相关产品推荐更多 >
万千商家帮你免费找货
0 人在求购买到急需产品
- 详细信息
- 文献和实验
- 技术资料
- 供应商:
上海联祖
- 库存:
30
- 规格:
1*125ml 500ml
| 产品名称 | 规格 | 货号 |
| MDA-MB-231 细胞专用培养基 | 1*125ml 500ml | LZ-PX11025 |
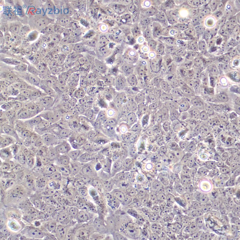
MDA-MB-231细胞专用培养基由团队精心优化,经过长期测试,本产品可保持MDA-MB-231细胞最佳的生长状态。
本产品中已包含 MDA-MB-231细胞生长所需的各种成分,无需添加任何成分,可直接用于MDA-MB-231 细胞的培养。
产品主要成分
L15 基础培养基 445ml
特级胎牛血清 50 ml
P/S青霉素-链霉素 5 ml
运输和保存
运输:放置于含有生物冰袋的保温箱中低温运输
保存方法:2℃~8℃,避光,保存2个月;-20℃,避光,保存6个月。
干冰运输及复苏好存活细胞
(1)1mL冻存管包装干冰运输,收到后-80度冰箱保存过夜后转入液氮或直接复苏,若发现干冰已挥发干净、冻存管瓶盖脱落、破损及细胞有污染,请立即与我们联系。
(2)T25瓶复苏的存活细胞常温发货,收到后按照细胞接收后的处理方法操作。
| CA-2(Human carbonic anhydrase 2) ELISA Kit 人酶2 96T | Rhesus antibody Rh Phospho-MEF2A(Thr319) 0酸化肌细胞增强因子2抗体 规格 0.1ml |
| Rhesus antibody Rh TRAF3/CD40bp 坏死因子受体相关蛋白3抗体 规格 0.1ml | KM3, 人多发性骨髓瘤细胞 |
| Anti-TGF- Beta 1 转化生长因子β1抗体Multi-class antibodies规格: 0.1ml | C4-2(人前列腺癌细胞) 5×106cells/瓶×2 |
| Anti-MAFbx/Fbx32/Atrogin-1/FITC 荧光素标记泛素蛋白连接酶抗体IgGMulti-class antibodies规格: 0.2ml | EFNB2 Protein Canine 重组狗 Ephrin-B2 / EFNB2 蛋白 (Fc 标签) |
| ADA(Human adenosine deaminase) ELISA Kit 人腺苷脱氨酶Multi-class antibodies规格: 48T | 人Burkkit淋巴瘤细胞;Daudi |
| HSPβ7: 热休克蛋白β7抗体 0.2ml | U-87MG-EGFP(Ubc-EGFP慢病毒构建稳定株)人脑星形胶质母细胞瘤 U-87MG-EGFP (Ubc-EGFP leiviral consuct stable sain) of brain asocytic blastoma DMEM+10% FBS |
| Rhesus antibody Rh E2 tag E2 tag标签抗体 规格 0.1ml | P19细胞,畸胎癌细胞 人感染HCV肝癌细胞,HuH7-HCV细胞 CL-0224SW579(人甲状腺鳞癌细胞 )5×106cells/瓶×2 |
| Synaptojanin 2: 0酸肌醇0酸酶蛋白I5H抗体 0.2ml | CCD-1095Sk细胞,人浸润性导管癌旁皮肤细胞 鼠肝癌细胞,H22-H8D8细胞 脑成纤维细胞Many types of cells包装:5 × 105次方(1ml) |
| CCDCNL: 卷曲螺旋结构域蛋白NL抗体 0.2ml | 正常大鼠肾细胞;NRK 结肠腺癌细胞,COLO-320细胞 ST细胞,猪细胞系(ST) |
| Rhesus antibody Rh CCL28/MEC 粘膜相关上皮趋化因子28抗体 规格 0.1ml | 人胚胎眼巩膜成纤维细胞;HFSF 人肺大动脉内皮细胞完全培养基 100mL |
| AsAb ELISA Kit 大鼠抗抗体Multi-class antibodies规格: 48T | KLK1 Others Human 人 KLK-1 / Kallikrein-1 人细胞裂解液 (阳性对照) |
| Phospho-FoxO1 (Ser256): 0酸化叉头蛋白家族1抗体 0.1ml | Hela(人细胞) 5×106cells/瓶×2 CL-0426RKO-E6(人结肠癌转基因细胞)5×106cells/瓶×2 人胚肺成纤维细胞;MRC-5 |
| MDA-MB-231 细胞专用培养基P51A: 抑制基因p63α抗体 0.1ml | HA Others H5N1 甲型流感 H5N1 (A/Egypt/2321-NAMRU3/2007) 血凝素 (Hemagglutinin / HA) 人细胞裂解液 (阳性对照) |
| Anti-PI3K/P85 alpha/FITC 荧光素标记0脂酰肌醇激酶抗体IgGMulti-class antibodies规格: 0.2ml | IL1R2 Others Rat 大鼠 IL1R2 / IL1RB / CD121b 人细胞裂解液 (阳性对照) |
| Rat IgG/Cy5.5 荧光素Cy5.5标记大鼠IgG(细胞流式同型对照) 0.1ml | AK2 Others Human 人 AK2 / Adenylate kinase 2 杆状病毒-昆虫细胞裂解液 (阳性对照) |
风险提示:丁香通仅作为第三方平台,为商家信息发布提供平台空间。用户咨询产品时请注意保护个人信息及财产安全,合理判断,谨慎选购商品,商家和用户对交易行为负责。对于医疗器械类产品,请先查证核实企业经营资质和医疗器械产品注册证情况。
文献和实验yu_ting 现在,急需知道MDA-231是P53野生型的还是突变型的?多谢 iscience 我用“MDA-231 p53”在google里面检索了一下,初步得知该细胞株系P53突变型(The human breast cancer cell line MDA-MB-231, which has high levels of a mutant p53...)。 请参考: http://www.ncbi
树突状细胞培养操作步骤 准备补充剂 将补充剂混合物在 15~25℃ 解冻。在无菌条件下用移液枪小心地将补充剂混合物混匀。然后,把补充剂混合物全部加到基础培养基中。盖上瓶子,轻轻混匀直到形成均一的混合物。DC生成培养基所附带的相应的细胞因子组合包含有成分A和B,它们都是以100X 的原液状态运输的。 注意:此时不要将化合物B加入培养基中。 DC基础培养基不带细胞因子,因此使用时必须另外自行添加。 新鲜分离的单核 DC 细胞的传代 对于新鲜分离自外
Bcap-37和MDA-MB-435细胞都是人乳腺癌细胞,培养液用DMEM或1640均可,小牛血清10%就足够,不过感觉435细胞用DMEM长得更旺一些。两种细胞都很好养,Bcap-37可称为是最漂亮的乳腺癌细胞,一个个成排列均匀的瓜子状,形态规则,长得也快,一般1:2传代后2-3天即可长满。435长的较慢,需4-5天。传代常规用0.25%的胰酶消化后用含血清的培养基终止消化,视消化程度而决定是否需要离心,传入新瓶加入培养液即可。需要注意的是传代时的密度,特别是435密度低时很难生长。一般生长
技术资料暂无技术资料 索取技术资料










