相关产品推荐更多 >
万千商家帮你免费找货
0 人在求购买到急需产品
- 详细信息
- 文献和实验
- 技术资料
- 供应商:
上海联祖
- 库存:
52
- 规格:
1*125ml 500ml
| 产品名称 | 规格 | 货号 |
| PC-3 细胞专用培养基 | 1*125ml 500ml | LZ-PX11086 |
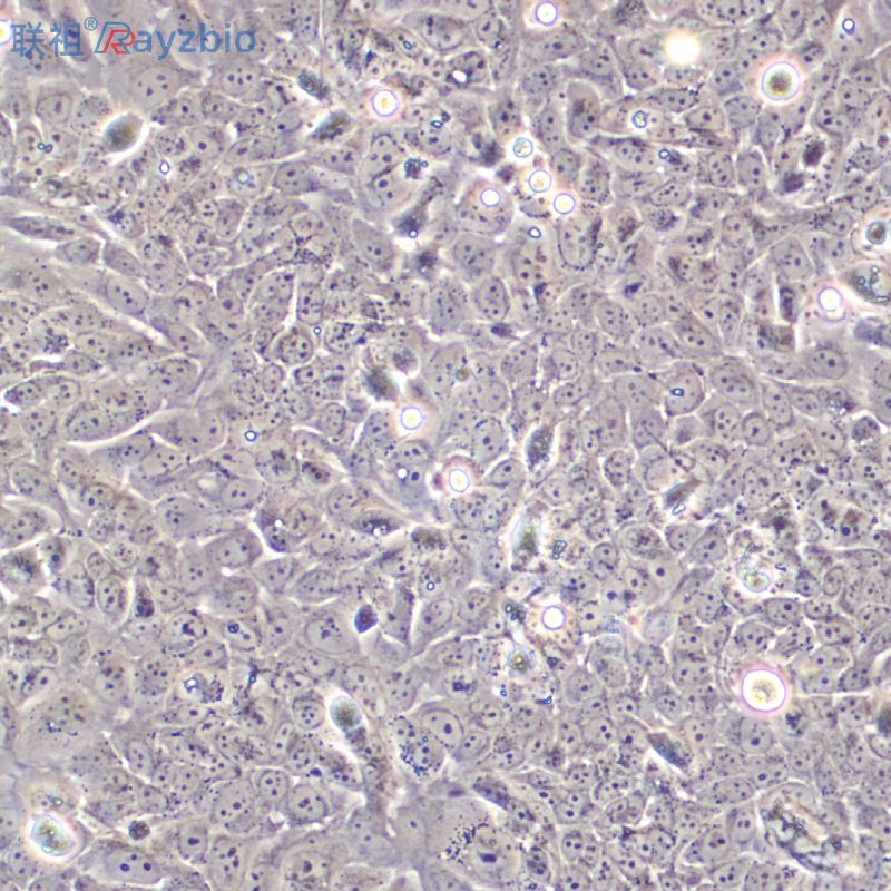
PC-3细胞专用培养基由团队精心优化,经过长期测试,本产品可保持PC-3细胞最佳的生长状态。
本产品中已包含PC-3细胞生长所需的各种成分,无需添加任何成分,可直接用于PC-3细胞的培养。
产品主要成分
F12K 基础培养基 445 ml
特级胎牛血清 50 mL
P/S青霉素-链霉素 5 mL
运输和保存
运输:放置于含有生物冰袋的保温箱中低温运输
保存方法:2℃~8℃,避光,保存2个月;-20℃,避光,保存6个月。
干冰运输及复苏好存活细胞
(1)1mL冻存管包装干冰运输,收到后-80度冰箱保存过夜后转入液氮或直接复苏,若发现干冰已挥发干净、冻存管瓶盖脱落、破损及细胞有污染,请立即与我们联系。
(2)T25瓶复苏的存活细胞常温发货,收到后按照细胞接收后的处理方法操作。
| phospho-RGS19(Ser24): 0酸化G蛋白信号转导调节因子19抗体 0.1ml | GST-Tag protein 重组谷胱甘肽S-转移酶Multi-class antibodies规格: 0.5mg |
| Anti-GLI1/FITC 荧光素标记下游转录因子Gli1蛋白抗体IgGMulti-class antibodies规格: 0.2ml | HBL-100 人整合 SV40基因的上皮细胞 |
| MPO-ANCA IgG ELISA Kit 大鼠髓过氧化物酶特异性抗中性粒细胞胞质抗体IgG 96T | CL-0069COS-7(非洲绿猴SV40转化的肾细胞)5×106cells/瓶×2 |
| Rhesus antibody Rh IgG/Cy5.5 Cy5.5标记的兔抗鸡IgG 规格 0.1ml | 人脐动脉内皮细胞完全培养基 100mL |
| C1orf227: 1号染色体开放阅读框227抗体 0.2ml | 原代平滑肌细胞特制无血清添加剂Many types of cells包装:1ml |
| Rhesus antibody Rh C19orf54 19号染色体开放阅读框54抗体 规格 0.2ml | CM-H052人胎盘绒毛膜细胞完全培养基100mL |
| PDGF-AB(Mouse Platelet-Derived Growth Factor AB) ELISA kit 小鼠血小板衍生生长因子ABMulti-class antibodies规格: 48T | 脐带单核细胞Many types of cells包装:5 × 105次方(1ml) |
| Ferritin: 铁蛋白抗体 0.1ml | CL-0261BC-022(人癌细胞)5×106cells/瓶×2 |
