相关产品推荐更多 >
万千商家帮你免费找货
0 人在求购买到急需产品
- 详细信息
- 文献和实验
- 技术资料
- 应用范围:
产品信息以Bioss网站为准
- 规格:
50ul/100ul/200ul
| 规格: | 50ul | 产品价格: | ¥1180.0 |
|---|---|---|---|
| 规格: | 100ul | 产品价格: | ¥1980.0 |
| 规格: | 200ul | 产品价格: | ¥2800.0 |
| 产品编号 | bs-21033R |
| 英文名称 | SLIRP/C14orf156 Rabbit pAb |
| 中文名称 | 14号染色体开放阅读框156抗体 |
| 英文别名 | C14orf156; Chromosome 14 open reading frame 156; DC50; DC23; PD04872; SLIRP; SRA stem loop interacting RNA binding protein, mitochondrial. |
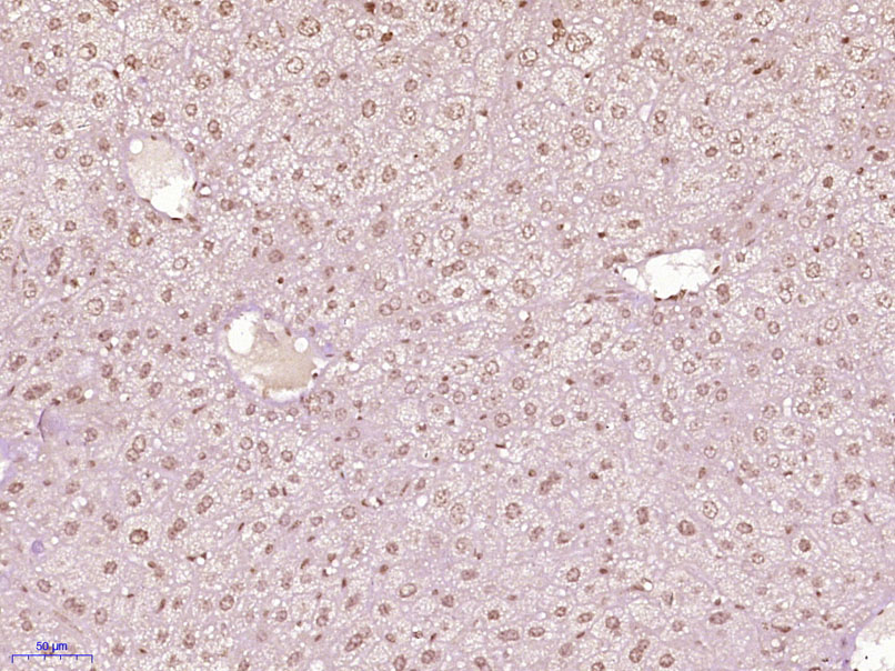
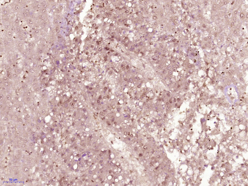
| 产品应用 | WB=1:500-2000, IHC-P=1:100-500, IHC-F=1:100-500, IF=1:100-500 Not yet tested in other applications. |
| 交叉反应 | Human, Mouse (Rat, Pig, Rabbit) |
| 抗体来源 | Rabbit |
| 免疫原 | KLH conjugated synthetic peptide derived from human SLIRP/C14orf156 |
| 亚型 | IgG |
| 性状 | Liquid |
| 纯化方法 | affinity purified by Protein A |
| 克隆类型 | Polyclonal |
| 理论分子量 | 12 kDa |
| 浓度 | 1mg/ml |
| 储存液 | 0.01M TBS (pH7.4) with 1% BSA, 0.02% Proclin300 and 50% Glycerol. |
| 研究领域 | Epigenetics and Nuclear Signaling > Chromatin Binding Proteins > DNA / RNA binding Epigenetics and Nuclear Signaling > Nuclear Signaling Pathways > Nuclear Receptors > Co-activators/co-repressors Signal Transduction > Signaling Pathway > Nuclear Signaling > Nuclear Hormone Receptors > Co-activators/co-repressors |
| 亚细胞定位 | Mitochondrial and Nuclear; Predominantly mitochondrial. |
| 组织特异性 | Ubiquitously expressed, with highest level in heart, liver, skeletal muscle and testis. |
| 相似性 | Contains 1 RRM (RNA recognition motif) domain. |
| 功能 | RNA-binding protein that acts as a nuclear receptor corepressor. Probably acts by binding the SRA RNA, and repressing the SRA-mediated nuclear receptor coactivation. Binds the STR7 loop of SRA RNA. Also able to repress glucocorticoid (GR), androgen (AR), thyroid (TR) and VDR-mediated transactivation. |
| 保存条件 | Shipped at 4℃. Store at -20℃ for one year. Avoid repeated freeze/thaw cycles. |
