相关产品推荐更多 >
万千商家帮你免费找货
0 人在求购买到急需产品
- 详细信息
- 文献和实验
- 技术资料
- 应用范围:
产品信息以Bioss网站为准
- 规格:
50ul/100ul/200ul
| 规格: | 50ul | 产品价格: | ¥1180.0 |
|---|---|---|---|
| 规格: | 100ul | 产品价格: | ¥1980.0 |
| 规格: | 200ul | 产品价格: | ¥2800.0 |
| 产品编号 | bs-25192R |
| 英文名称 | PTGES2 Rabbit pAb |
| 中文名称 | 前列腺素E合成酶2抗体 |
| 英文别名 | C9orf15; FLJ14038; gamma interferon activated transcriptional element binding factor 1; GATE binding factor 1; GBF 1; GBF1; Membrane associated prostaglandin E synthase 2; MGC11289; Microsomal prostaglandin E synthase 2; mPGES 2; mPGES-2; PGES2; PGES2_HUMAN; Prostaglandin E synthase 2; Prostaglandin E synthase 2 truncated form; PTGES 2; PGES2_MOUSE. |
| 产品应用 | WB=1:500-2000, IHC-P=1:100-500, IHC-F=1:400-800, IF=1:100-500 Not yet tested in other applications. |
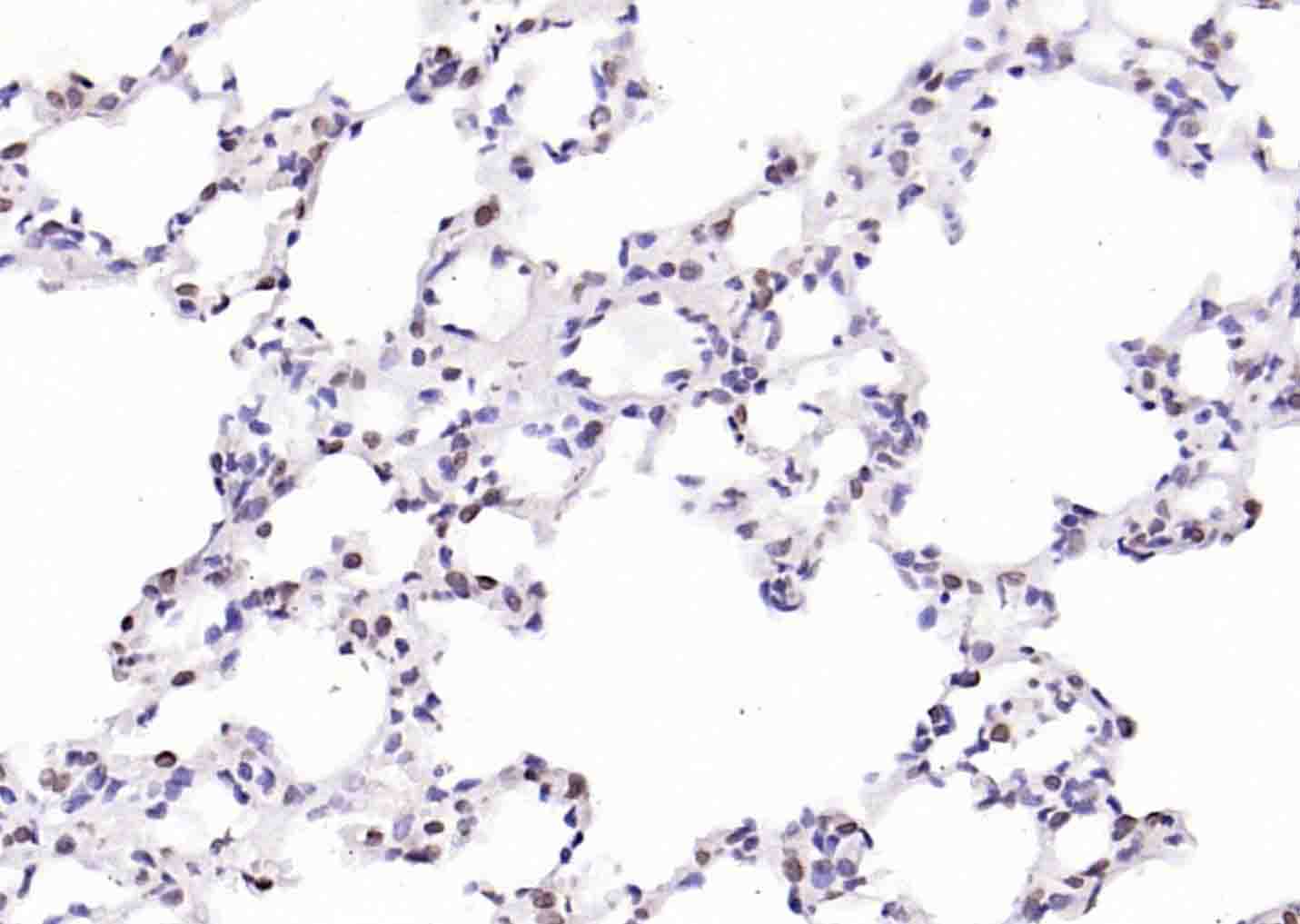
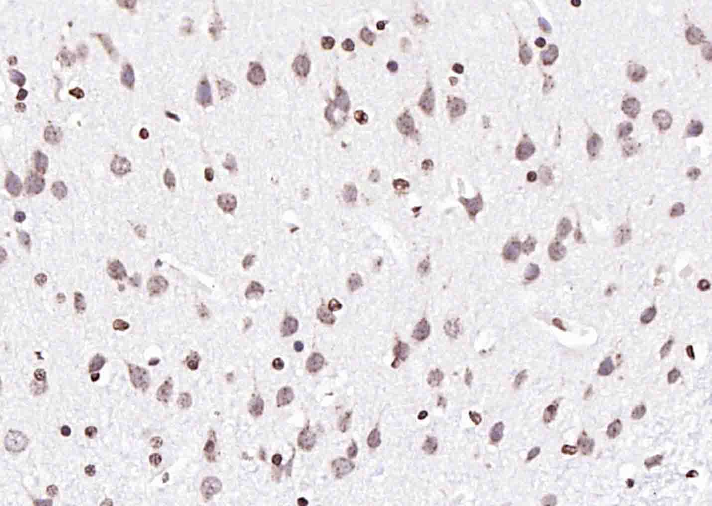
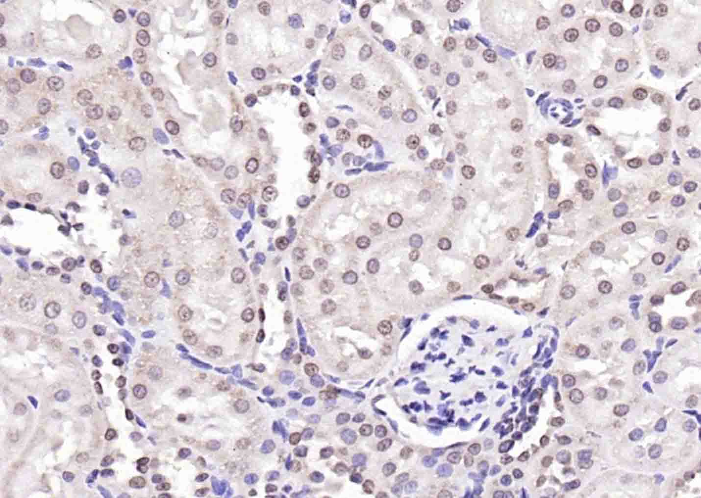
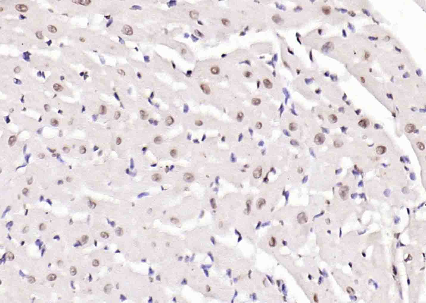
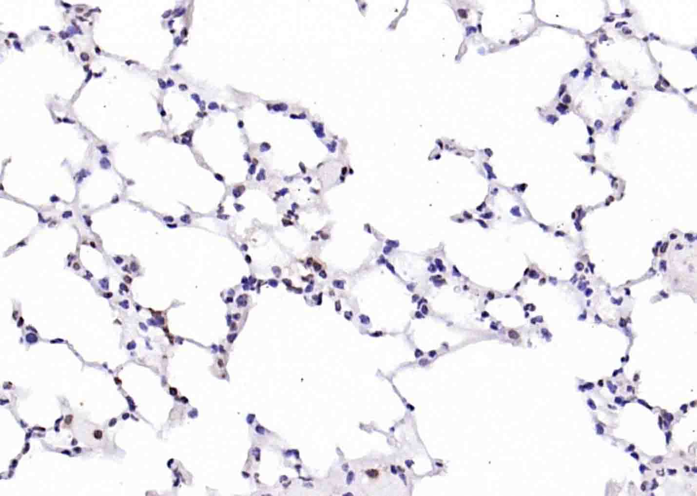
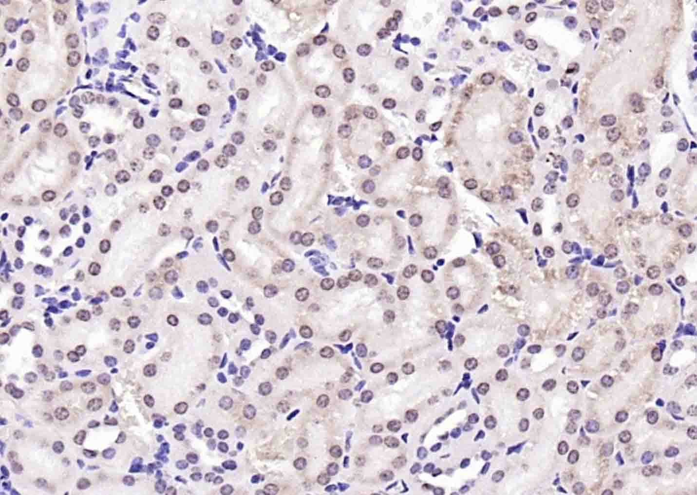
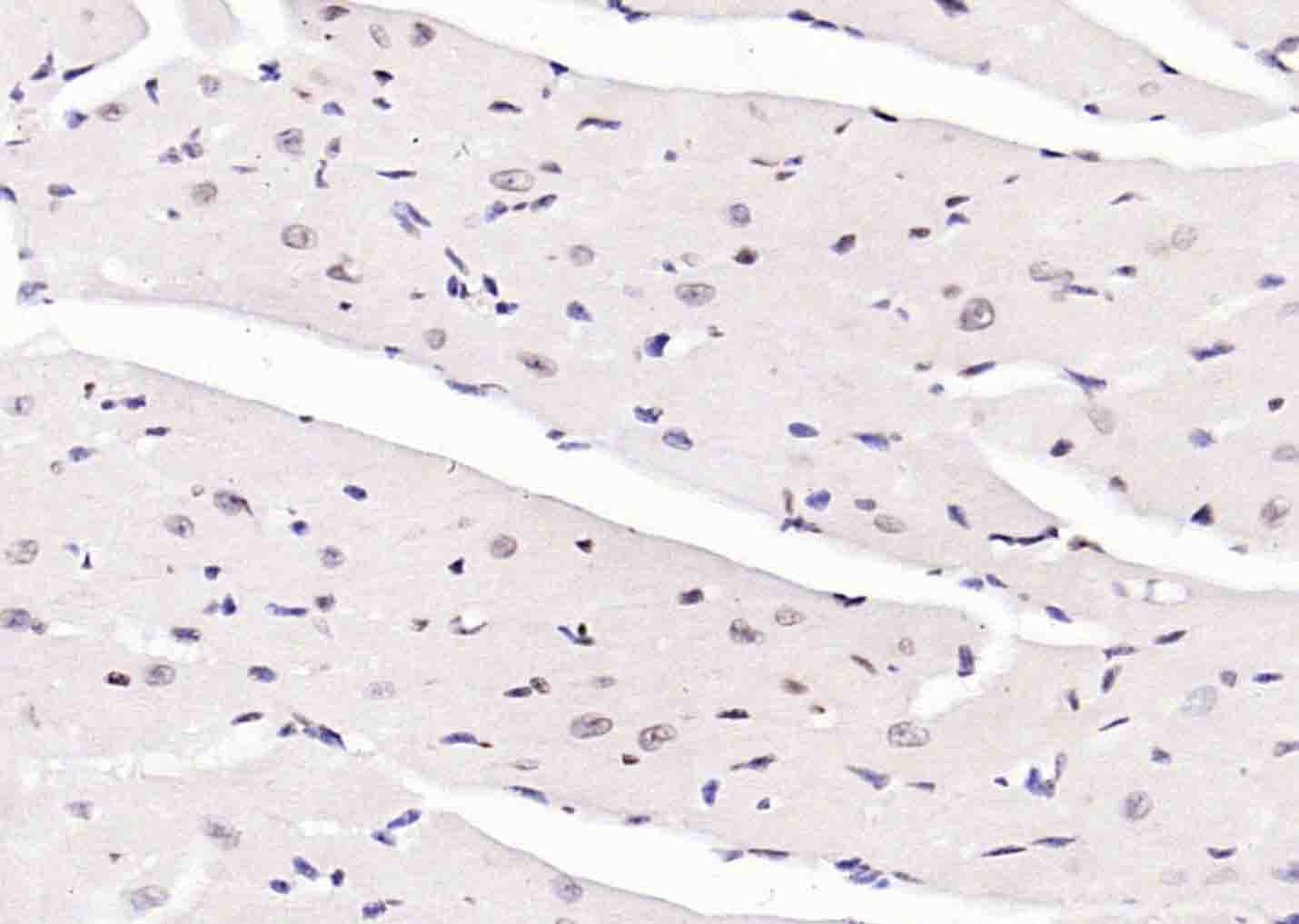
