane of T-lymphocytes as well as some other immune cells. The encoded protein contains three scavenger receptor cysteine-rich (SRCR) domains and a binding site for an activated leukocyte cell adhesion molecule. The gene product is important for continuation of T cell activation. This gene may be associated with susceptibility to multiple sclerosis (PMID: 19525953, 21849685). Multiple transcript variants encoding different isoforms have been found for this gene. | |
Specification |
|
| Aliases | TP120; FLJ44171 |
| Entrez GeneID | 923 |
| Swissprot | P30203 |
| clone | 6B9 |
| WB Predicted band size | 71.8kDa |
| Host/Isotype | Mouse IgG1 |
| Antibody Type | Primary antibody |
| Storage | Store at 4°C short term. Aliquot and store at -20°C long term. Avoid freeze/thaw cycles. |
| Species Reactivity | Human |
| Immunogen | Purified recombinant fragment of human CD6 (AA: 472-668) expressed in E. Coli. |
| Formulation | Purified antibody in PBS with 0.05% sodium azide |
Application |
|
| IHC | 1/200 - 1/1000 |
| ELISA | 1/10000 |
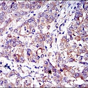
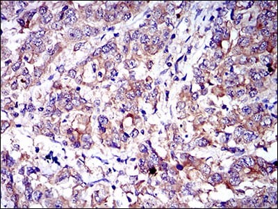
Product Image |
|
|
|
风险提示:丁香通仅作为第三方平台,为商家信息发布提供平台空间。用户咨询产品时请注意保护个人信息及财产安全,合理判断,谨慎选购商品,商家和用户对交易行为负责。对于医疗器械类产品,请先查证核实企业经营资质和医疗器械产品注册证情况。
文献和实验CD6 分子 常用单克隆抗体或代号:T12,T411 主要表达细胞:TsuL,Bsub,Thy[T] 分子质量(kDa)和结构:gp100(清除剂受体) 功 能:配体CDl66,T细胞活化,胸腺细胞与基质细胞相互作用 Adhesion molecule mediating the binding of developing thymocytes with thymic epithelial cells May be involved
【丁香园/丁香通 第一期品牌抗体库发布】想找品牌抗体?汇聚Abnova、Abcam、CST、santacruze一线品牌抗体库数据,一站让你查到底!
多少个香港铜锣湾,才够满足我的潮流控;多少个抗体网站,才够帮我找到品牌抗体? 上丁香通(www.biomart.cn),一站帮你搞定! 继丁香通ATCC细胞库发布之后两个月,丁香通第一期品牌抗体库正式发布。 本次抗体库收集了Abnova、Abcam、CST、santacruze四个一线品牌的抗体库数据,并且可以通过“适用物种”、“应用范围”、“抗体来源”、“是否单克隆”等维度进行深入搜索,以下为使用示意流程。 1、输入关键词,比如搜索“CD6”抗体 http
整合素家族血小板糖蛋白组 ( β 3 组 ) 和β 7 组 β3亚单位为CD61,分子质量为105kDa,表达于血小板、巨核细胞、单核细胞、Mφ和内皮细胞。CD6l可与CD4l和CD51分别组成血小板糖蛋白ⅡbⅢa(GPⅡbⅢa,αⅡbβ3)和VN受体(αVβ3)。其中的GPⅡbⅢa(CD61/C1341)在血小板受到凝血酶、腺苷二磷酸(ADP)和胶原等刺激活化后,即可与相应配体结合。而CD51/CD61是玻连蛋白受体(VNR),介导血小板黏附于固相化
技术资料暂无技术资料 索取技术资料










