相关产品推荐更多 >
万千商家帮你免费找货
0 人在求购买到急需产品
- 详细信息
- 文献和实验
- 技术资料
- 应用范围:
产品信息以Bioss网站为准
- 规格:
50ul/100ul/25ul
| 规格: | 50ul | 产品价格: | ¥1400.0 |
|---|---|---|---|
| 规格: | 100ul | 产品价格: | ¥2500.0 |
| 规格: | 25ul | 产品价格: | ¥800.0 |
| 产品编号 | bsm-60814R |
| 英文名称 | E cadherin Recombinant Rabbit mAb |
| 中文名称 | 上皮钙粘附分子重组兔单克隆抗体 |
| 英文别名 | E-cadherin; anion exchanger protein 3; Arc 1; Cadherin 1; cadherin 1 type 1 E-cadherin; Cadherin1; CAM 120/80; CD 234; CD324; CD324 antigen; CDH1; CDHE; ECAD; Epithelial cadherin; epithelial calcium dependant adhesion protein; LCAM; Liver cell adhesion molecule; UVO; Uvomorulin; CADH1_HUMAN. |
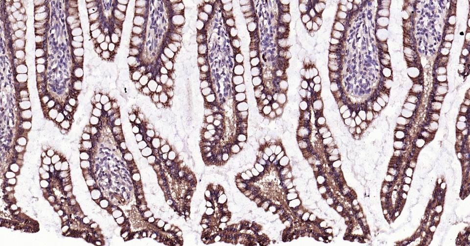
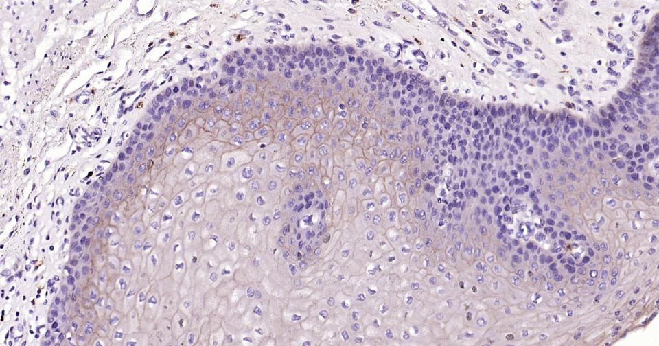
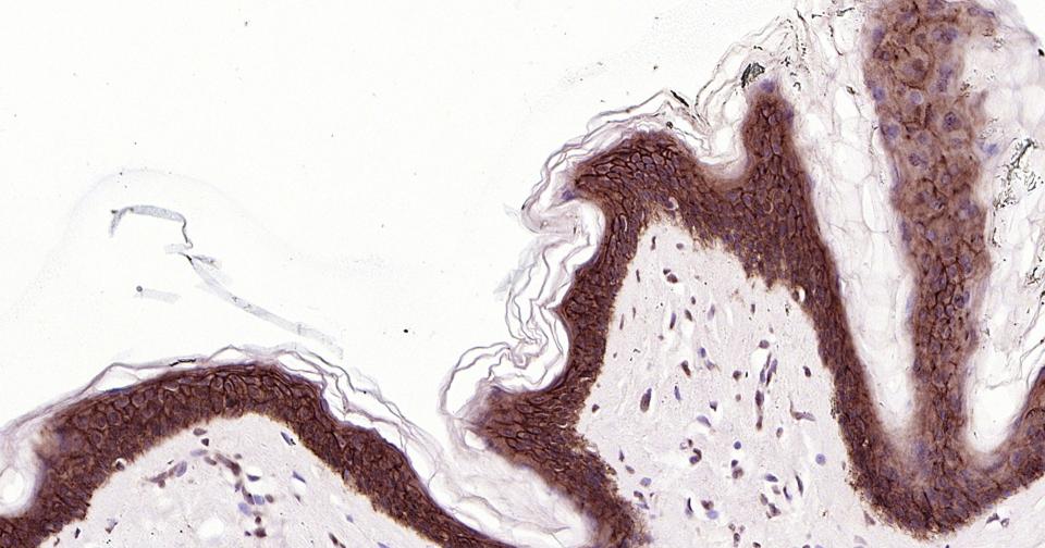
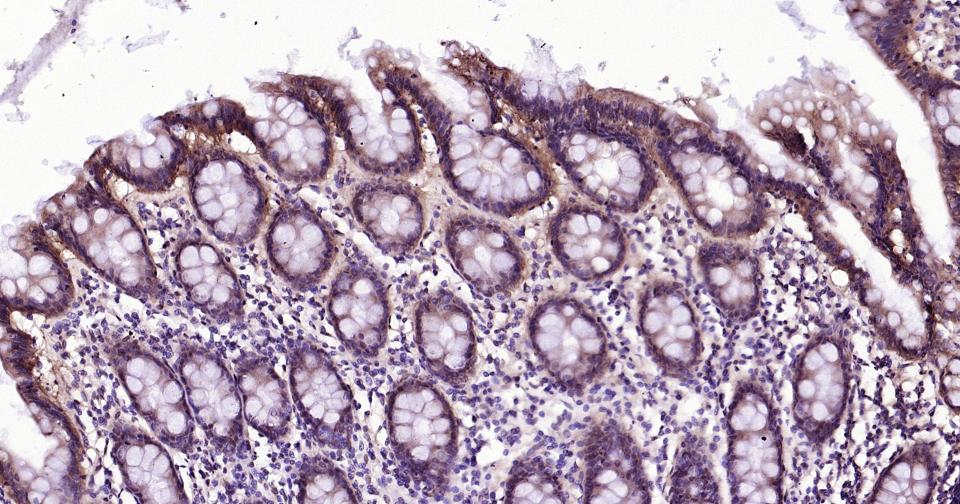
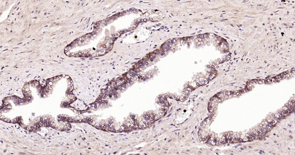
| 产品应用 | IHC-P=1:100-500, IHC-F=1:100-500, IF=1:100-500, WB=1:500-2000 Not yet tested in other applications. |
| 交叉反应 | Human, skin |
| 抗体来源 | Rabbit |
| 免疫原 | KLH conjugated synthetic peptide derived from human E-cadherin |
| 亚型 | IgG |
| 性状 | Liquid |
| 纯化方法 | affinity purified by Protein A |
| 克隆类型 | Recombinant |
| 理论分子量 | 97 kDa |
| 浓度 | 1mg/ml |
| 储存液 | PBS, Glycerol, BSA. |
| 研究领域 | Cancer > Invasion/microenvironment > ECM > Cell adhesion > Cadherins Developmental Biology > Organogenesis > Excretory system development > Kidney development Signal Transduction > Antibodies > e cadherin Signal Transduction > Cytoskeleton / ECM > Cell Adhesion > Cadherins Signal Transduction > Signaling Pathway > Calcium Signaling > Calcium Binding Proteins |
| 亚基 | Homodimer. |
| 亚细胞定位 | Cell junction. Cell membrane; Single-pass type I membrane protein. |
| 组织特异性 | Non-neural epithelial tissues. |
| 翻译后修饰 | During apoptosis or with calcium influx, cleaved by a membrane-bound metalloproteinase (ADAM10), PS1/gamma-secretase and caspase-3 to produce fragments of about 38 kDa (E-CAD/CTF1), 33 kDa (E-CAD/CTF2) and 29 kDa (E-CAD/CTF3), respectively. Processing by the metalloproteinase, induced by calcium influx, causes disruption of cell-cell adhesion and the subsequent release of beta-catenin into the cytoplasm. The residual membrane-tethered cleavage product is rapidly degraded via an intracellular proteolytic pathway. Cleavage by caspase-3 releases the cytoplasmic tail resulting in disintegration of the actin microfilament system. The gamma-secretase-mediated cleavage promotes disaaaembly of adherens junctions. |
| 相似性 | Contains 5 cadherin domains. |
