相关产品推荐更多 >
万千商家帮你免费找货
0 人在求购买到急需产品
- 详细信息
- 文献和实验
- 技术资料
- 供应商:
上海联祖
- 库存:
27
- 规格:
1*125ml 500ml
| 产品名称 | 规格 | 货号 |
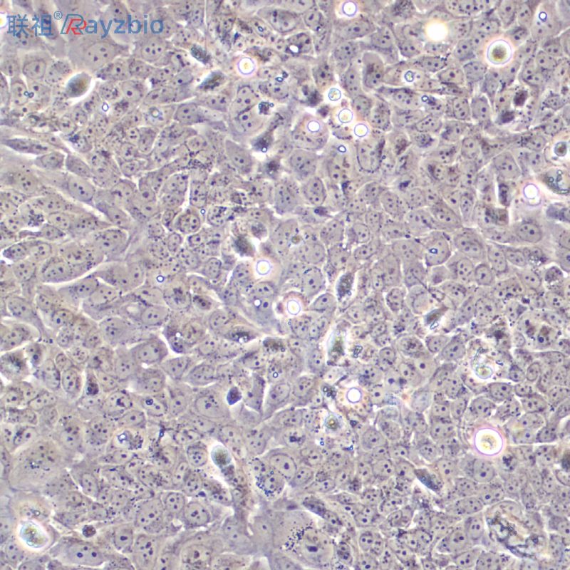
| MHCC-97H+luc 细胞专用培养基 | 1*125ml 500ml | LZ-PX10674 |
MHCC-97H细胞专用培养基由团队精心优化,经过长期测试,本产品可保持MHCC-97H细胞最佳的生长状态。
本产品中已包含 MHCC-97H细胞生长所需的各种成分,无需添加任何成分,可直接用于MHCC-97H 细胞的培养。
产品主要成分
DMEM 基础培养基 445 ml
特级胎牛血清 50 ml
P/S青霉素-链霉素 5 ml
运输和保存
运输:放置于含有生物冰袋的保温箱中低温运输
保存方法:2℃~8℃,避光,保存2个月;-20℃,避光,保存6个月。
| PAL(Human L-Phenylalanine ammonla-lyase) ELISA Kit 人L苯解酶 96T | Rhesus antibody Rh phospho-HMGN1(Ser20+Ser24) 0酸化高迁移率核小体结合蛋白1 规格 0.1ml |
| Rhesus antibody Rh TNFAIP2 坏死因子诱导蛋白2(TNFα-IP 2)抗体 规格 0.2ml | 人心脏成纤维细胞cDNAHCF cDNA |
| Anti-TNK1 非受体型酪氨酸蛋白激酶Tnk1抗体Multi-class antibodies规格: 0.2ml | 人成骨肉瘤细胞;MG-63 |
| Anti-phospho-MK1 (Thr286) /FITC 荧光素标记0酸化原活化蛋白激酶激酶1抗体IgGMulti-class antibodies规格: 0.2ml | 小鼠神经母细胞瘤细胞;Neuro-2a [N2a; Neuro-2a] |
| MLCK(Human myosin light chain kinase) ELISA Kit 人肌球蛋白轻链激酶Multi-class antibodies规格: 48T | CM-H055人卵巢上皮细胞完全培养基100mL |
| DTSF: 肝素结合性表皮生长因子抗体 0.1ml | 小鼠小肠平滑肌细胞完全培养基 100mL |
| Rhesus antibody Rh DPP6 二肽基肽酶6抗体 规格 0.2ml | 293来源病毒包装细胞;ΦA |
| SSX5: 滑膜肉瘤X断点蛋白5抗体 0.2ml | EB病毒转化的人B淋巴细胞;HH-16 |
| Alpha chimerin: α1-chimaerin蛋白抗体 0.2ml | 小鼠髋动脉内皮细胞;PIEC |
| Rhesus antibody Rh CCDC38 卷曲螺旋结构域蛋白38抗体 规格 0.2ml | RKO-E6人结肠癌转基因细胞 Human colon cancer RKO-E6 ansgenic cells MEM培养基(GIBCO)+10%FBS |
| PLAUR/uPAR ELISA Kit 大鼠尿激酶型纤溶酶原激活物受体Multi-class antibodies规格: 48T | NCI-H1755[H1755]细胞,人肺癌细胞 人胚肺成纤维细胞,HELF细胞 卵巢上皮细胞Many types of cells包装:5 × 105次方(1ml) |
| FDFT1: 法尼基二0酸法尼基转移酶1/鲨烯合成酶抗体 0.2ml | CHMAS细胞,人肥大细胞白血病细胞 小鼠结肠癌细胞,CT26.WT[CT26WT]细胞 支气管上皮细胞生长添加物BEpiCGS |
| MHCC-97H+luc 细胞专用培养基PDE4A: 0酸二酯酶4A抗体 0.1ml | 豚鼠源细胞 猫肾细胞,F81细胞 FDC-P1细胞,小鼠骨髓细胞 |
| Anti-PMS2/FITC 荧光素标记错配修复基因PMS2抗体IgGMulti-class antibodies规格: 0.2ml | 成纤维细胞生长因子 |
| 2,4-D/BSA 2,4-二氯苯氧乙酸偶联血清白蛋白 1mg | 小鼠淋巴瘤细胞(NK靶细胞);YAC-1 |
干冰运输及复苏好存活细胞
(1)1mL冻存管包装干冰运输,收到后-80度冰箱保存过夜后转入液氮或直接复苏,若发现干冰已挥发干净、冻存管瓶盖脱落、破损及细胞有污染,请立即与我们联系。
(2)T25瓶复苏的存活细胞常温发货,收到后按照细胞接收后的处理方法操作。
风险提示:丁香通仅作为第三方平台,为商家信息发布提供平台空间。用户咨询产品时请注意保护个人信息及财产安全,合理判断,谨慎选购商品,商家和用户对交易行为负责。对于医疗器械类产品,请先查证核实企业经营资质和医疗器械产品注册证情况。
文献和实验相关实验
树突状细胞培养操作步骤 准备补充剂 将补充剂混合物在 15~25℃ 解冻。在无菌条件下用移液枪小心地将补充剂混合物混匀。然后,把补充剂混合物全部加到基础培养基中。盖上瓶子,轻轻混匀直到形成均一的混合物。DC生成培养基所附带的相应的细胞因子组合包含有成分A和B,它们都是以100X 的原液状态运输的。 注意:此时不要将化合物B加入培养基中。 DC基础培养基不带细胞因子,因此使用时必须另外自行添加。 新鲜分离的单核 DC 细胞的传代 对于新鲜分离自外
细胞培养的基本步骤都有哪些?复苏、传代、冻存的基本操作是什么样的?如果你刚刚开始细胞培养实验,想要建立稳定的细胞培养流程,快来听Dr. 赛的讲解吧。
PromoCell MSC分化培养操作步骤 一、向神经细胞分化的操作流程 1、将塑料培养器用纤维连接蛋白包被根据操作手册,用纤维连接蛋白(C-43050)包被合适的组织培养瓶。使用浓度为10μg/ml。2、接种间充质干细胞用MSC生长培养基(C-28010)在用纤维连接蛋白包被过的培养瓶中接种培养,接种密度为4000个/cm2。3、培养间充质干细胞将细胞培养至80%的饱和度,每48小时更换一次培养基。4、诱导间充质干细胞用MSCU经细胞分化培养基(C-28015)诱导培养,用MSC
技术资料暂无技术资料 索取技术资料
MHCC-97H+luc 细胞专用培养基
¥3000 - 6900









