相关产品推荐更多 >
万千商家帮你免费找货
0 人在求购买到急需产品
- 详细信息
- 文献和实验
- 技术资料
- 形态:
Liquit
- 保存条件:
-20℃
- 克隆性:
单克隆
- 适应物种:
Human,(predicted:Mouse,Rat,)
- 保质期:
1年
- 抗原来源:
peptiede
- 目录编号:
TDCMM-0250
- 级别:
科研级
- 库存:
88
- 供应商:
武汉天德
- 宿主:
鼠
- 浓度:
1mg/ml
- 抗体英文名:
Muc-1 Glycoprotein
- 抗体名:
Muc-1 Glycoprotein
- 规格:
1ml工作液

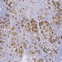
Muc-1 Glycoprotein鼠抗人粘液素糖蛋白1单克隆抗体
粘蛋白是一组高分子量的跨膜糖蛋白,表达于大多数的分泌上皮,包括乳腺上皮和一些造血细胞。其广泛表达于分泌乳汁的乳腺中,在90%以上的乳腺癌中有过表达。粘蛋白-1在许多良性浆液性肿瘤中有表达,而在良性粘液性肿瘤中表达率下降;在恶性肿瘤中,通常在腺癌以及浆液性和粘液性肿瘤的交界处有表达Muc-1和Muc-2同时表达与卵巢粘液性肿瘤的恶性度相关。
- 货号:TDCMM-0250
- 克隆号:MRO-17
- 阳性部位:胞膜,胞质
- 适用组织:石蜡切片 /冰冻切片
- 预处理:热修复
风险提示:丁香通仅作为第三方平台,为商家信息发布提供平台空间。用户咨询产品时请注意保护个人信息及财产安全,合理判断,谨慎选购商品,商家和用户对交易行为负责。对于医疗器械类产品,请先查证核实企业经营资质和医疗器械产品注册证情况。
文献和实验该产品被引用文献
抗体使用小技巧_技术资料_丁香通 (biomart.cn)
技术资料暂无技术资料 索取技术资料
文献支持
鼠抗人粘液素糖蛋白1单克隆抗体 TDCMM-0250
询价









