万千商家帮你免费找货
0 人在求购买到急需产品
- 详细信息
- 文献和实验
- 技术资料
- 品系:
原代细胞
- 库存:
999
- 英文名:
Human Umbilical Vein Smooth Muscle Cells
- 运输方式:
干冰
- 器官来源:
血管
- 物种来源:
人
- 组织来源:
人
- 规格:
5 x 10^5 cells/vial
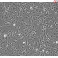
人脐静脉平滑肌细胞:
血管平滑肌细胞是许多重大动脉疾病的细胞基础。血管平滑肌细胞的异常增加的生长潜力在动脉疾病发生过程中起决定作用。研究表明血管平滑肌细胞表达ICAM-1和VCAM-1,它们能促进血管壁中炎症反应并对血管疾病的发展和稳定起着重要作用。体外培养的脐静脉内皮细胞做为研究血管的模型对研究药理学和血管疾病起着重要作用并将进一步提供信息。
人脐静脉平滑肌细胞(HUVSMC)提取于人脐静脉组织,原代冻存。每管含有细胞数>5×105,此细胞通过对alpha-SMA 和Desmin免疫荧光染色验证,经测试不含有HIV-1、HBV、HCV、支原体、细菌、酵母和真菌。细胞可以达到15倍增。配套培养基:平滑肌细胞培养基(Cat.No.1101)。产品使用说明仅供科研研究使用!
风险提示:丁香通仅作为第三方平台,为商家信息发布提供平台空间。用户咨询产品时请注意保护个人信息及财产安全,合理判断,谨慎选购商品,商家和用户对交易行为负责。对于医疗器械类产品,请先查证核实企业经营资质和医疗器械产品注册证情况。
文献和实验1. Liu, S., Guo, W., Han, X., Dai, W., Diao, Z. & Liu, W. (2016) Role of UBIAD1 in Intracellular Cholesterol Metabolism and Vascular Cell Calcification PLoS One. 11
2. Li, J., Zhou, J., Zhang, D., Song, Y., She, J. & Bai, C. (2015) Bone marrow-derived mesenchymal stem cells enhance autophagy via PI3K/AKT signalling to reduce the severity of ischaemia/reperfusion-induced lung injury J Cell Mol Med. 19
3. Li, Y., Guo, Y., Chen, Y., Wang, Y., You, Y., Yang, Q., Weng, X., Li, Q., Zhu, X., Zhou, B., Liu, X., Gong, Z. & Zhang, R. (2015) Establishment of an interleukin-1?-induced inflammation-activated endothelial cell-smooth muscle cell-mononuclear cell co-culture model and evaluation of the anti-inflammatory effects of tanshinone IIA on atherosclerosis Mol Med Rep. 12
一、摘要 目的:建立兔膀胱平滑肌细胞的分离、培养和鉴定的方法。方法:成年新西兰白兔两只(正常及梗阻各一只),采用酶法分离技术获得膀胱平滑肌细胞后于10%小牛血清的DMEM中培养,观察细胞形态和扩增情况,用爬片染色、电镜、蛋白质α-肌动蛋白(α-actin)鉴定细胞类型。结果:倒置显微镜下观察均呈“谷和峰”样结构、细胞爬片HE染色及电镜检查均证实为平滑肌细胞。免疫组化染色检测α-actin呈阳性反应。从细胞爬片HE染色和免疫组化染色检测α-actin呈阳性反应中我们发现该方法所的膀胱平滑肌细胞
正常人脐静脉原代内皮细胞培养一、实验试剂1、培养基: PriCells Medium + 10% FBS + 1% P/S + PriCells Supplem e nt2、冻存液: PriCells Medium + 20% FBS + 10% DMSO3、洗涤液: 1 × PBS (pH 7.4 ) + 1% P/S4、染色液: 0.4% Trypan Blue5、消化液: PriCells Isolation of Primary Cell Kit6、检测试剂:抗人
人脐静脉内皮细胞( HUVEC )培养 1 ). 将15-20cm长的新生儿脐带放入无菌的PBS溶液中储存。 (注:4℃下最多贮存24小时,室温下不超过6小时,否则废弃) 2 ). 用一个钝头的针头扎入脐带静脉管中,用无菌的PBS溶液冲洗3-5次,将污血冲洗干净为止。 3 ). 用手术钳夹紧脐带下端,加入15ml 的胶原酶(1mg/ml)室温下消化15-20分钟,并不时上下摇动脐带。 4 ). 消化完后,将下端手术钳松开