| 交叉反应 | Mouse, Rat, lung, Cerebrum, Cerebrum, Cerebrum, Cerebrum, 肾, 肾, 肾, 肾, heart, heart, heart, heart, 肾, 肾, 肾, heart, heart, heart, Cerebrum, Cerebrum, Cerebrum (Human, Dog, Pig, Cow, Rabbit) |
| 抗体来源 | Rabbit |
| 免疫原 | KLH conjugated synthetic peptide derived from human PTGES2 |
| 亚型 | IgG |
| 性状 | Liquid |
| 纯化方法 | affinity purified by Protein A |
| 克隆类型 | Polyclonal |
| 理论分子量 | 43 kDa |
| 浓度 | 1mg/ml |
| 储存液 | 0.01M TBS (pH7.4) with 1% BSA, 0.02% Proclin300 and 50% Glycerol. |
| 亚基 | Homodimer. May interact with CEBPB. |
| 亚细胞定位 | Golgi apparatus membrane; Single-pass membrane protein. Nucleus. Note=According to PubMed:12050152, some fraction may be nuclear. Prostaglandin E synthase 2 truncated form: Cytoplasm. Note=Synthetized as a Golgi membrane-bound protein, which is further cleaved into the predominant soluble truncated form. |
| 组织特异性 | Widely expressed. Expressed in brain, heart, liver, colon and lung. |
| 相似性 | Belongs to the GST superfamily.
Contains 1 glutaredoxin domain. Contains 1 GST C-terminal domain. |
