相关产品推荐更多 >
万千商家帮你免费找货
0 人在求购买到急需产品
- 详细信息
- 文献和实验
- 技术资料
- 供应商:
上海联祖
- 库存:
42
- 规格:
1*125ml 500ml
| 产品名称 | 规格 | 货号 |
| COLO320 细胞专用培养基 | 1*125ml 500ml | LZ-PX10881 |
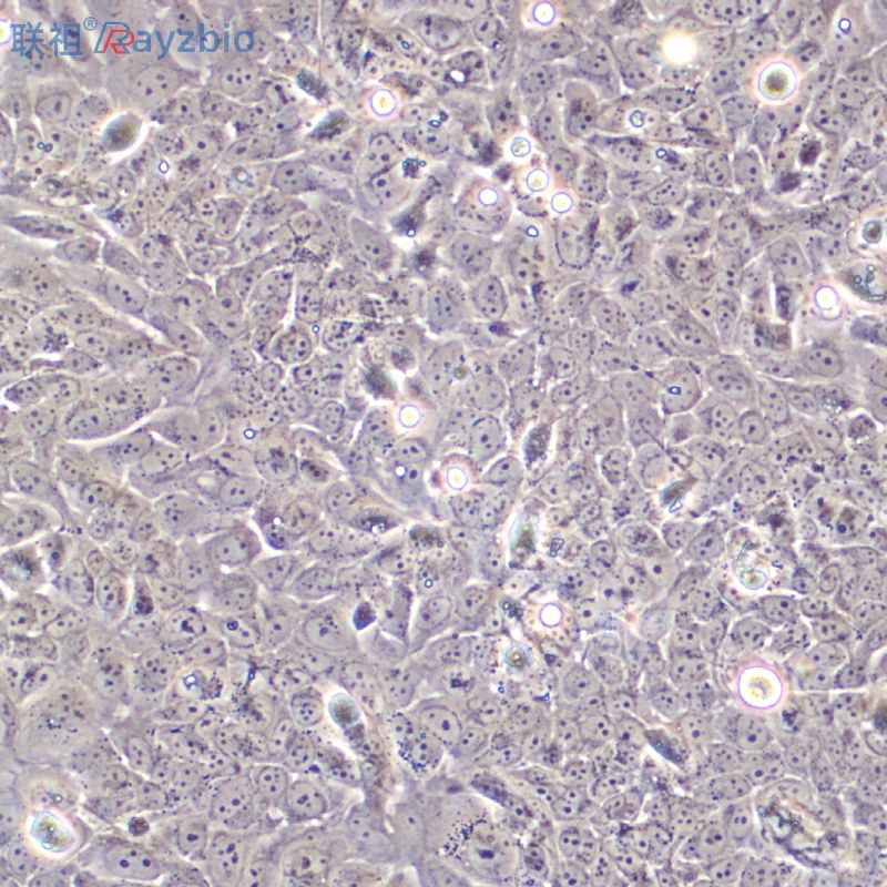
COLO320细胞专用培养基由团队精心优化,经过长期测试,本产品可保持COLO320细胞最佳的生长状态。
本产品中已包含COLO320 细胞生长所需的各种成分,无需添加任何成分,可直接用于COLO320 细胞的培养。
产品主要成分
1640 基础培养基 445 ml
特级胎牛血清 50 mL
P/S青霉素-链霉素 5 mL
运输和保存
运输:放置于含有生物冰袋的保温箱中低温运输
保存方法:2℃~8℃,避光,保存2个月;-20℃,避光,保存6个月。
| Arg(Human Arginase) ELISA Kit 人精酸酶 96T | Rhesus antibody Rh phospho-IGF1R(Tyr1165+Tyr1166) 0酸化胰岛素样生长因子1受体抗体 规格 0.1ml |
| Rhesus antibody Rh TP53I11 蛋白P53诱导蛋白11抗体 规格 0.2ml | SP2/0, 小鼠骨髓瘤细胞 |
| anti-RARRES1/TIG1 视黄酸受体应答蛋白1抗体Multi-class antibodies规格: 0.2ml | CNE(人鼻咽癌细胞) 5×106cells/瓶×2 |
| Anti-MARCO/FITC 荧光素标记巨噬细胞清道夫受体抗体IgGMulti-class antibodies规格: 0.2ml | EFNA2 Protein Mouse 重组小鼠 Ephrin-A2 / EFNA2 蛋白 |
| TR(Human targeted ribonuclease) ELISA Kit 人靶向核糖核酸酶Multi-class antibodies规格: 48T | 人T淋巴细胞白血病细胞;HuT 78 |
| HBLD1: 铁硫簇整合同源物2蛋白抗体 0.2ml | MDCK-EGFP-puro(慢病毒构建稳定株)狗肾上皮细胞 MDCK-EGFP-puro (leiviral consuct stable sains of canine renal epithelial cells) EMEM+10%FBS+1%P/S+2ug/ml puromycin |
| Rhesus antibody Rh DUSP13 双特异性0酸酶13抗体 规格 0.2ml | SW579细胞,人甲状腺癌细胞 人鼻咽癌细胞系,HNE2-LMP1细胞 CL-0363Hs68(人男性正常细胞)5×106cells/瓶×2 |
| Substance P: P物质抗体 0.1ml | SK-OV-3细胞,人卵巢癌细胞 大鼠皮层神经元细胞,RN-c细胞 胃粘膜上皮细胞Many types of cells包装:5 × 105次方(1ml) |
| CCDC120: 卷曲螺旋结构域蛋白120抗体 0.2ml | 大鼠肝癌细胞;RH-35 肝癌细胞,QGY-7701细胞 NIT-1细胞,小鼠胰岛素瘤β细胞(NOD/Lt转基因小鼠SV40巨T抗原) |
