相关产品推荐更多 >

CD30 Recombinant monoclonal antibody (Ki-3) (Rabbit IgGκ)
¥7683.98
EpCAM Recombinant monoclonal antibody (EGP40/1555R)
¥7683.98
Fluorescein Recombinant monoclonal antibody (4-4-20 enhanced) (Rat IgG2cκ)
¥7683.98
α5β1 Integrin Recombinant monoclonal antibody (M200) (Rabbit IgGκ)
¥7822.68
α-CGRP (human) monoclonal antibody (5)
询价
万千商家帮你免费找货
0 人在求购买到急需产品
- 详细信息
- 文献和实验
- 技术资料
- 抗体名:
抗ATRX抗体
- 抗体英文名:
Anti-ATRX
- 应用范围:
ICC, IHC, WB
- 宿主:
RABBIT
- 供应商:
欣博盛生物
- 库存:
59
- 级别:
科研
- 适应物种:
Human
- 克隆性:
多克隆
- 保存条件:
Store at +4°C for short term storage. Long time storage is recommended at -20°C.
- 规格:
100ul
Anti-ATRX 产品货号HPA001906-100ul,规格是100ul,由瑞典Atlas Antibodies公司研发生产。欣博盛生物是Atlas Antibodies国内授权一级代理,负责Atlas Antibodies产品在国内的销售,以及技术支持。Anti-ATRX常备现货,价格实惠,欢迎前来咨询!
X连锁α-地中海贫血/精神发育迟滞(又叫ATR-X综合征)是一种X连锁遗传的精神发育迟滞综合征。大约有一半的患者已发现有ATRX基因突变。转录调节因子ATRX也称为ATP依赖性解旋酶ATRX。X连锁核蛋白(XNP)或X连锁解旋酶II是由ATRX编码的蛋白质。ATRX基因的突变与X连锁精神发育迟滞(XLMR)综合征相关,常伴有α-地中海贫血(ATRX)综合征。
产品详情:
类型:多克隆抗体
来源:Rabbit IgG
应用: IHC,WB,ICC-IF
反应种属:human
免疫原:Recombinant Protein Epitope Signature Tag (PrEST) antigen sequence: AAWAEYEAEKKGLTMRFNIPTGTNLPPVSFNSQTPYIPFNLGALSAMSNQQLEDLINQGREKVVEATNSVTAVRIQPLEDIISAVWKENMNLSEAQVQALALSRQASQELDVKRREAIYNDVLTKQQMLISCVQRILMNRR
缓冲液组成:40% glycerol and PBS (pH 7.2). 0.02% sodium azide is added as preservative
应用实例:

Immunohistochemical staining of human uterine cervix shows moderate to strong nuclear positivity in sequamous epithelial cells.

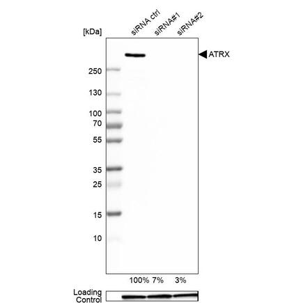
WB analysis in A549 cells transfected with control siRNA, target specific siRNA probe#1 and #2, using anti-ATRX antibody. Remaining relative intensity is presented. Loading control:anti-GAPDH.

mmunofluorescent staining of human cell line A549 shows localization to nucleoplasm and nuclear bodies. Antibody staining is shown in green.
订购信息:
| 产品名称 |
货号 |
规格 |
| Anti-ATRX Antibody |
HPA001906 |
100ul |
更多详情请联系Atlas Antibodies中国授权代理商欣博盛生物
风险提示:丁香通仅作为第三方平台,为商家信息发布提供平台空间。用户咨询产品时请注意保护个人信息及财产安全,合理判断,谨慎选购商品,商家和用户对交易行为负责。对于医疗器械类产品,请先查证核实企业经营资质和医疗器械产品注册证情况。
文献和实验请联系Atlas Antibodies国内授权一级代理--欣博盛生物
Nat. Commun. | 北大刘涛与杨兴团队在蛋白质药物定点多修饰领域取得重要进展
模型,实现了对肿瘤检测以及红外辅助手术导航的诊疗一体化的目标(图 3)。 图 3 抗体片段偶联荧光与核素——实现肿瘤一体化治疗 3 抗体片段偶联毒素分子与 PEG——实现肿瘤高渗透杀伤 他们又构建了 PEG 与药物毒素的 Anti-HER2-scFv 抗体片段偶联物,相比于全抗(150 kDa),该偶联物分子量较小(50 or 70 kDa),但同时比单一 scFv(27 kDa)分子量大,在实现更高肿瘤渗透的同时,增强杀伤效果(图 4),体现了双修饰抗体片段协同作用的优势。 图 4 抗体
物,引起基因组甲基化不足,导致游离DNMT1错误靶向CPG岛,反过来,基因组甲基化不足,引起DNMT1表达增加,更增加CPG岛的超甲基化。(三)甲基化下游因素的参与DNA甲基化和染色质结构变化之间存在一种环状反馈关系,DNA甲基化使染色质失活,反过来染色质失活导致DNA超甲基化,这提示改变染色质结构的因素也可引起甲基化状态的改变。已知ATRX基因与人ATRX综合征(X连锁的地中海贫血和精神呆滞)有关,ATRX基因的突变可引起整体甲基化的不同程度变化[10]。ATRX蛋白与染色质重定型
STM:傅阳心、侯玉柱等发现放疗与免疫治疗的交汇点,兵家必争之地竟是这群细胞
细胞或外源性注射 ARTN 同样可以减弱放疗和 PD-L1 阻滞的抗肿瘤作用。上述的结果表明免疫治疗和放疗的治疗作用部分依赖于它们对 Ter 细胞的抑制。 图片来源:Sci. Transl. Med 同样的,破坏 Ter/ARTN 轴能够恢复甚至增加放疗和抗 PD-L1 治疗的疗效。通过使用 anti-Ter119 抗体,将小鼠体内 Ter 细胞耗尽,这显著促进了放疗和抗 PD-L1 治疗的作用。接下来的研究也表明阻断 ARTN 能增强抗肿瘤治疗效果。因此,Ter 细胞耗尽、ARTN 中和都能够
技术资料暂无技术资料 索取技术资料