| 功能 | Isomerase that catalyzes the conversion of unstable intermediate of prostaglandin E2 H2 (PGH2) into the more stable prostaglandin E2 (PGE2) form (By similarity). May also have transactivation activity toward IFN-gamma (IFNG), possibly via an interaction with CEBPB; however, the relevance of transcription activation activity remains unclear. |
| 保存条件 | Shipped at 4℃. Store at -20℃ for one year. Avoid repeated freeze/thaw cycles. |
| 注意事项 | This product as supplied is intended for research use only, not for use in human, therapeutic or diagnostic applications. |
| 背景资料 | The protein encoded by this gene is a membrane-associated prostaglandin E synthase, which catalyzes the conversion of prostaglandin H2 to prostaglandin E2. This protein also has been shown to activate the transcription regulated by a gamma-interferon-activated transcription element (GATE). Multiple transcript variants have been found for this gene. [provided by RefSeq]. |
| 应用 | 推荐稀释比例 |
| {WB} | {1:500-2000} |
| {IHC-P} | {1:100-500} |
| {IHC-F} | {1:400-800} |
| {IF} | {1:100-500} |









Lane 1: Mouse Heart tissue lysates
Lane 2: Mouse Kidney tissue lysates
Lane 3: Mouse Liver tissue lysates
Primary: Anti-PTGES2 (bs-25192R) at 1/1000 dilution