| Anti-p300/KAT3B 转录接头蛋白EP300抗体Multi-class antibodies规格: 0.2ml | 多聚赖氨酸10 mg/mlPLL |
| Anti-CK5/6 /FITC 荧光素标记细胞角蛋白5/6抗体IgGMulti-class antibodies规格: 0.2ml | FLT3LG Protein Mouse 重组小鼠 FLT3L / Flt3 ligand 蛋白 (Fc 标签) |
| AX2R: 膜粘连蛋白2受体抗体 0.2ml | 牛肾细胞;MDBK |
| 原癌基因蛋白/活化蛋白1抗体 Anti-C-jun/AP-1 0.1ml | RT4(人膀胱移行细胞瘤细胞) 5×106cells/瓶×2 |
| PC-3 细胞专用培养基Rhesus antibody Rh HDL/high density lipoprotein 高密度脂蛋白抗体 规格 0.1ml | 人皮肤成纤维样细胞;HSF2 |
| IgG(3D3)/APC APC标记的鼠抗人IgG单克隆抗体 0.1ml | RSC96大鼠雪旺细胞 Schwann cells in RSC96 rats DMEM+10%FBS |
| L-Citrulline: L-瓜酸抗体 0.1ml | Dami细胞,巨核细胞白血病细胞 黑色素瘤,MM96L细胞 人卵巢畸胎瘤细胞;PA-1 |
风险提示:丁香通仅作为第三方平台,为商家信息发布提供平台空间。用户咨询产品时请注意保护个人信息及财产安全,合理判断,谨慎选购商品,商家和用户对交易行为负责。对于医疗器械类产品,请先查证核实企业经营资质和医疗器械产品注册证情况。
文献和实验相关实验
体,后续培养后收集的细胞上清中的外泌体不确定是从细胞分泌的还是血清中来的,影响结果的准确性。 2. 营养:细胞培养是需要一定的营养的,那么如果不加血清,单独只用基础培养基,就会导致细胞处于饥饿状态,严重影响细胞生长,甚至出现吞噬外泌体的现象,影响实验结果。 3. 杂蛋白:去外泌体胎牛血清可以很好地解决 1、2 中涉及的问题,但还会存在杂蛋白影响蛋白定量结果,导致数据偏高,影响后续实验的准确性。如果使用外泌体专用无血清培养基(专门针对外泌体获取的培养基,化学成分明确,类似于完全培养基的一种
树突状细胞培养操作步骤 准备补充剂 将补充剂混合物在 15~25℃ 解冻。在无菌条件下用移液枪小心地将补充剂混合物混匀。然后,把补充剂混合物全部加到基础培养基中。盖上瓶子,轻轻混匀直到形成均一的混合物。DC生成培养基所附带的相应的细胞因子组合包含有成分A和B,它们都是以100X 的原液状态运输的。 注意:此时不要将化合物B加入培养基中。 DC基础培养基不带细胞因子,因此使用时必须另外自行添加。 新鲜分离的单核 DC 细胞的传代 对于新鲜分离自外
细胞培养的基本步骤都有哪些?复苏、传代、冻存的基本操作是什么样的?如果你刚刚开始细胞培养实验,想要建立稳定的细胞培养流程,快来听Dr. 赛的讲解吧。
技术资料暂无技术资料 索取技术资料
PC-3 细胞专用培养基
¥3000 - 6900










