相关产品推荐更多 >
万千商家帮你免费找货
0 人在求购买到急需产品
- 详细信息
- 文献和实验
- 技术资料
- 供应商:
上海联祖
- 库存:
38
- 规格:
1*125ml 500ml
| 产品名称 | 规格 | 货号 |
| CFPAC-1 细胞专用培养基 | 1*125ml 500ml | LZ-PX11345 |
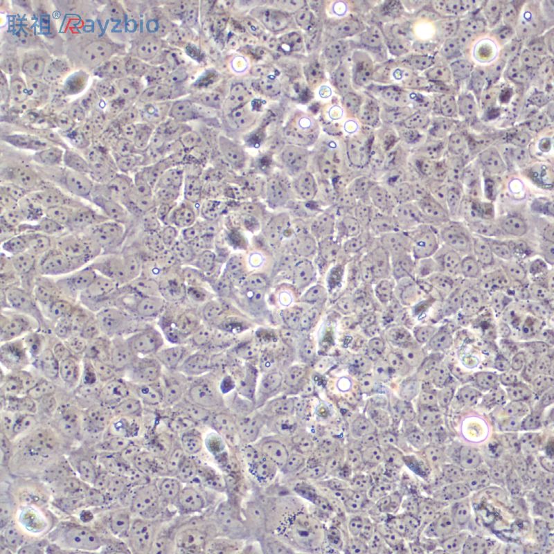
CFPAC-1细胞专用培养基由团队精心优化,经过长期测试,本产品可保持CFPAC-1细胞最佳的生长状态。
本产品中已包含CFPAC-1细胞生长所需的各种成分,无需添加任何成分,可直接用于CFPAC-1细胞的培养。
产品主要成分
IMDM 基础培养基 445 ml
特级胎牛血清 50 ml
P/S青霉素-链霉素 5 ml
运输和保存
运输:放置于含有生物冰袋的保温箱中低温运输
保存方法:2℃~8℃,避光,保存2个月;-20℃,避光,保存6个月。
干冰运输及复苏好存活细胞
(1)1mL冻存管包装干冰运输,收到后-80度冰箱保存过夜后转入液氮或直接复苏,若发现干冰已挥发干净、冻存管瓶盖脱落、破损及细胞有污染,请立即与我们联系。
(2)T25瓶复苏的存活细胞常温发货,收到后按照细胞接收后的处理方法操作。
| Rhesus antibody Rh Monoacylglycerol Lipase 单酰甘油脂肪酶抗体 规格 0.2ml | SCP3: 联会复合体蛋白3抗体 0.1ml |
| Leptin 瘦素(抗原) 0.5mg | CD276 Others Human 人 CD276 / B7-H3 人细胞裂解液 (阳性对照) |
| N acetylglucosamine kinase: N-乙酰基葡萄糖激酶抗体 0.2ml | IL13RA2 Others Canine 狗 IL13RA2 / IL13R 人细胞裂解液 (阳性对照) |
| Anti-STK/CK II Alpha/FITC 荧光素标记丝/苏氨酸蛋白质激酶抗体IgGMulti-class antibodies规格: 0.2ml | CXCL16 Others Rat 大鼠 CXCL16 / SR-PSOX 人细胞裂解液 (阳性对照) |
| Anti-P95/NBS1 DNA修复蛋白NBS1抗体Multi-class antibodies规格: 0.2ml | PDGFRA Others Human 人 PDGFRa / CD140a 杆状病毒-昆虫细胞裂解液 (阳性对照) |
| Anti-Phospho-EGFR(Tyr1148) /FITC 荧光素标记兔抗人、大、小鼠0酸化表皮生长因子受体抗体IgGMulti-class antibodies规格: 0.2ml | 人结肠平滑肌细胞(HCSMC)(5×105 ) RLF, 大鼠淋巴成纤维细胞 Rattus |
| ATP6V1B2: ATP6V1B2蛋白抗体 0.2ml | ERAP2 Others Human 人 LRAP / ERAP2 人细胞裂解液 (阳性对照) |
| 醛糖还原酶抗体 Anti-AKR1B1/ADR 0.1ml | HTEpC Pellet 人类气管上皮细胞团块 > 1 mio.cells 人骨骼肌细胞cDNAHSkMC cDNA |
| EPO(Human Erythropoietin) ELISA Kit 人红细胞生成素 96T | CD34 Others Mouse 小鼠 CD34 人细胞裂解液 (阳性对照) |
| Rhesus antibody Rh SSEA3 阶段特异性胚胎表面抗原-3抗体 规格 0.1ml | MEG-01 人成巨核细胞白血病细胞 |
| Anti-ACE1/FITC 荧光素标记血管紧张素转换酶抗体IgGMulti-class antibodies规格: 0.2ml | 小梁网细胞Many types of cells包装:5 × 105次方(1ml) |
| Anti-CD303/BDCA-2/CLEC4C 荧光素标记C型凝集素结构域家族4成员C抗体IgGMulti-class antibodies规格: 0.2ml | 人脐带间质干细胞 Human umbilical cord mesenchymal stem cells |
| CFPAC-1 细胞专用培养基TIMP-1(Human tissue inhibitors of metalloproteinase 1) ELISA Kit 人基质金属蛋白酶抑制因子1Multi-class antibodies规格: 48T | 人肝窦内皮细胞裂解物HHSECL |
| Galectin 8: 半乳糖凝集素8抗体 0.1ml | 3T3-L1, 小鼠前脂肪细胞 |
| Rhesus antibody Rh Dbx2 大脑发育同源蛋白2抗体 规格 0.2ml | 人支气管上皮细胞总RNAHBEpiC NA |
风险提示:丁香通仅作为第三方平台,为商家信息发布提供平台空间。用户咨询产品时请注意保护个人信息及财产安全,合理判断,谨慎选购商品,商家和用户对交易行为负责。对于医疗器械类产品,请先查证核实企业经营资质和医疗器械产品注册证情况。
文献和实验相关实验
树突状细胞培养操作步骤 准备补充剂 将补充剂混合物在 15~25℃ 解冻。在无菌条件下用移液枪小心地将补充剂混合物混匀。然后,把补充剂混合物全部加到基础培养基中。盖上瓶子,轻轻混匀直到形成均一的混合物。DC生成培养基所附带的相应的细胞因子组合包含有成分A和B,它们都是以100X 的原液状态运输的。 注意:此时不要将化合物B加入培养基中。 DC基础培养基不带细胞因子,因此使用时必须另外自行添加。 新鲜分离的单核 DC 细胞的传代 对于新鲜分离自外
细胞培养的基本步骤都有哪些?复苏、传代、冻存的基本操作是什么样的?如果你刚刚开始细胞培养实验,想要建立稳定的细胞培养流程,快来听Dr. 赛的讲解吧。
PromoCell MSC分化培养操作步骤 一、向神经细胞分化的操作流程 1、将塑料培养器用纤维连接蛋白包被根据操作手册,用纤维连接蛋白(C-43050)包被合适的组织培养瓶。使用浓度为10μg/ml。2、接种间充质干细胞用MSC生长培养基(C-28010)在用纤维连接蛋白包被过的培养瓶中接种培养,接种密度为4000个/cm2。3、培养间充质干细胞将细胞培养至80%的饱和度,每48小时更换一次培养基。4、诱导间充质干细胞用MSCU经细胞分化培养基(C-28015)诱导培养,用MSC
技术资料暂无技术资料 索取技术资料
CFPAC-1 细胞专用培养基
¥3000 - 6900