Secondary: IRDye800CW Goat Anti-Rabbit IgG at 1/20000 dilution
Predicted band size: 43 kDa
Observed band size: 43 kDa
风险提示:丁香通仅作为第三方平台,为商家信息发布提供平台空间。用户咨询产品时请注意保护个人信息及财产安全,合理判断,谨慎选购商品,商家和用户对交易行为负责。对于医疗器械类产品,请先查证核实企业经营资质和医疗器械产品注册证情况。
文献和实验[IF={{ 5.4 }}] {Weiyi Zhang. et al. Esculetin inhibited fever, pain, and inflammatory responses via binding to HSC70. J ETHNOPHARMACOL. 2025 Jun;350:120022} {WB} {Mouse}
= NAL), appears to form upon oxidative cyclization of the nonfluorescent 2:1 lysine-HNE Michael adduct-Schiff base cross-link (Scheme 1). Polyclonal antibody (PAb) to the NAL-HNE fluorophore was raised in rabbit and found to be highly specific
GE Healthcare Benzamidine Sepharose™ 6B is p-aminobenzamidine covalently attached to Sepharose 6B by the epoxy coupling method. p-Aminobenzamidine (PAB), is a synthetic inhibitor of trypsin-like serine protease. Trypsin and trypsin
Nucleic Acid Programmable Protein Arrays: Versatile Tools for Array‐Based Functional Protein Studies
.g., Sigma) 50 mg/ml bis‐sulfosuccinimdylsuberate (BS3 ;Pierce, cat. no. PI 21580) in dimethylsulfoxide (DMSO) 5 mg/ml
技术资料暂无技术资料 索取技术资料








