相关产品推荐更多 >
万千商家帮你免费找货
0 人在求购买到急需产品
- 详细信息
- 文献和实验
- 技术资料
- 供应商:
上海联祖
- 库存:
26
- 规格:
1*125ml 500ml
| 产品名称 | 规格 | 货号 |
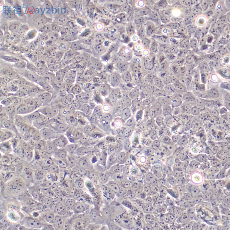
| J.gamma1 细胞专用培养基 | 1*125ml 500ml | LZ-PX10982 |
J.gamma1细胞专用培养基由团队精心优化,经过长期测试,本产品可保持J.gamma1细胞最佳的生长状态。
本产品中已包含 J.gamma1细胞生长所需的各种成分,无需添加任何成分,可直接用于J.gamma1 细胞的培养。
产品主要成分
1640基础培养基 445 ml
特级胎牛血清 50 ml
P/S青霉素-链霉素 5 ml
运输和保存
运输:放置于含有生物冰袋的保温箱中低温运输
保存方法:2℃~8℃,避光,保存2个月;-20℃,避光,保存6个月。
干冰运输及复苏好存活细胞
(1)1mL冻存管包装干冰运输,收到后-80度冰箱保存过夜后转入液氮或直接复苏,若发现干冰已挥发干净、冻存管瓶盖脱落、破损及细胞有污染,请立即与我们联系。
(2)T25瓶复苏的存活细胞常温发货,收到后按照细胞接收后的处理方法操作。
| Anti-HBeAg(1) 人乙肝e抗原抗体(1)Multi-class antibodies规格: 0.1ml | Anti-TSARG3/FITC 荧光素标记生精细胞凋亡相关基因3抗体IgGMulti-class antibodies规格: 0.2ml |
| Anti-Bim(phospho Ser87)/FITC 荧光素标记兔抗人、大、小鼠0酸化细胞死亡调解子抗体IgGMulti-class antibodies规格: 0.2ml | MIF Others Human 人 MIF / GLIF 人细胞裂解液 (阳性对照) |
| ATXN7L3B: 共济失调7样蛋白3B抗体 0.2ml | ACE2 Others Cynomolgus 食蟹猴 ACE2 / Angiotensin-Converting Enzyme 2 人细胞裂解液 (阳性对照) |
| Rhesus antibody Rh ADAMTS10 整合素样金属蛋白酶与凝血酶10型抗体 规格 0.1ml | CD2 Others Rat 大鼠 CD2 人细胞裂解液 (阳性对照) |
| Rhesus antibody Rh IL-17B 白介素-17B抗体 规格 0.1ml | LYZL2 Others Human 人 Lysozyme 2 / LYZL2 杆状病毒-昆虫细胞裂解液 (阳性对照) |
| BRCA1(Breast cancer susceptbility gene 1)(mouse rat) 癌易感基因1抗原(小鼠 大鼠) 0.5mg | 人脑微血管内皮细胞 (HBMEC) ( 5×105 ) 大鼠主动脉平滑肌细胞 细胞名称 |
| MUC7: 粘蛋白7抗体 0.2ml | CD274 Others Human 人 B7-H1 / CD274 / PD-L1 人细胞裂解液 (阳性对照) |
| Pentapeptide-3/Leuphasyl 五胜肽Multi-class antibodies规格: 1g | HUVEC single donor Pellet 人脐静脉内皮细胞团块 > 1 mio.cells 球状少突细胞培养基OsM |
| EBv IgG(Human epstein-barr virus IgG) ELISA Kit 人EB病毒IgGMulti-class antibodies规格: 48T | CTSE Others Mouse 小鼠 CTSE / Cathepsin-E 人细胞裂解液 (阳性对照) |
| HSH2D: HSH2D抗体 0.1ml | J82 人膀胱移行细胞癌 |
| Rhesus antibody Rh FBXO36 FBXO36 F-box蛋白相关蛋白36抗体 规格 0.2ml | 星形细胞培养基SteCM |
| IgG/Alexa Fluor 350 Alexa Fluor 350标记的兔抗小鼠IgG 0.1ml | 大隐静脉平滑肌细胞Many types of cells包装:5 × 105次方(1ml) |
| J.gamma1 细胞专用培养基ProGRP(Human pro-gastrin-releasing peptide) ELISA Kit 人胃泌素释放肽前体 96T | 人晶状体上皮细胞RNAHLEpiC miRNA5 μg |
| Rhesus antibody Rh IgG/Cy3 Cy3标记的兔抗小鼠IgG 规格 0.1ml | 肾皮层上皮细胞Many types of cells包装:5 × 105次方(1ml) |
| Anti-DAT1/FITC 荧光素标记抗多巴胺相关转录因子1抗体IgGMulti-class antibodies规格: 0.2ml | 人恶性多发性畸胎瘤细胞;ERA-2 |
风险提示:丁香通仅作为第三方平台,为商家信息发布提供平台空间。用户咨询产品时请注意保护个人信息及财产安全,合理判断,谨慎选购商品,商家和用户对交易行为负责。对于医疗器械类产品,请先查证核实企业经营资质和医疗器械产品注册证情况。
文献和实验体,后续培养后收集的细胞上清中的外泌体不确定是从细胞分泌的还是血清中来的,影响结果的准确性。 2. 营养:细胞培养是需要一定的营养的,那么如果不加血清,单独只用基础培养基,就会导致细胞处于饥饿状态,严重影响细胞生长,甚至出现吞噬外泌体的现象,影响实验结果。 3. 杂蛋白:去外泌体胎牛血清可以很好地解决 1、2 中涉及的问题,但还会存在杂蛋白影响蛋白定量结果,导致数据偏高,影响后续实验的准确性。如果使用外泌体专用无血清培养基(专门针对外泌体获取的培养基,化学成分明确,类似于完全培养基的一种
细胞划痕实验是一种简单易行的检测细胞运动的方法,实验成本低,可以用来检测贴壁生长肿瘤细胞的侵袭转移能力。划痕实验大家会做,那么如何将这一大批的图片进行实验距离的测定呢?Image J 又要派上用场了,它不仅可以用于分析 DNA 电泳 WB 条带的灰度值、细胞计数、细胞共定位,就连细胞划痕面积一样可以计算!一、划痕实验的实验原理和步骤先简单的回顾下划痕实验的实验原理和实验步骤。1. 实验原理细胞划痕法是测定肿瘤细胞的运动特性的方法之一,是在体外培养的单层细胞上划痕致伤,观察肿瘤细胞的迁移
学任何一个软件,首先当然是了解如何读取、呈现和保存软件处理对象,就像学编程,总要先来一句「Hello,world」一样。对于图像处理软件就是打开图片、获取图片基本信息、对图片进行简单操作,然后保存成所需格式。有了这个基础之后,再去正式学习软件的功能,会事半功倍。Image J 和传统软件不太一样,它把标题栏、菜单栏、工具栏和状态栏集中放在一起,并没有把工作区框起来,而是打开图片之后,以图片悬浮的方式作为各自的工作区。一、打开图像打开图片很简单,跟常规软件一样,File-Open 或快捷
技术资料暂无技术资料 索取技术资料










