相关产品推荐更多 >
万千商家帮你免费找货
0 人在求购买到急需产品
- 详细信息
- 文献和实验
- 技术资料
- 供应商:
上海联祖
- 库存:
27
- 规格:
1*100ml 500ml
| 产品名称 | 规格 | 货号 |
| 羊子宫内膜上皮细胞永生化 细胞专用培养基 | 1*100ml 500ml | LZ-PX10790 |
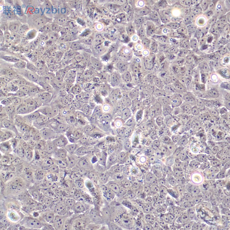
羊子宫内膜上皮细胞永生化 细胞专用培养基由团队精心优化,经过长期测试,本产品可保持羊子宫内膜上皮细胞永生化 细胞最佳的生长状态。本产品中已包含 羊子宫内膜上皮细胞永生化 细胞生长所需的各种成分,无需添加任何成分,可直接用于羊子宫内膜上皮细胞永生化 细胞的培养。
上皮细胞培养体系 500 mL
产品主要成分
上皮细胞基础培养基 480 mL
上皮细胞培养添加剂 5 mL
特级胎牛血清 10 mL
P/S青霉素-链霉素 5 mL
运输和保存
运输:放置于含有生物冰袋的保温箱中低温运输
保存方法:2℃~8℃,避光,保存2个月;-20℃,避光,保存6个月。
干冰运输及复苏好存活细胞
(1)1mL冻存管包装干冰运输,收到后-80度冰箱保存过夜后转入液氮或直接复苏,若发现干冰已挥发干净、冻存管瓶盖脱落、破损及细胞有污染,请立即与我们联系。
(2)T25瓶复苏的存活细胞常温发货,收到后按照细胞接收后的处理方法操作。
| EK(Human epidermal keratin) ELISA Kit 人表皮角蛋白Multi-class antibodies规格: 48T | EWSR1: 尤文氏肉瘤相关EWS蛋白抗体 0.2ml |
| IRF6: 干扰素调节因子6抗体 0.1ml | 人癌细胞;MDA-MB-453 人角膜成纤维细胞完全培养基 100mL |
| Rhesus antibody Rh GLUT12 葡萄糖转运蛋白12抗体 规格 0.2ml | PTPRC Others Human 人 CD45 人细胞裂解液 (阳性对照) |
| IgM/PE-CY5 PE-CY5标记的兔抗IgM 0.1ml | Y1(Y-1) (小鼠肾上腺皮质细胞) 5×106cells/瓶×2 小鼠淋巴细胞白血病;L1210 |
| SLA(Human Proteinase 3 Antibody) ELISA Kit 人抗肝可溶性抗原抗体 96T | SERPINF1 Others Human 人 SerpinF1 / SERPINF1 / PEDF 人细胞裂解液 (阳性对照) |
| Rhesus antibody Rh RNF180 环指蛋白180抗体 规格 0.2ml | VSTM1 Others Human 人 VSTM1 人细胞裂解液 (阳性对照) |
| Anti-CD45/RBITC 红色荧光素罗丹明标记CD45抗体 IgGMulti-class antibodies规格: 0.2ml | SERPINB2 Others Human 人 SerpinB2 / PAI-2 杆状病毒-昆虫细胞裂解液 (阳性对照) |
| Anti-TGF- Beta1/FITC 荧光素标记TGF-β1抗体IgG(标记抗体)Multi-class antibodies规格: 0.2ml | CSF2RB Others Rat 大鼠 CD131 / CSF2RB / IL3RB / IL5RB 人细胞裂解液 (阳性对照) |
| PPP2R3A: 蛋白质0酸酶2调节亚基3A抗体 0.2ml | APCDD1 Others Human 人 APCDD1 人细胞裂解液 (阳性对照) |
| Anti-phospho JAK2(Tyr1007+Tyr1008)/FITC 荧光素标记0酸化蛋白酪氨酸激酶JAK-2抗体IgGMulti-class antibodies规格: 0.2ml | 人膀胱癌细胞;5637(HTB-9) |
| BAFF-R(Human B cell activation factorr from the tumor necrosis factor family receptor) ELISA Kit 人B细胞活化因子受体 96T | 高背鲫鱼尾鳍细胞;GBJd |
| Rhesus antibody Rh phospho-VEGF receptor 2(Tyr1214) 0酸化血管内皮生长因子受体2抗体 规格 0.1ml | EB病毒转化的人B淋巴细胞;KMY0911 |
| 羊子宫内膜上皮细胞永生化 细胞专用培养基Phospho-BRCA1 (Ser1524): 0酸化癌易感基因1抗体 0.1ml | CL-0194RF/6A(猴视网膜血管内皮细胞)5×106cells/瓶×2 |
| Rhesus antibody Rh ARRDC3 抑制蛋白结构域蛋白3抗体 规格 0.2ml | 大鼠脑静脉血管平滑肌细胞完全培养基 100mL |
| Phaseolus vulgaris agglutinin,PHA ELISA Kit 菜豆凝集素Multi-class antibodies规格: 48T | 叙利亚仓鼠肌肉细胞;GH-M1 |
风险提示:丁香通仅作为第三方平台,为商家信息发布提供平台空间。用户咨询产品时请注意保护个人信息及财产安全,合理判断,谨慎选购商品,商家和用户对交易行为负责。对于医疗器械类产品,请先查证核实企业经营资质和医疗器械产品注册证情况。
文献和实验相关实验
体,后续培养后收集的细胞上清中的外泌体不确定是从细胞分泌的还是血清中来的,影响结果的准确性。 2. 营养:细胞培养是需要一定的营养的,那么如果不加血清,单独只用基础培养基,就会导致细胞处于饥饿状态,严重影响细胞生长,甚至出现吞噬外泌体的现象,影响实验结果。 3. 杂蛋白:去外泌体胎牛血清可以很好地解决 1、2 中涉及的问题,但还会存在杂蛋白影响蛋白定量结果,导致数据偏高,影响后续实验的准确性。如果使用外泌体专用无血清培养基(专门针对外泌体获取的培养基,化学成分明确,类似于完全培养基的一种
树突状细胞培养操作步骤 准备补充剂 将补充剂混合物在 15~25℃ 解冻。在无菌条件下用移液枪小心地将补充剂混合物混匀。然后,把补充剂混合物全部加到基础培养基中。盖上瓶子,轻轻混匀直到形成均一的混合物。DC生成培养基所附带的相应的细胞因子组合包含有成分A和B,它们都是以100X 的原液状态运输的。 注意:此时不要将化合物B加入培养基中。 DC基础培养基不带细胞因子,因此使用时必须另外自行添加。 新鲜分离的单核 DC 细胞的传代 对于新鲜分离自外
细胞培养的基本步骤都有哪些?复苏、传代、冻存的基本操作是什么样的?如果你刚刚开始细胞培养实验,想要建立稳定的细胞培养流程,快来听Dr. 赛的讲解吧。
技术资料暂无技术资料 索取技术资料
羊子宫内膜上皮细胞永生化 细胞专用培养基
¥3000 - 6900










