相关产品推荐更多 >
万千商家帮你免费找货
0 人在求购买到急需产品
- 详细信息
- 文献和实验
- 技术资料
- 形态:
Liquit
- 保存条件:
-20℃
- 克隆性:
单克隆
- 适应物种:
Human,(predicted:Mouse,Rat,)
- 保质期:
1年
- 抗原来源:
peptiede
- 目录编号:
TDCRR-0040
- 级别:
科研级
- 库存:
88
- 供应商:
武汉天德
- 宿主:
兔
- 浓度:
1mg/ml
- 抗体英文名:
ROS1
- 抗体名:
ROS1
- 规格:
1ml工作液

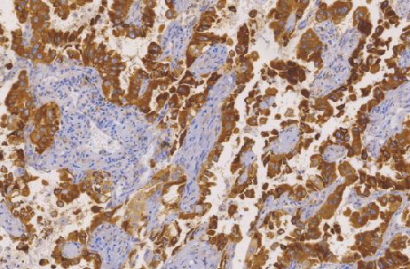
ROS1兔抗人ROS1单克隆抗体
人类ROS1基因定位于6q21染色体,属于酪氨酸激酶胰岛素受体基因,由胞内酪氨酸激酶活性区、跨膜区及胞外区3 部分组成,编码具有酪氯酸激酶活性的嵌合蛋白。ROS1基因发生重排时丢失细胞外区域,保留跨膜区和胞内酪氨酸激酶区域重排位点主要发生在ROS1基因的32~36外显子。在NSCLC中 ROS1基因主要与SLC34A2、CD74发生融合,并持续激活ROS1酪氨酸激酶区及下游JAK/STAT、P13K/AKT、RAS/MAPK等信号通路,进而引起肿瘤的发生。
- 货号:TDCRR-0040
- 克隆号:EP282
- 阳性部位:胞膜
- 适用组织:石蜡切片
- 预处理:热修复
风险提示:丁香通仅作为第三方平台,为商家信息发布提供平台空间。用户咨询产品时请注意保护个人信息及财产安全,合理判断,谨慎选购商品,商家和用户对交易行为负责。对于医疗器械类产品,请先查证核实企业经营资质和医疗器械产品注册证情况。
文献和实验抗体使用小技巧_技术资料_丁香通 (biomart.cn)
您好,这是我们的解决方案和与FISH的比较,您可以参考看看 CST公司开发了全新的高特异、高灵敏的针对ALK、ROS1融合蛋白的XP® 兔单克隆抗体和兔单克隆抗体【4,5】(见表1)。正是基于这种适于IHC检测的ALK融合蛋白抗体(克隆号D5F3,货号#3633),结合IHC技术比FISH更加简单实用和成熟普及,罗氏集团成员Ventana公司已于2012年初,与CST达成合作协议,共同开发了用于临床诊断ALK融合蛋白的IHC诊断试剂盒,为非小细胞
tissue,human testis tissue,human brain tissue IF:Hela,HepG2 另外有 HRP、FITC、Bintin 标记的多抗对应货号分别为: CSB-PA07179B0Rb、CSB-PA07179C0Rb、CSB-PA07179D0Rb 兔抗人淀粉样肽 beta A4 蛋白单克隆抗体 货号:CSB-MA0019501A0m 识别
一、实验原理 将抗C5a单克隆抗体包被固相聚苯乙烯板,加入经聚乙二醇(PEG)处理的待测样本,然后依次加入兔抗人C5a-IgC多克隆抗体和过氧化物酶标记的猪抗兔IsC,再加入底物2,2’-连氮-双(3-乙基苯骈唑啉-6-磺酸盐)(ABTS)和H2O2显色,于酶标仪405 mn处测定每分钟光密度增加量(OD/min),以OD/min为纵坐标,C5a标准晶浓度为横坐标绘制标准曲线图,求出待测样本中C5a的含量。 二、实验试剂 1. PBSPH7.2
技术资料暂无技术资料 索取技术资料










