万千商家帮你免费找货
0 人在求购买到急需产品
- 详细信息
- 文献和实验
- 技术资料
- 供应商:
上海联祖
- 库存:
49
- 生长状态:
贴壁生长
- 是否是肿瘤细胞:
否
- 规格:
T25培养瓶
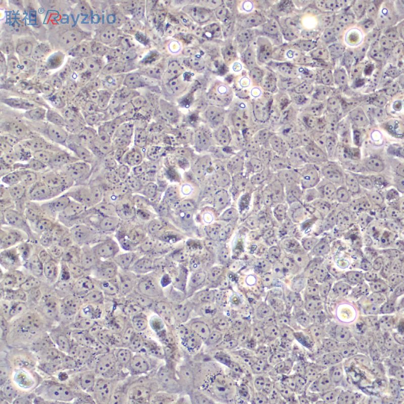
| 细胞名称 | 小鼠腹腔主动脉内皮细胞 |
| 货号 | LZ-YX10139 |
| 规格 | T25培养瓶 |
| 培养条件 | 温度:37℃ |
| 种属 | 小鼠原代细胞 |
| 运输 | 常温 |
公司正在出售的产品:
| TNFSF4 Others Cynomolgus 食蟹猴 OX-40L / TNFSF4 人细胞裂解液 (阳性对照) | 小鼠T淋巴细胞;Cl.Ly1+2-/9 |
| CRFK(猫肾细胞) 5×106cells/瓶×2 | 胶浆成熟因子γ/GMF-γ抗体 |
| 人APP-PS1(M146L)双基因转染CHO细胞株;7WML6.0 | 腺相关病毒5 VP1抗体 |
| Spike Others MERS-CoV 中东呼吸综合征 MERS-CoV (HCoV-EMC/2012) Spike Protein S1 (aa 1-725) 人细胞裂解液 (阳性对照) | 肌侧索硬化症相关蛋白FGGY抗体 |
| TE-1人食管癌细胞 Human esophageal cancer cell line TE-1. RPMI-1640(GIBCO)+10%FBS | 腺苷酸环化酶1抗体 |
| ACVR2A Others Mouse 小鼠 ACVR2A / AcIIa 人细胞裂解液 (阳性对照) | 精神发育迟滞相关蛋白抗体 |
| RSPO1 Others Mouse 小鼠 R-Spondin 1 / RSPO1 CHO细胞裂解液 (阳性对照) | 自噬相关蛋白18抗体 |
| U14-GFP(小鼠子细胞) 5×106cells/瓶×2 SW 1088[SW-1088; SW1088](人脑星型胶质瘤细胞) | 岩藻糖基转移酶6抗体 |
| 人癌细胞;MDA-MB-231 人视网膜色素上皮细胞完全培养基 100mL | 胶浆成熟因子γ/GMF-γ抗体 |
| OP9(小鼠骨髓基质细胞) 5×106cells/瓶×2 人 CD8B / P37 / LEU2 人细胞裂解液 (阳性对照) | 腺相关病毒5 VP1抗体 |
| CRP Others Human 人 CRP / C-Reactive Protein 人细胞裂解液 (阳性对照) | 肌侧索硬化症相关蛋白FGGY抗体 |
| CM-R121大鼠角膜内皮细胞完全培养基100mL | 腺苷酸环化酶1抗体 |
| 小鼠腹腔主动脉内皮细胞SELP Others Cynomolgus 食蟹猴 / 恒河猴 SELP / selectin P / P-selectin 人细胞裂解液 (阳性对照) | 精神发育迟滞相关蛋白抗体 |
| 人肺泡上皮细胞cDNAHPAEpiC cDNA | 自噬相关蛋白18抗体 |
| EPHB1 Others Human 人 EphB1 / EPHT2 (aa 565-984) 杆状病毒-昆虫细胞裂解液 (阳性对照) | 岩藻糖基转移酶6抗体 |
注意事项:
1.收到细胞后,若发现干冰已挥发干净、冻存管瓶盖脱落、破损及细胞有污染,请立即与我们系。
2.收到细胞先不开瓶盖,瓶身擦拭酒精后放在培养箱静置2-4小时(视细胞密度而定)稳定细胞状态。接着在倒置显微镜下观察细胞生长情况,并对细胞进行不同倍数拍照(建议收细胞时就整体外观拍一张照片,观察培养基的颜色和是否有漏液情况,随后在显微镜下拍下细胞状态,100*,200*各一张),观察记录细胞在运输过程中是否有污染情况。作为我方进行销售依据。
3.由于细胞状态受环境、操作和运输等多方面因素影响,故本公司只保证客户收到细胞后一周内的细胞状态,故客户需要售后时需出示收到细胞的时间证明及客户提供收货时间和发现问题后客服人员沟通的时间证明,期间间隔时间不能大于7天。
4.所有动物细胞均视为有潜在的生物危害性,必须在二级生物安全台内操作,并请注意防护,所有废液及接触过此细胞的器皿需要灭菌后方能丢弃。
5.客户在细胞培养过程中任何问题可联系我们在线客服,我们随时给予解答。
风险提示:丁香通仅作为第三方平台,为商家信息发布提供平台空间。用户咨询产品时请注意保护个人信息及财产安全,合理判断,谨慎选购商品,商家和用户对交易行为负责。对于医疗器械类产品,请先查证核实企业经营资质和医疗器械产品注册证情况。
文献和实验酶消化传代。 5、内皮细胞鉴定:相差显微镜下,细胞呈单层铺路石状;免疫组化证明有vWF相关抗原存在。 6、注意事项:将分离出来的主动脉热处理时温度以60℃2秒为宜,太低则成纤维细胞多,太高或时间久则内皮细胞迁出减少。
实验材料: 1. 正常大兔主动脉; 2. 不含Ca2+ 和Mg2+ 的1×PBS,添加200000IU/L青霉素、200mg/L链霉素,pH7.2; 3. 培养用液:M199培养液(含20%小牛血清);0.125%胰蛋白酶-0.01%EDTA(1:1,V:V)混合消化液;D-Hanks液、100IU/ml青霉素和100μg/ml链霉素; 4. 培养器具:培养瓶或皿、白内障、眼科剪、镊子等; 培养方法: 1. 将动物主动脉取出
实验材料: 1. 大鼠主动脉血管; 2. 不含Ca2+ 和Mg2+ 的1×PBS,添加200000IU/L青霉素、200mg/L链霉素,pH7.2; 3. 培养用液:M199培养液或RPMI1640培养液(含20%小牛血清,pH7.2);0.125%胰蛋白酶-0.01%EDTA(1:1,V:V)混合消化液;D-Hanks液、100IU/ml青霉素和100μg/ml链霉素;1%明胶溶液; 4. 培养器具:培养瓶或皿、白内障、眼科剪、镊子等; 培养方法: 1. 将大鼠
技术资料暂无技术资料 索取技术资料










