相关产品推荐更多 >

Anti-human Sortilin / SORT1 (Latozinemab Biosimilar)(BIO0605SM)-1mg/5mg/20mg
¥3200
HPV16 E7 Rabbit pAb, BF405 conjugated(bs-0714R-BF405)-100ul
¥2980
CLEC5A Rabbit pAb(bs-2663R)-50ul/100ul/200ul
¥1180
PHD3 Rabbit pAb(bs-0532R)-50ul/100ul/200ul
¥1180
REV3L/Polymerase DNA zeta Rabbit pAb(bs-19840R)-50ul/100ul/200ul
¥1180
万千商家帮你免费找货
0 人在求购买到急需产品
- 详细信息
- 文献和实验
- 技术资料
- 应用范围:
产品信息以Bioss网站为准
- 规格:
50ul/100ul/200ul
| 规格: | 50ul | 产品价格: | ¥1180.0 |
|---|---|---|---|
| 规格: | 100ul | 产品价格: | ¥1980.0 |
| 规格: | 200ul | 产品价格: | ¥2800.0 |
| 产品编号 | bs-0178R |
| 英文名称 | Nurr1 Rabbit pAb |
| 中文名称 | 核受体相关因子-1抗体 |
| 英文别名 | Nur-ralated factor 1; Nuclear receptor-related factor 1; Orphan nuclear receptor NR4A2; Orphan nuclear receptor NURR1; Regenerating liver nuclear receptor 1; RNR-1; SL-322; Nuclear orphan receptor HZF-3; T-cell nuclear receptor NOT; HZF 3; HZF3; Immediate-early response protein NOT; Intermediate early receptor protein; NGFI B/nur77 beta type transcription factor homolog; NOT; NR4A2; NR4A2_HUMAN; Nuclear receptor subfamily 4 group A member 2; Nur related protein 1 homolog; Nurr 1; RNR 1; RNR1; TINUR; Transcriptionally inducible nuclear receptor; Transcriptionally inducible nuclear receptor related; Transcriptionally inducible nuclear receptor related 1; Transcriptionally-inducible nuclear receptor. |
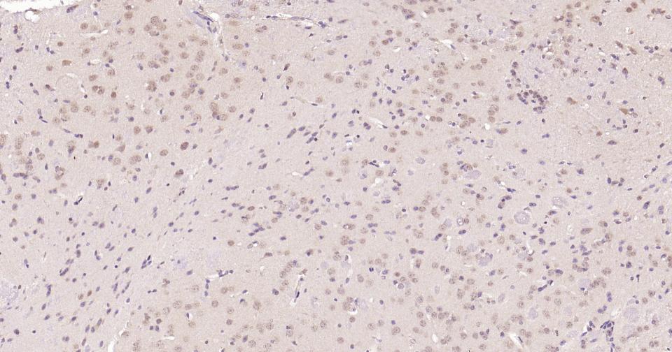
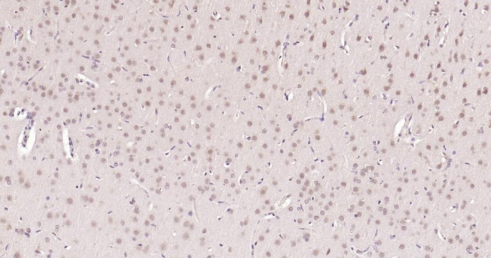
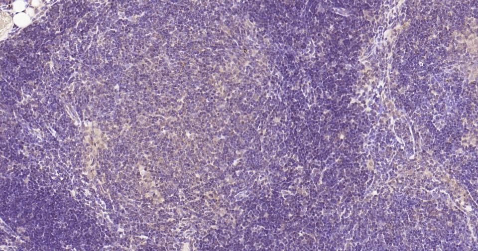
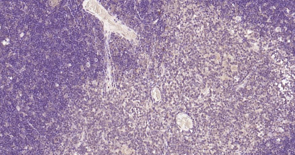
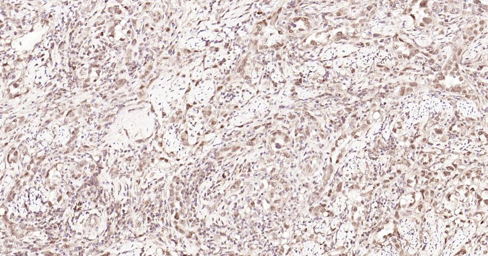
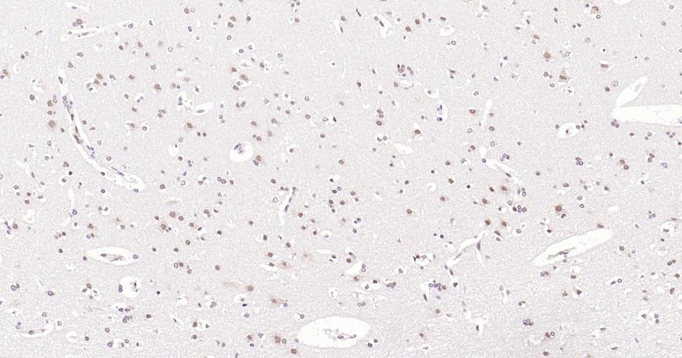
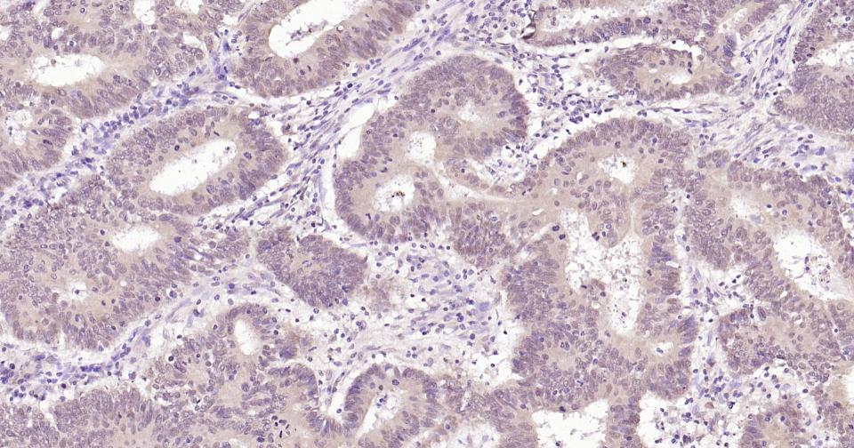
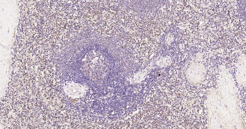
| 产品应用 | WB=1:200-1000, IHC-P=1:100-500, IHC-F=1:100-500, IF=1:100-500 Not yet tested in other applications. |
| 交叉反应 | Human, Mouse, Rat |
| 抗体来源 | Rabbit |
| 免疫原 | KLH conjugated synthetic peptide derived from human Nurr1 |
| 亚型 | IgG |
| 性状 | Liquid |
| 纯化方法 | affinity purified by Protein A |
| 克隆类型 | Polyclonal |
| 理论分子量 | 67 kDa |
| 浓度 | 1mg/ml |
| 储存液 | 0.01M TBS (pH7.4) with 1% BSA, 0.02% Proclin300 and 50% Glycerol. |
| 研究领域 | Cancer > Cancer Metabolism > Response to hypoxia Epigenetics and Nuclear Signaling > Transcription > Other factors Immunology > Immune System Diseases > Autoimmune Metabolism > Pathways and Processes > Metabolism processes > Hypoxia Metabolism > Types of disease > Cancer Neuroscience > Neurology process > Neural Signal Transduction Neuroscience > Neurology process > Neurodegenerative disease > Parkinson's disease Neuroscience > Neurology process > Neurogenesis |
| 亚基 | Interacts with SFPQ, NCOR2, SIN3A and HADC1. The interaction with NCOR2 increases in the absence of PITX3 (By similarity). |