| Rhesus antibody Rh CCDC90A 卷曲螺旋结构域蛋白90A抗体 规格 0.2ml | 人永生化表皮细胞;HaCaT 人前列腺上皮细胞完全培养基 100mL |
| M-CSF ELISA Kit 大鼠巨噬细胞集落刺激因子Multi-class antibodies规格: 48T | IL18BP Others Human 人 IL18BPa 人细胞裂解液 (阳性对照) |
| Filensin: 串珠状纤维结构蛋白1抗体 0.2ml | HT-29(人结肠癌细胞) 5×106cells/瓶×2 NCI-N87 [N87]人胃癌细胞 EB病毒转化的人B淋巴细胞;KMYM |
| COLO320 细胞专用培养基PDK4: 酸脱氢酶激酶4抗体 0.1ml | COCH Others Human 人 COCH / Cochlin ( isoform short ) 人细胞裂解液 (阳性对照) |
| Anti-phospho-Akt(Thr450) /FITC 荧光素标记兔抗人、大、小鼠0酸化蛋白激酶B抗体(苏氨酸0酸化位点:450)IgGMulti-class antibodies规格: 0.2ml | TF Others Sus scrofa (Pig) 野猪 ansferrin / TF 人细胞裂解液 (阳性对照) |
| IgG/FITC 荧光素标记猪IgG 0.3ml | PARP3 Others Human 人 PARP-3 / PARP3 杆状病毒-昆虫细胞裂解液 (阳性对照) |
干冰运输及复苏好存活细胞
(1)1mL冻存管包装干冰运输,收到后-80度冰箱保存过夜后转入液氮或直接复苏,若发现干冰已挥发干净、冻存管瓶盖脱落、破损及细胞有污染,请立即与我们联系。
(2)T25瓶复苏的存活细胞常温发货,收到后按照细胞接收后的处理方法操作。
风险提示:丁香通仅作为第三方平台,为商家信息发布提供平台空间。用户咨询产品时请注意保护个人信息及财产安全,合理判断,谨慎选购商品,商家和用户对交易行为负责。对于医疗器械类产品,请先查证核实企业经营资质和医疗器械产品注册证情况。
文献和实验相关实验
体,后续培养后收集的细胞上清中的外泌体不确定是从细胞分泌的还是血清中来的,影响结果的准确性。 2. 营养:细胞培养是需要一定的营养的,那么如果不加血清,单独只用基础培养基,就会导致细胞处于饥饿状态,严重影响细胞生长,甚至出现吞噬外泌体的现象,影响实验结果。 3. 杂蛋白:去外泌体胎牛血清可以很好地解决 1、2 中涉及的问题,但还会存在杂蛋白影响蛋白定量结果,导致数据偏高,影响后续实验的准确性。如果使用外泌体专用无血清培养基(专门针对外泌体获取的培养基,化学成分明确,类似于完全培养基的一种
树突状细胞培养操作步骤 准备补充剂 将补充剂混合物在 15~25℃ 解冻。在无菌条件下用移液枪小心地将补充剂混合物混匀。然后,把补充剂混合物全部加到基础培养基中。盖上瓶子,轻轻混匀直到形成均一的混合物。DC生成培养基所附带的相应的细胞因子组合包含有成分A和B,它们都是以100X 的原液状态运输的。 注意:此时不要将化合物B加入培养基中。 DC基础培养基不带细胞因子,因此使用时必须另外自行添加。 新鲜分离的单核 DC 细胞的传代 对于新鲜分离自外
细胞培养的基本步骤都有哪些?复苏、传代、冻存的基本操作是什么样的?如果你刚刚开始细胞培养实验,想要建立稳定的细胞培养流程,快来听Dr. 赛的讲解吧。
技术资料暂无技术资料 索取技术资料
COLO320 细胞专用培养基
¥3000 - 6900










