万千商家帮你免费找货
0 人在求购买到急需产品
- 详细信息
- 文献和实验
- 技术资料
- 供应商:
上海联祖
- 库存:
25
- 生长状态:
贴壁生长
- 是否是肿瘤细胞:
否
- 规格:
T25培养瓶
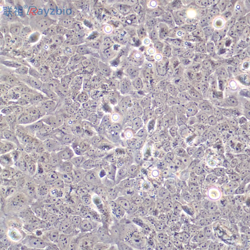
| 细胞名称 | 小鼠卵巢间质细胞 |
| 货号 | LZ-YX10190 |
| 规格 | T25培养瓶 |
| 培养条件 | 温度:37℃ |
| 种属 | 小鼠原代细胞 |
| 运输 | 常温 |
公司正在出售的产品:
| EFNA2 Protein Mouse 重组小鼠 Ephrin-A2 / EFNA2 蛋白 (His 标签) | SK-RC-42细胞,人肾癌细胞 鼠肝癌细胞系,MM45T.Li细胞 人间充质干细胞-脐带 |
| KLRC1 Others Cynomolgus 食蟹猴 NKG2A / NKG2 / CD159A / KLRC1 人细胞裂解液 (阳性对照) | 酸化荷尔蒙敏感脂肪酶抗体 |
| HuH-7人肝癌细胞 前列腺癌细胞,LNCa细胞 MDA-MB-435S(癌细胞) | 肿瘤抑制蛋白抗体 |
| NCI-H226(人肺鳞癌细胞) 5×106cells/瓶×2 | 酸化细胞凋亡信号调节激酶1抗体 |
| SK-MEL-1, 人皮肤黑色素瘤细胞 | 转录中介因子Tif1β抗体 |
| 人软骨细胞HC-a | 酸化帕金蛋白抗体 |
| SV40转染人成骨细胞;hFOB 1.19 | 猪圆环Ⅱ型衣壳蛋白 |
| H125 人肺癌细胞 | 酸化脂肪细胞型脂肪酸结合蛋白 |
| 大鼠肝细胞瘤;H-4-II-E | 酸化荷尔蒙敏感脂肪酶抗体 |
| 人结膜成纤维细胞RNAHConF miRNA5 μg | 肿瘤抑制蛋白抗体 |
| CD40LG Protein Mouse 重组小鼠 CD40L / CD154 / TNFSF5 蛋白 (Fc 标签) | 酸化细胞凋亡信号调节激酶1抗体 |
| DLD-1人结直肠腺癌上皮细胞 DLD-1 human colorectal cancer cell line 1640+10% FBS | 转录中介因子Tif1β抗体 |
| 小鼠卵巢间质细胞K-562(人慢性骨髓性白血病细胞) 5×106cells/瓶×2 | 酸化帕金蛋白抗体 |
| HepG2.2.1.5细胞,人肝癌细胞 人星形胶质瘤细胞,U251细胞 大鼠肾系膜细胞;RMC | 猪圆环Ⅱ型衣壳蛋白 |
| HEL(人红白细胞白血病细胞) 5×106cells/瓶×2 | 酸化脂肪细胞型脂肪酸结合蛋白 |
注意事项:
1.收到细胞后,若发现干冰已挥发干净、冻存管瓶盖脱落、破损及细胞有污染,请立即与我们系。
2.收到细胞先不开瓶盖,瓶身擦拭酒精后放在培养箱静置2-4小时(视细胞密度而定)稳定细胞状态。接着在倒置显微镜下观察细胞生长情况,并对细胞进行不同倍数拍照(建议收细胞时就整体外观拍一张照片,观察培养基的颜色和是否有漏液情况,随后在显微镜下拍下细胞状态,100*,200*各一张),观察记录细胞在运输过程中是否有污染情况。作为我方进行销售依据。
3.由于细胞状态受环境、操作和运输等多方面因素影响,故本公司只保证客户收到细胞后一周内的细胞状态,故客户需要售后时需出示收到细胞的时间证明及客户提供收货时间和发现问题后客服人员沟通的时间证明,期间间隔时间不能大于7天。
4.所有动物细胞均视为有潜在的生物危害性,必须在二级生物安全台内操作,并请注意防护,所有废液及接触过此细胞的器皿需要灭菌后方能丢弃。
5.客户在细胞培养过程中任何问题可联系我们在线客服,我们随时给予解答。
风险提示:丁香通仅作为第三方平台,为商家信息发布提供平台空间。用户咨询产品时请注意保护个人信息及财产安全,合理判断,谨慎选购商品,商家和用户对交易行为负责。对于医疗器械类产品,请先查证核实企业经营资质和医疗器械产品注册证情况。
文献和实验培养基清洗角膜基质一次; 9. 用手术刀或安全刀片或精细手术剪将基质剪碎成2mm左右的小块; 10. 用DMEM/F12/2FB/GASP配制的胶原酶37℃消化3h,直至大多数组织消失; 11. 400g离心10min,弃上清; 12. 用DMEM/F12/2FB/GASP重悬细胞,用70μm细胞滤网过滤消化液,并离心; 13. 重复上述清洗步骤2遍,每遍之后细胞计数; 14. 用MJM将分离出的间质细胞重悬并以1×104/cm2的密度接种至塑料组织培养皿; 15. 每三天更换一次
【求助】用survivin引物扩增小鼠卵巢的总cDNA,却扩出了两条条带
zhang184369688 用survivin引物扩增小鼠卵巢的总cDNA,却扩出了两条条带,而且目的条带不如新出现的条带明显,这是为什么呢?请大侠给予指导! 小么小小子 你好,您扩的条带是多大的呢,出现的新条带又是多大的呢~ 小么小小子 因为我也碰到了这个问题,虽然您帖子有点久了,最后您解决没有呢 zhang184369688 我觉得是杂带
小鼠 卵巢癌标记物CA125 酶联免疫 分析( ELISA ) 试剂 盒使用说明书 本试剂仅供研究使用 目的:本试剂盒用于测定小鼠血清,血浆及相关液体样本中 卵巢癌标记物CA125 的 含量。 实验原理 : 本试剂盒应用双抗体夹心法测定 标本 中 小鼠 卵巢癌标记物CA125 水平。用纯化的 小鼠 卵巢癌标记物CA125 抗体包被微孔板,制成固相抗体,往包被单抗的微孔中依次加入 卵巢癌标记物CA125 ,再与HRP 标记的 卵巢癌标记
技术资料暂无技术资料 索取技术资料










