相关产品推荐更多 >
万千商家帮你免费找货
0 人在求购买到急需产品
- 详细信息
- 文献和实验
- 技术资料
- 英文名:
Human Chorionic Mesenchymal Stromal Cells
- 库存:
999
- 供应商:
亿泽丰生物科技(上海)有限公司
- 品系:
原代细胞
- 组织来源:
人羊膜组织
- 物种来源:
人
- 器官来源:
绒毛膜
- 运输方式:
干冰
- 规格:
5 x 10^5 cells/vial
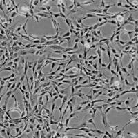
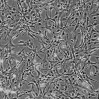
人绒毛膜间充质基质细胞产品描述:多能间充质基质细胞,又名间充质干细胞,是特征明确的一种人类干细胞。它们有发育为成熟细胞的潜在能力而产生脂肪、软骨、骨骼和肌肉。这些特性与它们发育中的可塑性共同作用使人们对用间充质干细胞来替换受损组织的潜在能力产生了极大的兴趣。间充质干细胞无血清培养,在转化生长因子作用下会分化成软骨细胞。相反,在有血清、抗坏血酸和地塞米松的作用下会分化成成骨细胞。间充质干细胞有能力更新和分化成多种间充质组织。间充质干细胞由羊膜和绒毛膜中提取得到,表达的CD271控制心肌细胞的特征、并有多种抗血管生成蛋白和抗炎症蛋白。
Sciencell研究实验室的人绒毛膜间充质干细胞是从人羊膜组织中分离提取,属第一代冻存,干冰冰冻运输。每管细胞密度5×10^5/ml。人绒毛膜间充质干细胞经免疫荧光鉴定和CD73,CD90,CD105的抗体鉴定,以及分化后的脂质染色鉴定。本细胞经检测不含HIV-1、HBV、HCV、支原体、细菌、酵母菌和真菌。如采用ScienCell 实验室特制的培养基,可保证此细胞15倍增。
配套培养基:间充质干细胞培养基 (MSCM, Cat. #7501)产品使用说明:仅供科研研究使用!
用户发表文献
[1] Ahmed Y, Alshami A S, Al-Goraee A, et al. Enhancing Bone Scaffold Fabrication: A Comparative Study of Manual Casting and Automated 3D Bioprinting[J]. Annals of Biomedical Engineering, 2025, 53(9): 2059.
[2] Ahmed Y, Alshami A S, Al-Goraee A, et al. Enhancing Bone Scaffold Fabrication: A Comparative Study of Manual Casting and Automated 3D Bioprinting: Y. Ahmed et al[J]. Annals of Biomedical Engineering, 2025: 1-12.
[3] Ahmed Y, Alshami A, Al-Goraee A, et al. Experimental Comparison of Manual Casting and Automated 3d Bioprinting Technology in Bone Scaffold Fabrication[J]. Available at SSRN 4963734.
[4] Ahmed Y. Design And Fabrication Of TPMS-Based Bone Scaffolds: A Cost-Effective Approach Using PLGA-nHA And 3d-Printed PVA Molds[D]. The University of North Dakota, 2025.
风险提示:丁香通仅作为第三方平台,为商家信息发布提供平台空间。用户咨询产品时请注意保护个人信息及财产安全,合理判断,谨慎选购商品,商家和用户对交易行为负责。对于医疗器械类产品,请先查证核实企业经营资质和医疗器械产品注册证情况。
文献和实验[1] Barry FP, Murphy JM. (2004) “Mesenchymal stem cells: clinical applications and biological characterization.” Int J Biochem Cell Biol. 36(4): 568-84.
[2] Soncini M, Vertua E, Gibelli L, Zorzi F, Denegri M, Albertini A, Wengler G, Parolini O. (2007) “Isolation and characterization of mesenchymal cells from human fetal membranes.” J. Tissue Eng. & Reg. Med. 1(4): 296-305.
[3] Zhao P, Ise H, Hongo M, Ota M, Konishi I, Nikaido T. (2005) “Human amniotic mesenchymal cells have some characteristics of cardiomyocytes.” Transplantation. 79: 528-535.
分化性和增殖力不如贴壁培养的,尤其是增殖力相差很远,有人添加bFGF或/和表皮生长因子发现可以增强增殖能力。 二、骨髓间充质干细胞的培养 天之饺子认为,间质干细胞的培养一定要用塑料培养瓶,不能用玻璃的。因为象间质干这类的基质细胞不易贴玻璃,而且现在买的进口好品牌的培养瓶都涂有一层促细胞贴壁的物质,多数园友培养时都添加10-15%胎牛血清。 分离培养结果的差异可能是由于各个研究小组标本来源、采用的分离方法不同从而所获得的细胞不同,或者用来检测的细胞代数不同,或者培养过程











