万千商家帮你免费找货
0 人在求购买到急需产品
- 详细信息
- 文献和实验
- 技术资料
- 供应商:
上海联祖
- 库存:
49
- 生长状态:
贴壁生长
- 是否是肿瘤细胞:
否
- 规格:
T25培养瓶
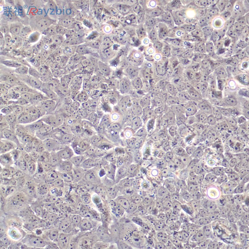
| 细胞名称 | 大鼠主动脉弓内皮细胞 |
| 货号 | LZ-YX9982 |
| 规格 | T25培养瓶 |
| 培养条件 | 温度:37℃ |
| 种属 | 大鼠原代细胞 |
| 运输 | 常温 |
公司正在出售的产品:
| IFNA8 Others Human 人 Ierferon alpha-B / IFNA8 人细胞裂解液 (阳性对照) | 输尿管上皮细胞Many types of cells包装:5 × 105次方(1ml) |
| EFNA5 Protein Rat 重组大鼠 Ephrin-A5 / EFNA5 蛋白 (Fc 标签) | 多形性腺瘤基因样蛋白2抗体 |
| 人表皮黑色素细胞-HEM-a | 酸化碱性成纤维细胞生长因子受体1抗体 |
| DUSP3 Others Human 人 DUSP3 / VHR 杆状病毒-昆虫细胞裂解液 (阳性对照) | KB抑制蛋白激酶α/IκBα/IKK-α/IKKα/I-κB-α 抗体 |
| M4e细胞,人喉癌细胞 人脑胶质细胞株(正常),HEB细胞 中国仓鼠卵巢细胞(亚系克隆);CHO-HCV-NS5A | 染色体修饰蛋白1抗体(金属蛋白酶1) |
| T/G HA-VSMC(人血管平滑肌细胞) 5×106cells/瓶×2 B16(小鼠黑色素瘤细胞) | 金属硫蛋白3抗体 |
| GPR37 Others Human 人 GPR37 人细胞裂解液 (阳性对照) | 7号染色体开放阅读框61抗体 |
| T/G HA-VSMC(人血管平滑肌细胞) 5×106cells/瓶×2 B16(小鼠黑色素瘤细胞) | G蛋白偶联受体64抗体 |
| EM2 Others Mouse 小鼠 EM2 人细胞裂解液 (阳性对照) | 乳腺癌易感基因环状结构域蛋白抗体 |
| 人浸润性导管癌旁皮肤细胞;CCD-1095Sk 人成纤维细胞完全培养基 100mL | 神经纤毛蛋白2抗体 |
| CDH8 Others Rat 大鼠 Cadherin-8 / CDH8 人细胞裂解液 (阳性对照) | 结肠直肠癌缺失基因抗体 |
| CM-M060小鼠肾动脉内皮细胞完全培养基100mL | HEAT重复内含蛋白5A蛋白抗体 |
| 大鼠主动脉弓内皮细胞DAPK1 Others Human 人 DAPK1 / DAP Kinase 1 (aa 1-363) 杆状病毒-昆虫细胞裂解液 (阳性对照) | 1号染色体开放阅读框168抗体 |
| 人表皮黑色素细胞-HEM-a | LRSAM1蛋白抗体 |
| CREB3L1 Others Human 人 CREB3L1 / OASIS (aa 396-519) 人细胞裂解液 (阳性对照) | 细胞质脆性X智力低下蛋白结合蛋白2抗体 |
注意事项:
1.收到细胞后,若发现干冰已挥发干净、冻存管瓶盖脱落、破损及细胞有污染,请立即与我们系。
2.收到细胞先不开瓶盖,瓶身擦拭酒精后放在培养箱静置2-4小时(视细胞密度而定)稳定细胞状态。接着在倒置显微镜下观察细胞生长情况,并对细胞进行不同倍数拍照(建议收细胞时就整体外观拍一张照片,观察培养基的颜色和是否有漏液情况,随后在显微镜下拍下细胞状态,100*,200*各一张),观察记录细胞在运输过程中是否有污染情况。作为我方进行销售依据。
3.由于细胞状态受环境、操作和运输等多方面因素影响,故本公司只保证客户收到细胞后一周内的细胞状态,故客户需要售后时需出示收到细胞的时间证明及客户提供收货时间和发现问题后客服人员沟通的时间证明,期间间隔时间不能大于7天。
4.所有动物细胞均视为有潜在的生物危害性,必须在二级生物安全台内操作,并请注意防护,所有废液及接触过此细胞的器皿需要灭菌后方能丢弃。
5.客户在细胞培养过程中任何问题可联系我们在线客服,我们随时给予解答。
风险提示:丁香通仅作为第三方平台,为商家信息发布提供平台空间。用户咨询产品时请注意保护个人信息及财产安全,合理判断,谨慎选购商品,商家和用户对交易行为负责。对于医疗器械类产品,请先查证核实企业经营资质和医疗器械产品注册证情况。
文献和实验体外培养模型已被广泛应用于血脑屏障的研究、脑血管疾病的病理生理及分子生物学研究、新药筛选、脑微血管内皮细胞生理生化及药理学研究等领域。而大多数体内实验采用大鼠为动物模型,而且大鼠具有较多的细胞生物学研究所需的抗体可用,因此进行大鼠脑微血管内皮细胞的培养具有重要的意义。自从Panula等[2]首次成功培养大鼠脑微血管内皮细胞以来,国内外有关大鼠脑微血管内皮细胞的分离和培养方法已有较多的报道,我们发现国内的方法多以组织匀浆、两次尼龙网过滤分离脑微血管段为主[3,4],也有采用酶消化、梯度离心及尼龙网过滤
本人总结了下大鼠内皮细胞的培养方案 一,消化法。优点:获得的细胞比其他方法纯。缺点:获得细胞比较少。 常见问题及解决方法:1.消化的时间不好控制时,建议大家分两段时间消化,消化30分钟时收取消化液放入一个离心管,30分到45分钟段收集的放入另一离心管,离心后看看第二管是否有杂细胞,若没有就把两管混合用,若有就只用第一管的。2.消化液,我的经验是5份0.2%胶原酶和1份0.125%胰酶。3.若很难消化时,可以磁力搅拌消化。注意消化法时结扎一定要紧! 二,植快法。优点:获得细胞
材料与方法: 材料 : 培养皿、培养瓶、烧瓶、试管,玻璃针等。 眼科剪、眼科镊、手术刀片。 5%CO2孵箱、PH计。 恒温水浴箱。 PMi1640培养基,D-Hank’s缓冲液 、胎牛血清,内皮生长因子(ECGF),青霉素,链霉素,戊巴比妥钠等。 方法: 1、取材:4~6wWistar大鼠, 大剂量2%戊巴比妥钠麻醉处死,将处死后的大鼠浸入75%酒精中,放入超净台。在无菌状态下剪开胸腹腔,分离胸主动脉,用2ml注射器从主动脉弓处向胸主动脉注入D-Hank’s液,驱除残血,取主动脉弓
技术资料暂无技术资料 索取技术资料