| 注意事项 | This product as supplied is intended for research use only, not for use in human, therapeutic or diagnostic applications. |
| 背景资料 | Steroid receptor RNA activator (SRA, or SRA1; MIM 603819) is a complex RNA molecule containing multiple stable stem-loop structures that functions in coactivation of nuclear receptors. SLIRP interacts with stem-loop structure-7 of SRA (STR7) and modulates nuclear receptor transactivation (Hatchell et al., 2006 [PubMed 16762838]).[supplied by OMIM, Mar 2008] |
| 应用 | 推荐稀释比例 |
| {WB} | {1:500-2000} |
| {IHC-P} | {1:100-500} |
| {IHC-F} | {1:100-500} |
| {IF} | {1:100-500} |



Testis (Mouse) Lysate at 40 ug
Primary: Anti-C14orf156 (bs-21033R) at 1/1000 dilution
Secondary: IRDye800CW Goat Anti-Rabbit IgG at 1/20000 dilution
Predicted band size: 12 kD
Observed band size: 12 kD

Kidney (Mouse) Lysate at 40 ug
Primary: Anti- SLIRP/C14orf156 (bs-21033R) at 1/1000 dilution
Secondary: IRDye800CW Goat Anti-Rabbit IgG at 1/20000 dilution
Predicted band size: 12 kD
Observed band size: 11 kD
风险提示:丁香通仅作为第三方平台,为商家信息发布提供平台空间。用户咨询产品时请注意保护个人信息及财产安全,合理判断,谨慎选购商品,商家和用户对交易行为负责。对于医疗器械类产品,请先查证核实企业经营资质和医疗器械产品注册证情况。
文献和实验Immunity:北大蒋争凡课题组发现 STING 后高尔基体囊泡转运的重要性及机制
: https://doi.org/10.1016/j.immuni.2023.02.004 参考文献: 1 Fang, R. et al. Recent advances in the activation and regulation of the cGAS-STING pathway. Advances in Immunology 156, 55-102, doi:10.1016 /bs.ai.2022.09.003 (2022). 2 Posor, Y. et al.
= NAL), appears to form upon oxidative cyclization of the nonfluorescent 2:1 lysine-HNE Michael adduct-Schiff base cross-link (Scheme 1). Polyclonal antibody (PAb) to the NAL-HNE fluorophore was raised in rabbit and found to be highly specific
+oieSKeKcgxGinlRPl7uja5iYeDdc+K3eZhXhIOHOy+p9cxrGU9WCTkVcT5iRR/BsR+N0IDPSu3x0pXo0IRAQiAhGBiEBE4ABCwPnwbu0wGmW8ULj7NRb20DLRYqFW1Up6ODBube+wknwaZ5w/y92bXLbV5K3CJ+hhzKwdSHCmVrada2Qy0eyxvi0r7Lkl99ukcaOkRe60Sj82E8qgnmxNtzHGRRyZQtf1g41GIMau5W7ITlqbiDRR0CA3tPhIsEdmP5hZ
技术资料暂无技术资料 索取技术资料