| 功能 | Cadherins are calcium-dependent cell adhesion proteins. They preferentially interact with themselves in a homophilic manner in connecting cells; cadherins may thus contribute to the sorting of heterogeneous cell types. CDH1 is involved in mechanisms regulating cell-cell adhesions, mobility and proliferation of epithelial cells. Has a potent invasive suppressor role. It is a ligand for integrin alpha-E/beta-7. E-Cad/CTF2 promotes non-amyloidogenic degradation of Abeta precursors. Has a strong inhibitory effect on APP C99 and C83 production. |
| 保存条件 | Shipped at 4℃. Store at -20℃ for one year. Avoid repeated freeze/thaw cycles. |
| 注意事项 | This product as supplied is intended for research use only, not for use in human, therapeutic or diagnostic applications. |
| 背景资料 | This gene encodes a classical cadherin of the cadherin superfamily. Alternative splicing results in multiple transcript variants, at least one of which encodes a preproprotein that is proteolytically processed to generate the mature glycoprotein. This calcium-dependent cell-cell adhesion protein is comprised of five extracellular cadherin repeats, a transmembrane region and a highly conserved cytoplasmic tail. Mutations in this gene are correlated with gastric, breast, colorectal, thyroid and ovarian cancer. Loss of function of this gene is thought to contribute to cancer progression by increasing proliferation, invasion, and/or metastasis. The ectodomain of this protein mediates bacterial adhesion to mammalian cells and the cytoplasmic domain is required for internalization. This gene is present in a gene cluster with other members of the cadherin family on chromosome 16. [provided by RefSeq, Nov 2015] |
| 应用 | 推荐稀释比例 |
| {IHC-P} | {1:100-500} |
| {IHC-F} | {1:100-500} |
| {IF} | {1:100-500} |
| {WB} | {1:500-2000} |






风险提示:丁香通仅作为第三方平台,为商家信息发布提供平台空间。用户咨询产品时请注意保护个人信息及财产安全,合理判断,谨慎选购商品,商家和用户对交易行为负责。对于医疗器械类产品,请先查证核实企业经营资质和医疗器械产品注册证情况。
文献和实验Expression and Isolation of Recombinant Antibody Fragments in E. coli
Central to the rapid growth in the study and application of recombinant antibodies in recent years is the ability to reliably and cost-effectively produce large quantities of functional protein. In contrast to glycosylated whole monoclonal
Cadherin-Mediated Cell-Cell Interactions
P-Cadherin Human, mouse, bovine Placenta (mouse), skin, breast (myoepithelial cells), prostate (basal cells) R-Cadherin (cadherin
Expression of Eukaryotic Cytochromes P450 in E. coli
Although much has been learned from the study of relatively abundant cytochromes P450 (e.g., P450cam from Pseudomonas putida cytosol, P4501A2 and P4502B4 from rabbit liver microsomes, and P45Oscc from bovine adrenal cortex mitochondria
技术资料暂无技术资料 索取技术资料








