相关产品推荐更多 >
万千商家帮你免费找货
0 人在求购买到急需产品
- 详细信息
- 文献和实验
- 技术资料
- 规格:
100 µg
- 产品名称:抗β微管蛋白重组兔单克隆抗体
- 表达系统:烟草植物表达
- 产品应用:适用检测哺乳动物细胞裂解物中的β微管蛋白
- 货号:CBT_A0002
- 规格:100 µg
产品简介
微管蛋白是微管的主要成分,微管是真核细胞骨架的支架。它在维持细胞结构、细胞内囊泡和细胞器运输以及细胞分裂(有丝分裂和减数分裂)中发挥多种作用。微管是由α和β微管蛋白同型聚合形成的,并添加称为微管相关蛋白(MAPs)的蛋白质。它的分子量为50kDa,由双β-片核组成,包裹在α-螺旋内。微管蛋白是一种高度保守的带负电荷的蛋白质,这使得它成为抗癌药物的热门靶标,旨在破坏微管动力学和细胞分裂。抗-微管蛋白抗体通常用作免疫印迹的加载控制,以验证均一量的蛋白被加载到孔中。
产品优势
由烟草表达的重组单克隆抗体,其优势包括:
产品优势
- 与我们的 PtX™ 蛋白 A-HRP (CBT_P0002) 检测蛋白兼容
- 蛋白质在基因水平上融合,可提高结果的重复性
- 没有动物或动物源性产品污染
- 不含BSA和叠氮化物
数据表:
| 产品名称 | PtX™兔抗β微管蛋白重组抗体 |
| 目录编号 | CBT_A0002 |
| 表达宿主 | 烟草植物 |
| 克隆性 | 单克隆,重组 |
| 物种和同种型 | 兔子 IgG1 |
| 标记 | 没有 |
| 报告蛋白 | 没有 |
| 描述 | 抗β微管蛋白重组兔单克隆抗体。通过烟草植物系统表达。 |
| 靶标名称 | β-微管蛋白 |
| 经过验证的应用 物种反应性 |
蛋白质印迹(1:1 000 – 1:5 000) 人、鼠 |
| 浓度 | 1.0毫克/毫升 |
| 形式 | 液体 |
| 颜色 | 透明至浅黄色 |
| 准备说明 | 即用型 |
| 存储 | 短期(最多一周):2 – 8 °C 长期:分装并储存在 – 20 °C 避免多次冻融。 |
| 存储缓冲液 | 0.1 M PBS,pH 7.4。 防腐剂:无 |
| 纯化 | 本品采用蛋白A亲和色谱纯化。 |
| 纯度 | ≥ 90% 由 SDS-PAGE测定 97.67% 由质谱法测定 |
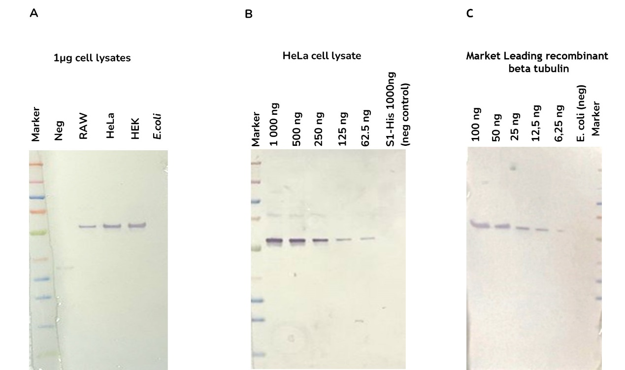
图1. PtX™Rabbit Anti-Beta Tubulin的Western blot结果图。以1:5 000的比例检测细胞裂解物中的Beta Tubulin蛋白(50 kDa)。 A)各种细胞裂解物1µg, B) HeLa细胞裂解物 (1000 ng-62.5 ng) ,C)商业化重组β微管蛋白量(100 ng-6.25 ng)。
风险提示:丁香通仅作为第三方平台,为商家信息发布提供平台空间。用户咨询产品时请注意保护个人信息及财产安全,合理判断,谨慎选购商品,商家和用户对交易行为负责。对于医疗器械类产品,请先查证核实企业经营资质和医疗器械产品注册证情况。
文献和实验Immunofluorescence: Rabbit Anti-Murine RELMα
for 25 minutes. 3. Incubate the tissue section with blocking buffer for 20 minutes. 4. Incubate the tissue section overnight at 4?C with Rabbit Anti-Murine RELMα at 4.0 ng/mL in 1X PBS with 0.01% Triton-X and 0.5% BSA. Wash the slide
Immunofluorescent Localization of Tubulin
LEVEL II Materials Coverslip cultures of an appropriate monolayer cell line Phosphate buffered saline (PBS) Acetone/Methanol (absolute) in a 50:50 volume mixture Rabbit anti-tubulin (or other primary
Immunofluorescent Localization of Tubulin
Rabbit anti-tubulin (or other primary antibody to tubulin) FITC-labeled goat anti-rabbit (or secondary antibody to match the primary) Fluorescence Mounting Media Fluorescent Microscope equipped with 490 nm excitation filter
技术资料暂无技术资料 索取技术资料










