相关产品推荐更多 >
万千商家帮你免费找货
0 人在求购买到急需产品
- 详细信息
- 文献和实验
- 技术资料
- 供应商:
上海联祖
- 库存:
50
- 规格:
1*125ml 500ml
| 产品名称 | 规格 | 货号 |
| HOS 细胞专用培养基 | 1*125ml 500ml | LZ-PX10967 |
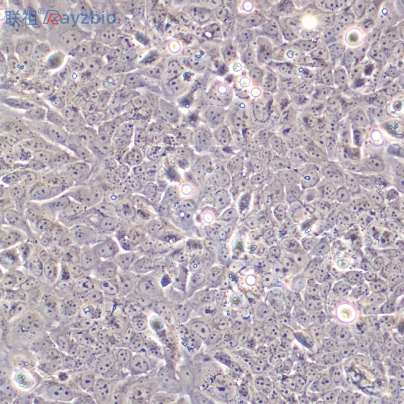
HOS细胞专用培养基由团队精心优化,经过长期测试,本产品可保持HOS细胞最佳的生长状态。
本产品中已包含 HOS 细胞生长所需的各种成分,无需添加任何成分,可直接用于HOS 细胞的培养。
产品主要成分
MEM 基础培养基 440 ml
特级胎牛血清 50 ml
MEM NEAA非必需氨基酸 5 ml
P/S青霉素-链霉素 5 ml
运输和保存
运输:放置于含有生物冰袋的保温箱中低温运输
保存方法:2℃~8℃,避光,保存1个月;-20℃,避光,保存3个月。
干冰运输及复苏好存活细胞
(1)1mL冻存管包装干冰运输,收到后-80度冰箱保存过夜后转入液氮或直接复苏,若发现干冰已挥发干净、冻存管瓶盖脱落、破损及细胞有污染,请立即与我们联系。
(2)T25瓶复苏的存活细胞常温发货,收到后按照细胞接收后的处理方法操作。
| Rhesus antibody Rh MKK3/MK3 原活化蛋白激酶MKK3抗体 规格 0.1ml | phospho-SYN1(Ser62+Ser67): 0酸化神经突触素1抗体 0.1ml |
| CXCR1 (CXC-chemokine receptor 1) 细胞表面趋化因子受体1抗原 0.5mg | mRTEC, 小鼠肾小管上皮细胞 |
| NAIF1 protein: 核凋亡诱导因子蛋白1 0.2ml | 草鱼肾细胞;GIK |
| Anti-TFF3 /FITC 荧光素标记三叶肽因子3抗体IgGMulti-class antibodies规格: 0.2ml | CCL22 Protein Human 重组人 CCL22 / MDC 蛋白 (His 标签) |
| Anti-NHE1 氢通道蛋白抗体Multi-class antibodies规格: 0.2ml | 人骨肉瘤细胞;HOS |
| Anti-Fabp2 /FITC 荧光素标记脂肪酸结合蛋白2抗体IgGMulti-class antibodies规格: 0.2ml | H1299人非小细胞肺癌细胞 H1299 cells in human non small cell lung cancer 1640+10%FBS |
| ADM R: 肾上腺髓质素受体抗体 0.1ml | CGM1细胞,EB病毒转化的B细胞 人结直肠腺癌细胞,LS174T细胞 CM-R029大鼠肠平滑肌细胞完全培养基100mL |
| L-组氨酸脱羧酶抗体 hu, mo, rat, bov, dog, pig, chi Anti-L-HDC 0.1ml | HKC细胞,人胚肾上皮细胞 大鼠肺泡巨噬细胞,NR8383细胞 CL-0381MDA-MB-175VII(人导管癌细胞)5×106cells/瓶×2 |
| NKB ELISA Kit(Ret) 大鼠神经肽B 96T | 杂交瘤(B类);Z51B3C10H12A12G2F7B5 小鼠表皮角质形成细胞完全培养基 100mL |
| Rhesus antibody Rh Sox9a 转录因子sox9a抗体 规格 0.2ml | 大鼠垂体细胞(RPC)(1×106) A549/DDP, 人肺腺癌耐药细胞株 Human |
| Anti-Agrin/FITC 荧光素标记聚集蛋白抗体IgGMulti-class antibodies规格: 0.2ml | SOST Others Human 人 SOST / Sclerostin 人细胞裂解液 (阳性对照) |
| Anti-P27/kip1/Cy5 荧光素Cy5标记P27抗体/周期素依赖激酶抑制剂IgGMulti-class antibodies规格: 0.2ml | C4-2(人前列腺癌细胞) 5×106cells/瓶×2 T-111B木瓜蛋白酶(含100mL酶解缓冲液)10mL 人结直肠腺癌细胞;LS 174T [LS174T] |
| HOS 细胞专用培养基F III (Human coagulation factor III 0 ELISA Kit 人凝血因子ⅢMulti-class antibodies规格: 48T | SEMA5A Others Human 人 SEMA5A / SemaF / Semaphorin-5A 人细胞裂解液 (阳性对照) |
| GLS2: 谷酰胺酰胺水解酶抗体 0.2ml | CDH17 Others Rat 大鼠 Cadherin-17 / LI-cadherin / CDH17 人细胞裂解液 (阳性对照) |
| Rhesus antibody Rh CYP2R1 细胞色素P450 2R1抗体 规格 0.2ml | CSK Others Mouse 小鼠 CSK / C-Src kinase 杆状病毒-昆虫细胞裂解液 (阳性对照) |
风险提示:丁香通仅作为第三方平台,为商家信息发布提供平台空间。用户咨询产品时请注意保护个人信息及财产安全,合理判断,谨慎选购商品,商家和用户对交易行为负责。对于医疗器械类产品,请先查证核实企业经营资质和医疗器械产品注册证情况。
文献和实验相关实验
树突状细胞培养操作步骤 准备补充剂 将补充剂混合物在 15~25℃ 解冻。在无菌条件下用移液枪小心地将补充剂混合物混匀。然后,把补充剂混合物全部加到基础培养基中。盖上瓶子,轻轻混匀直到形成均一的混合物。DC生成培养基所附带的相应的细胞因子组合包含有成分A和B,它们都是以100X 的原液状态运输的。 注意:此时不要将化合物B加入培养基中。 DC基础培养基不带细胞因子,因此使用时必须另外自行添加。 新鲜分离的单核 DC 细胞的传代 对于新鲜分离自外
细胞培养的基本步骤都有哪些?复苏、传代、冻存的基本操作是什么样的?如果你刚刚开始细胞培养实验,想要建立稳定的细胞培养流程,快来听Dr. 赛的讲解吧。
PromoCell MSC分化培养操作步骤 一、向神经细胞分化的操作流程 1、将塑料培养器用纤维连接蛋白包被根据操作手册,用纤维连接蛋白(C-43050)包被合适的组织培养瓶。使用浓度为10μg/ml。2、接种间充质干细胞用MSC生长培养基(C-28010)在用纤维连接蛋白包被过的培养瓶中接种培养,接种密度为4000个/cm2。3、培养间充质干细胞将细胞培养至80%的饱和度,每48小时更换一次培养基。4、诱导间充质干细胞用MSCU经细胞分化培养基(C-28015)诱导培养,用MSC
技术资料暂无技术资料 索取技术资料
HOS 细胞专用培养基
¥3000 - 6900