| 亚细胞定位 | Nucleus. |
| 组织特异性 | Expressed in a number of cell lines of T-cell, B-cell and fibroblast origin. Strong expression in brain tissue. |
| 相似性 | Belongs to the nuclear hormone receptor family. NR4 subfamily. Contains 1 nuclear receptor DNA-binding domain. |
| 功能 | Transcriptional regulator which is important for the differentiation and maintenance of meso-diencephalic dopaminergic (mdDA) neurons during development. It is crucial for expression of a set of genes such as SLC6A3, SLC18A2, TH and DRD2 which are essential for development of mdDA neurons. |
| 保存条件 | Shipped at 4℃. Store at -20℃ for one year. Avoid repeated freeze/thaw cycles. |
| 注意事项 | This product as supplied is intended for research use only, not for use in human, therapeutic or diagnostic applications. |
| 背景资料 | Nuclear receptor and transcription factor; plays a role in development and maintenance of neurons synthesizing the neurotransmitter dopamine This gene encodes a member of the steroid-thyroid hormone-retinoid receptor superfamily. The encoded protein may act as a transcription factor. Mutations in this gene have been associated with disorders related to dopaminergic dysfunction, including Parkinson disease, schizophernia, and manic depression. Misregulation of this gene may be associated with rheumatoid arthritis. Four transcript variants encoding four distinct isoforms have been identified for this gene. Additional alternate splice variants may exist, but their full length nature has not been determined. |
| 应用 | 推荐稀释比例 |
| {WB} | {1:200-1000} |
| {IHC-P} | {1:100-500} |
| {IHC-F} | {1:100-500} |
| {IF} | {1:100-500} |











风险提示:丁香通仅作为第三方平台,为商家信息发布提供平台空间。用户咨询产品时请注意保护个人信息及财产安全,合理判断,谨慎选购商品,商家和用户对交易行为负责。对于医疗器械类产品,请先查证核实企业经营资质和医疗器械产品注册证情况。
文献和实验[IF={{ 2.447 }}] {Qiu Qian. et al. Propofol protects H9C2 cells against hypoxia/reoxygenation injury through miR‑449a and NR4A2. Exp Ther Med. 2021 Oct;22(4):1-11} {WB} {Rat}
= NAL), appears to form upon oxidative cyclization of the nonfluorescent 2:1 lysine-HNE Michael adduct-Schiff base cross-link (Scheme 1). Polyclonal antibody (PAb) to the NAL-HNE fluorophore was raised in rabbit and found to be highly specific
/96T 2000/3000 进口分装 F0021 骨成型蛋白-9(BMP-9) ELISA 48T/96T 2000/3000 进口分装 F0022 BMP-R1A ELISA 48T/96T 2000/3000 进口分装 F0023 BMP-R2 ELISA 48T/96T 2000/3000 进口分装 F0024 BTC ELISA 48T/96T 2000/3100 进口分装 F0030 CAE-Ab ELISA 96
/96T 2000/3000 进口分装 F0021 骨成型蛋白-9(BMP-9) ELISA 48T/96T 2000/3000 进口分装 F0022 BMP-R1A ELISA 48T/96T 2000/3000 进口分装 F0023 BMP-R2 ELISA 48T/96T 2000/3000 进口分装 F0024 BTC ELISA 48T/96T 2000/3100 进口分装 F0030 CAE-Ab ELISA 96
技术资料暂无技术资料 索取技术资料






