相关产品推荐更多 >
万千商家帮你免费找货
0 人在求购买到急需产品
- 详细信息
- 询价记录
- 文献和实验
- 技术资料
- 提供商:
晶莱生物
- 服务名称:
二度烧伤动物模型
- 规格:
只
烧伤是临床常见的疾病之一,烧伤分为Ⅰ度、Ⅱ度和Ⅲ度,其中Ⅱ度烧伤分为浅Ⅱ度和深Ⅱ度。严重的烧伤会导致皮肤功能的丧失,进而引起人体发生一系列的代谢紊乱和炎症损伤,甚至会引发全身炎症反应综合症。
目前用于烧伤研究的动物模型多种多样,热烧伤、化学烧伤、电烧伤以及放射性烧伤的动物模型的建立技术已较为成熟。
利用中空铜柱连接恒温水浴锅进行加热,将热铜柱贴于动物背部固定进行致伤。 恒温恒压电烫仪采用不同规格的黄铜作为烫头,温度 80 ℃、以烫头自身重量 (0.5 kg) 作为致伤压力作用于小鼠致伤区 5 s、8 s、12 s,可获得不同面积的浅Ⅱ度、深Ⅱ度和Ⅲ度烧伤创面。

适用动物:
小鼠/大鼠/新西兰大白兔
建模过程:
以大鼠为例,造模前24 小时用脱毛膏将大鼠背部脱毛并麻醉大鼠,将直径 3cm的铜棒置于100℃沸水中30分钟,取出后将铜棒擦干,紧贴大鼠背部皮肤 ( 持续 7 秒)。烫伤时保持烫伤头垂直紧贴于大鼠背部皮肤,烫伤后烫伤区域暴露无覆盖,之后将实验组大鼠放回笼中继续饲养。


帕瑞昔布钠恢复早期认知功能损伤和减少炎症水平在大鼠烧伤模型中
模型验证:
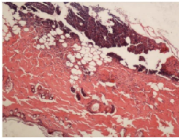
由皮肤病理切片可知,正常组大鼠皮肤组织完整,皮肤附属器清晰可见。造模24h后大鼠皮肤表皮脱落,真皮层结缔组织坏死,有明显的水肿现象,未见皮肤附属器。

造模10d 后模型组大鼠皮肤组织中出现疤痕组织,可见大量的淋巴细胞、浆细胞等炎症细胞。

注意事项:
注意铜棒的压力、温度等因素尽量保持一致。
风险评估:
避免不当操作致动物死亡,如麻醉过度等。
晶莱生物服务流程

收费标准/服务周期/提供结果:
欢迎咨询详谈,我们会根据您的方案及需求制定详细的服务协议。
更多实验技术服务请浏览网站其他内容,或来电咨询!
做实验,找晶莱!您的科研生涯,我们一路相伴!
【平台项目开展范围】慢病毒,腺病毒,RNAi类,分子生物实验,病理实验,免疫学实验,细胞实验,动物实验,蛋白组学实验,芯片类实验,并为广大客户朋友们提供课题设计指导、基金申请指导等服务。
【北京公司】北京经济技术开发区科创十三街12号院德为科技园1号楼5层
【长沙公司】长沙市高新区麓谷大道627号新长海中心A1-1203室
【晶莱生物】已开展了数千个实验外包项目。我们专注于医学课题研究,已从课题申请、方案设计、试剂采购、模型构造、标本检测、数据分析,各个环节积累了数千个成功案例经验,为数千个来自临床的科研工作者解决了大量的科研问题。更多相关实验服务信息请咨询晶莱生物
风险提示:丁香通仅作为第三方平台,为商家信息发布提供平台空间。用户咨询产品时请注意保护个人信息及财产安全,合理判断,谨慎选购商品,商家和用户对交易行为负责。对于医疗器械类产品,请先查证核实企业经营资质和医疗器械产品注册证情况。
- 作者
- 内容
- 询问日期
文献和实验HPV 并不是宫颈癌唯一的「元凶」?这种微生物化身「帮凶」,共同促进癌症发生
. trachomatis) 也是宫颈感染的常见病原体。在浸润性宫颈癌和卵巢癌患者中,沙眼衣原体合并 HPV 感染的发生率增加。有研究者认为衣原体感染可能改变患者的免疫力,使其对 HPV 易感,从而易进展为宫颈癌,但合并感染的动力学和潜在机制尚不清楚。 继 Hans Clevers 团队开发了首个宫颈癌类器官(Organoids)模型后 [1],类器官在宫颈癌中的研究得到了进一步的重视和推动。类器官可以在体外很好地模拟体内器官的三维结构和功能,相比于二维的细胞系和单纯的小鼠模型具有其独特的优势,已被广泛应用于功能
过抑制小鼠 SERPINB10 基因表达。发现屋 尘螨 HDM 诱导的气道炎症和 Th2 反应有所 缓解,HDM 诱导的 Th2 细胞因子分泌和 HDM 特异性 IgE 水平显著降低,且诱导了 Th2 的凋亡增加。 血清型:AAV6 注射方式:气管内注射 病毒滴度:6.32x1012 vp/ml 30 μl 靶向部位:肺 动物模型:6-8 周龄 C57BL/6J 雌性小鼠 2019 年 2 月,上海交通大学医学院附属上 海总医院重症医学科在 Cell Death and Disease 上发是表
口袋位置。口袋的坐标为:34.3356,14.9412,26.9615我们修改下对接参数,新的参数如下:receptor = r.pdbqtligand = nap.pdbqtcenter_x = 34.3356center_y = 14.9412center_z = 26.9615size_x = 30.0size_y = 30.0size_z = 30.0energy_range = 4exhaustiveness = 10num_modes = 10最优结果与真实模型的 RMSD 为 1.795
技术资料暂无技术资料 索取技术资料










